ホワイトニングサロンReflet福岡天神店の症例です。
主訴
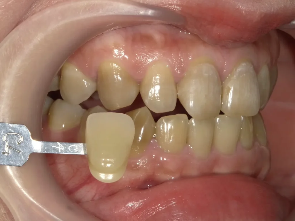
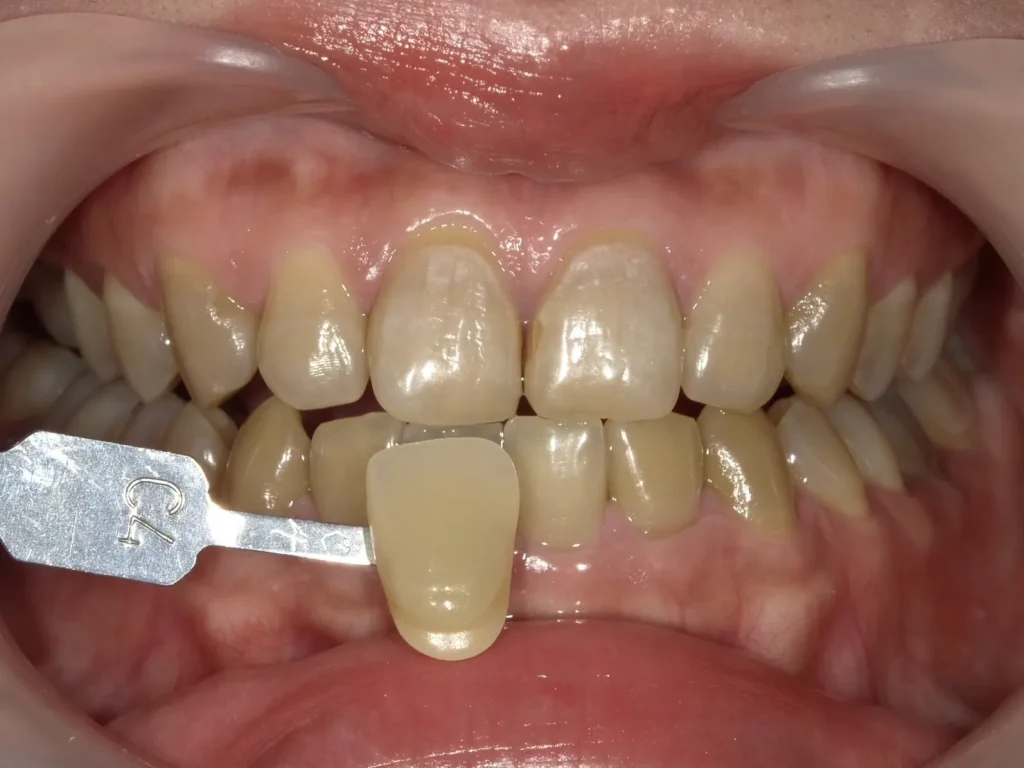
20代女性 テトラサイクリン歯
子供の頃から歯の色がコンプレックスで人前で笑えない。
母親に連れられて歯の色の相談で歯科に行ったけどその時はお断りされたとのこと。
ホワイトニング施術内容
初回プレミアムホワイトニング 7400円
デュアルホワイトニング(プレミアムコース)
110,000円
(プレミアムホワイトニング5回・ホームホワイトニング上下セット・ホームジェル12本・トリートメントペースト1本)
ホワイトニング期間
約2ヶ月
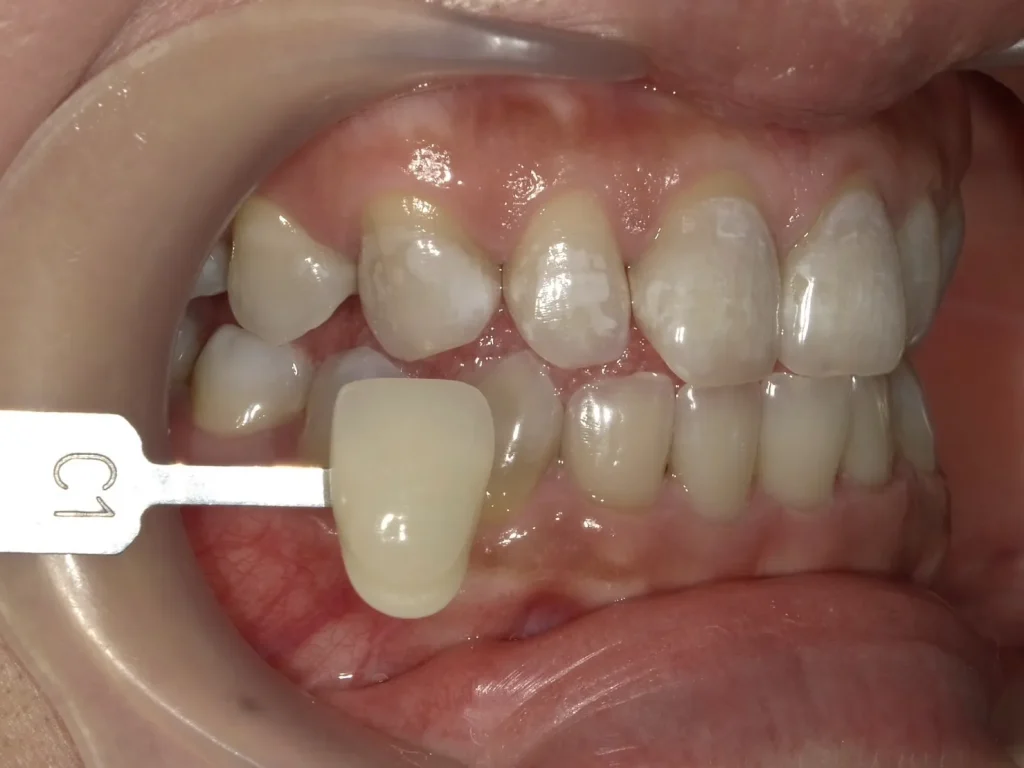
術前術後写真
歯科衛生士からのコメント
幼少期は体調が悪く入退院を繰り返していたのでその時に使用したテトラサイクリン系抗生物質の薬剤が原因かと思われる。
2回目のオフィスホワイトニングの時に、少しだけしみる感じがあった。
ホームホワイトニング は濃度を上げた(22%)にした直後に少ししみる感じがあったが、どちらも気になるほどではないとのことでそのまま続けていただきました。
afterの写真を見てかなり喜んでいただきました。
福岡天神でホワイトニング・クリーニングなら歯科医院のRefletへ
ホワイトニングサロンReflet歯科天神店【医療ホワイトニング&咬筋ボツリヌス】
〒810-0001 福岡市中央区天神2丁目2-12
T&Jビルディング9F
西鉄福岡(天神)駅より徒歩1分
地下鉄七隈線 天神南駅より徒歩3分
地下鉄空港線 天神駅より徒歩5分












