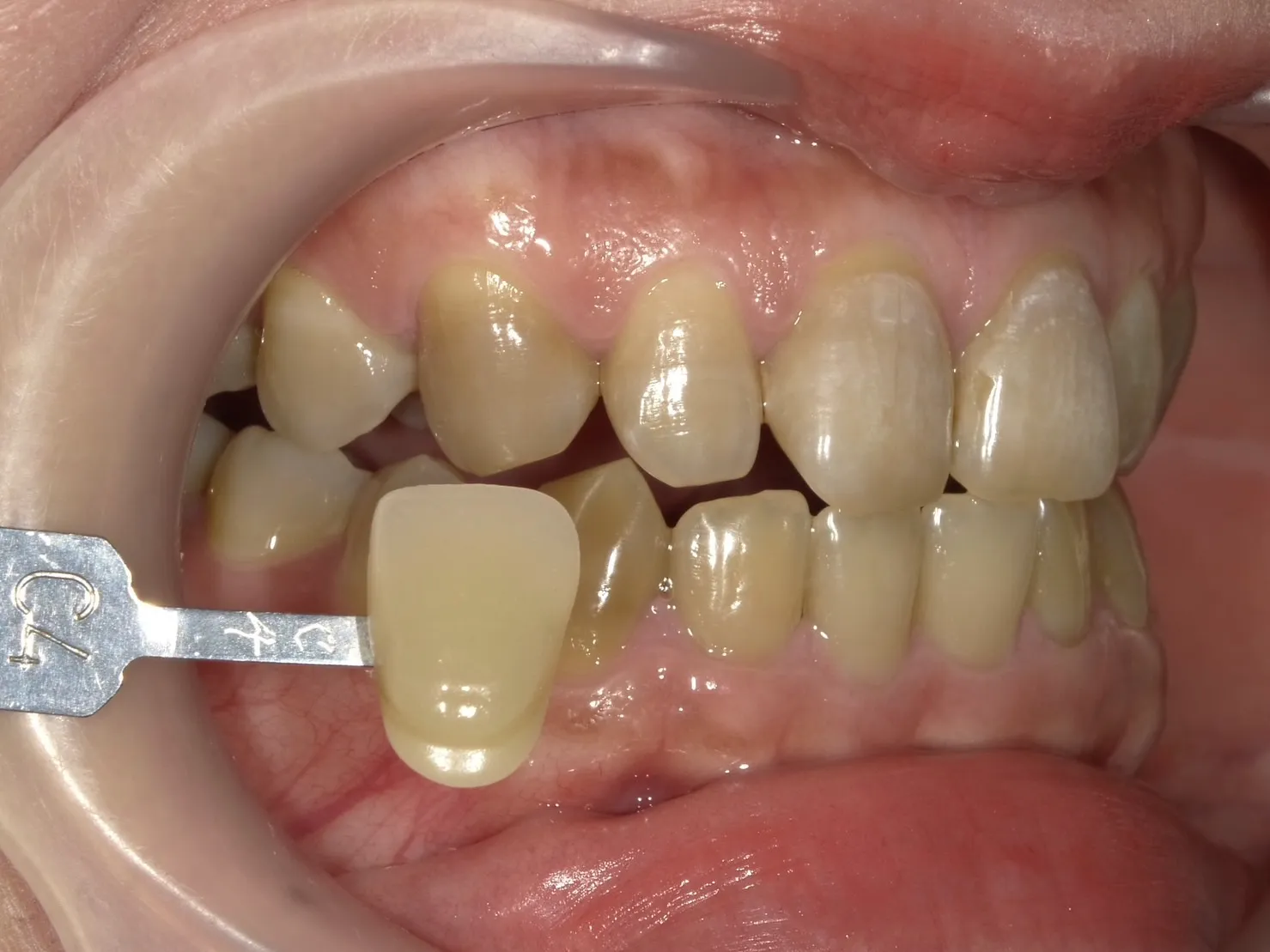
50代女性 テトラサイクリン歯 他の歯科医院で断られた症例

主訴 50代女性 テトラサイクリン歯 昔から周りの人より歯の色が濃くてコンプレックスだった。 以前、別の歯科医 […]                                                    

                                                  

20代女性 葉タバコを喫煙中でホームホワイトニングと歯茎ピーリングをした症例

主訴 主訴 20代女性 喫煙は葉タバコを長年吸っている。 ホワイトニング施術内容 歯茎ピーリング(一回)・・・ […]                                                    

                                                  

30代男性 歯ぐきの黒ずみでホワイトニングと歯ぐきピーリングを希望した症例

主訴 30代男性 タバコは吸っていないが、歯ぐきの黒ずみが気になる。 ホワイトニングと歯ぐきピーリングを希望し […]                                                    

                                                  

20代女性 テトラサイクリン歯のホワイトニング症例 歯の色がコンプレックスで人前で笑えない

主訴 20代女性 テトラサイクリン歯 子供の頃から歯の色がコンプレックスで人前で笑えない。 母親に連れられて歯 […]                                                    

                                                  

20代女性 喫煙歴ありでホームホワイトニングと歯ぐきピーリングをした症例

主訴 20代女性 2〜3年前まで喫煙していた。 妹さんに刺激を受けて始めようと思った! まずホワイトニングをし […]