歯ぐきピーリングとは

福岡天神のホワイトニングサロンReflet歯科天神店では、
歯ぐきの黒ずみを除去する歯ぐきピーリングを行っています。

専門家が丁寧に施術を行うため、痛みを感じることなく安心して受けられます。

明るく健康的な歯ぐきで、自信を持った笑顔を手に入れましょう。

歯ぐきピーリングの特徴

歯ぐきの黒ずみを除去

歯ぐきの黒ずみを除去

歯ぐきピーリングは、加齢や喫煙、歯ブラシの摩擦などによって黒ずんだ歯ぐきにメラニン色素が沈着するのを除去し、赤ちゃんのようなピンク色の歯ぐきに生まれ変わらせる施術です。
黒ずみが薄い場合は1回の施術できれいになりますが、深い黒ずみの場合は数回の施術が必要です

痛みの少ない簡単な施術

痛みの少ない簡単な施術

歯ぐきに特殊なお薬を塗るだけの簡単な施術で、少しピリピリする感覚があるものの、麻酔は不要です。

施術後、数日から1週間くらいで古い歯ぐきがはがれ、新しい歯ぐきの粘膜に生まれ変わります。

歯ぐきピーリングの料金

歯ぐきピーリング

1回目 税込12,000円
2回目以降 税込8,000円

– 歯ぐきピーリングの流れ –

施術前のカウンセリング

01

施術前のカウンセリング

まずは、専門のスタッフが丁寧にカウンセリングを行います。

お客様の歯ぐきの状態を確認し、施術の内容や期待できる効果、必要な回数などを詳しく説明します。

専用の薬剤を歯ぐきに塗布

02

専用の薬剤を歯ぐきに塗布

カウンセリング後、施術に移ります。専用の薬剤を歯ぐきに塗布して終了です。15分〜30分程度で終わります。

施術後、数日から1週間くらいで古い歯ぐきがはがれ、新しい歯ぐきの粘膜に生まれ変わります。

check

歯ぐきピーリングができない方

妊娠授乳中・重度歯周病・薬剤アレルギーの方は歯ぐきピーリングができません。

また、歯科金属の沈着は歯ぐきピーリングでは除去できないのでご注意ください。

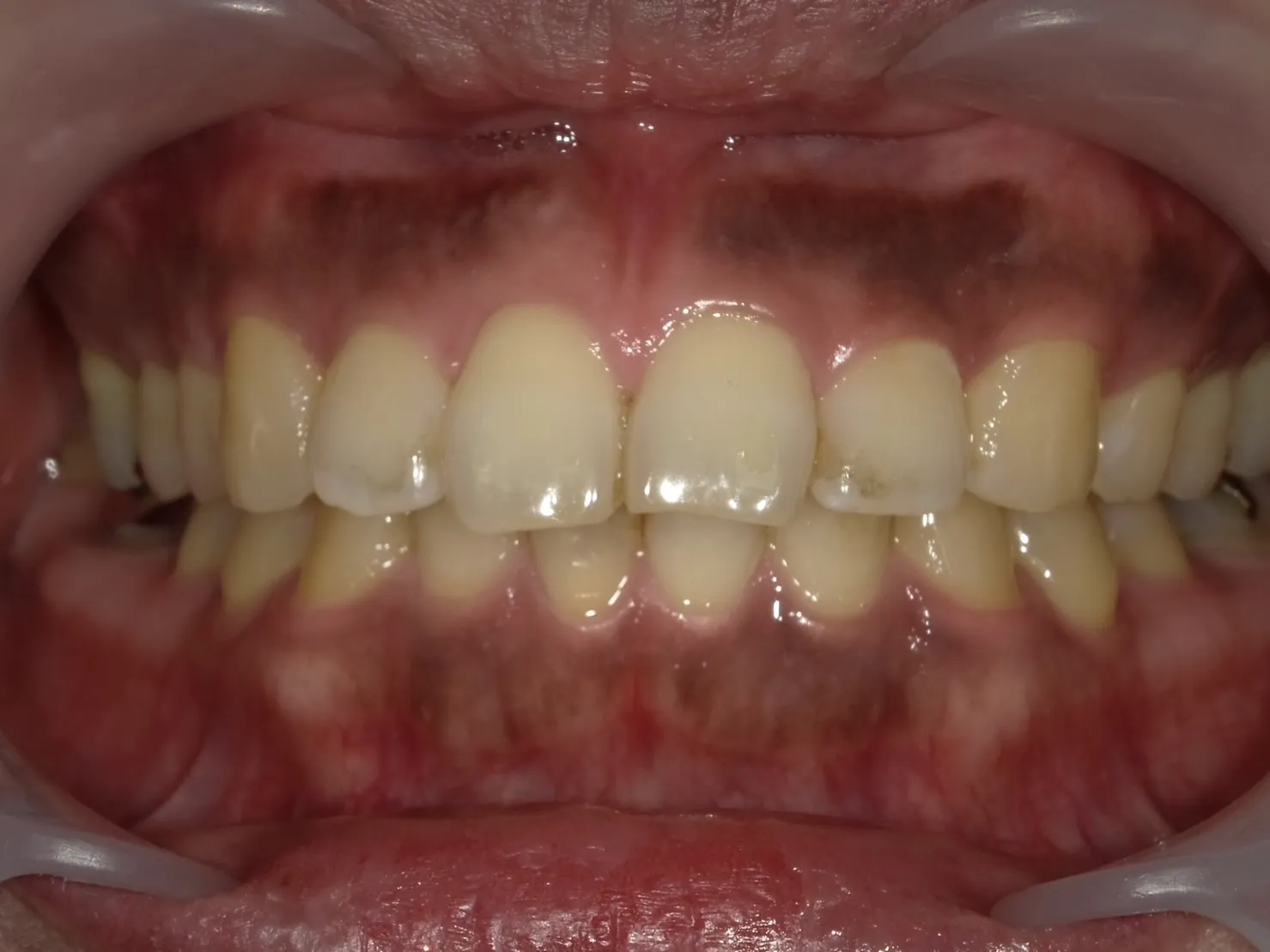
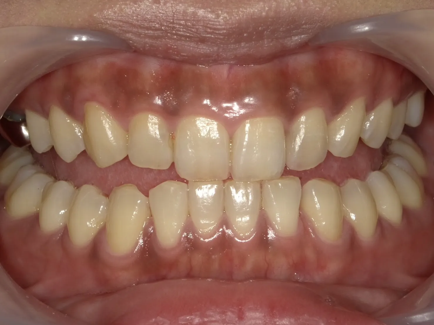
歯ぐきピーリング症例

全てRefletで施術した症例です。一切加工しておりません。
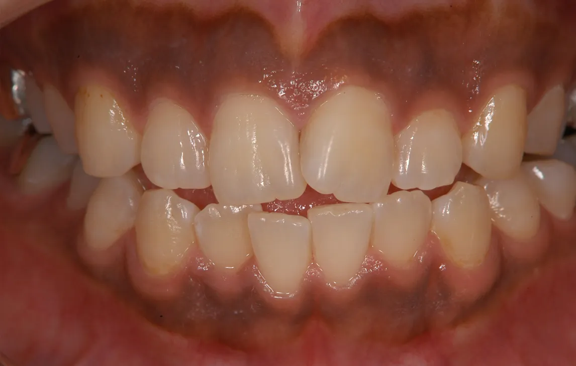
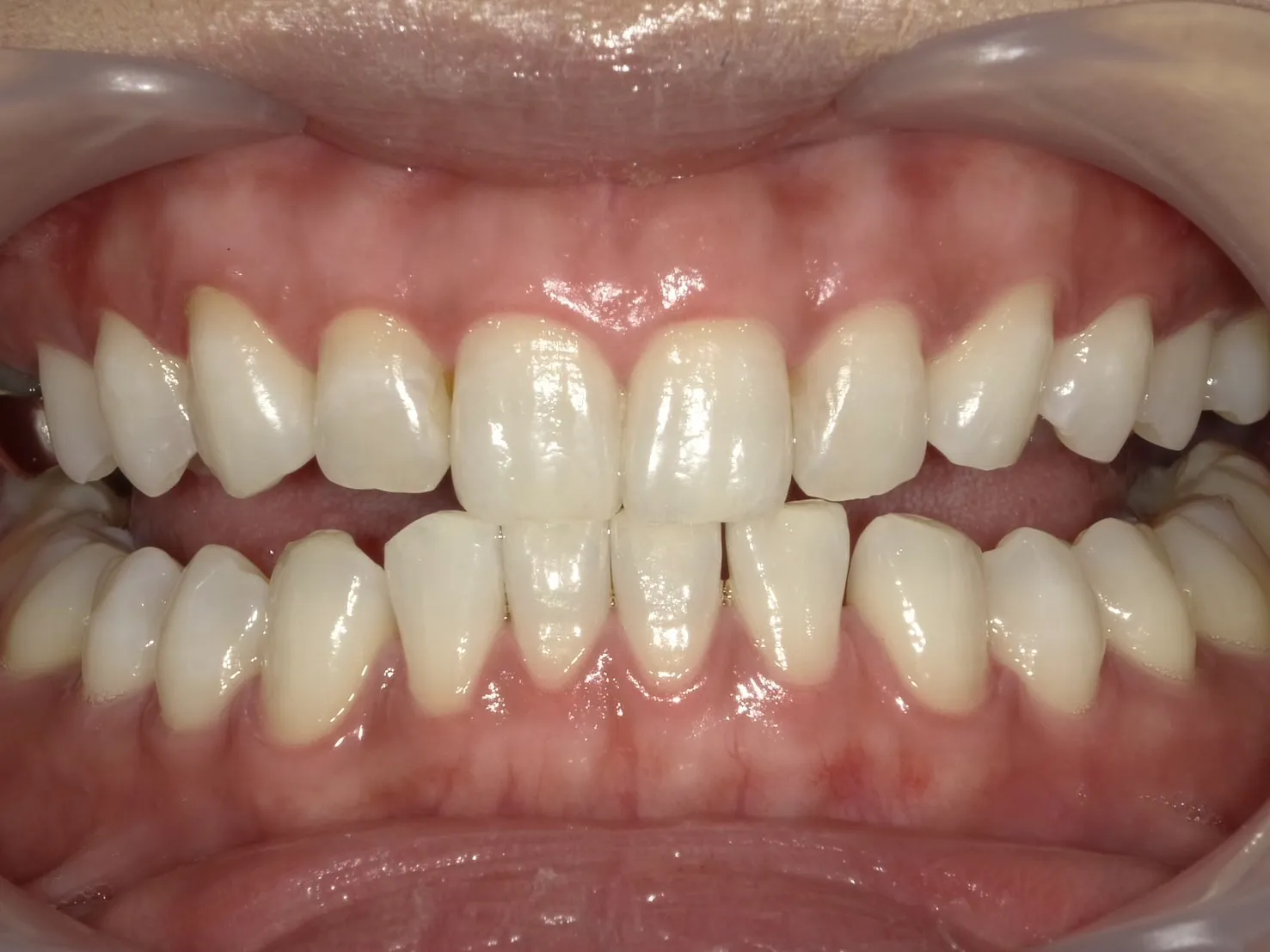
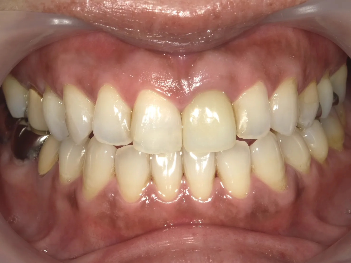
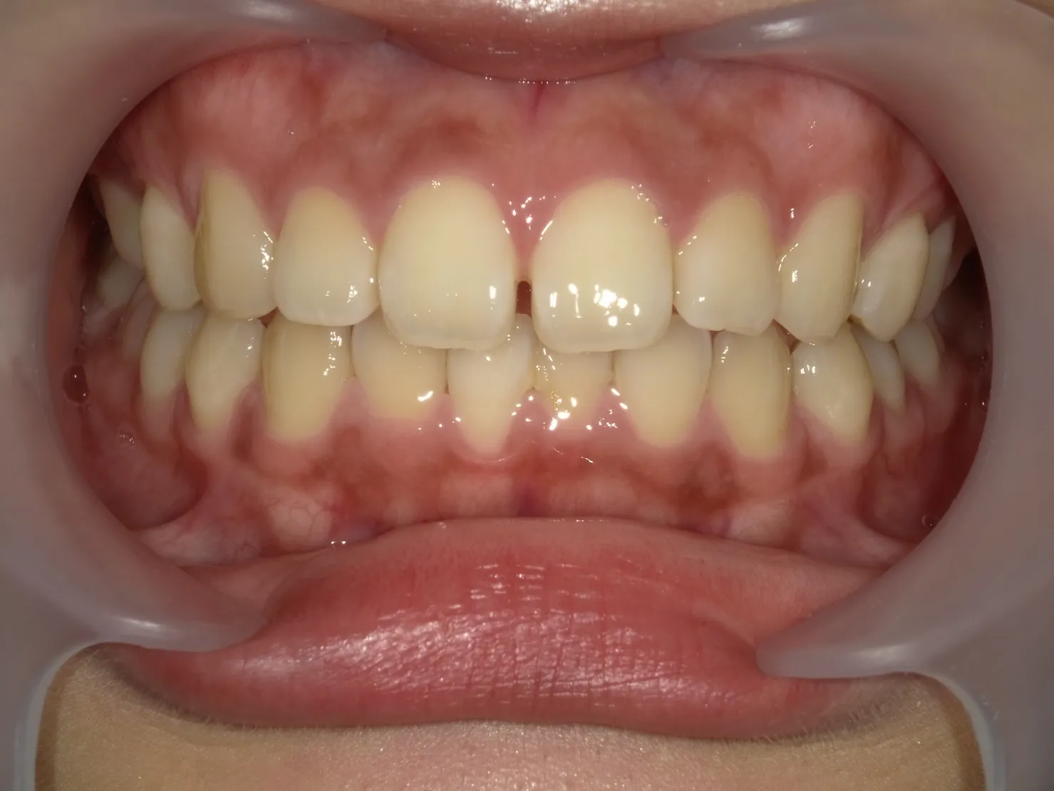
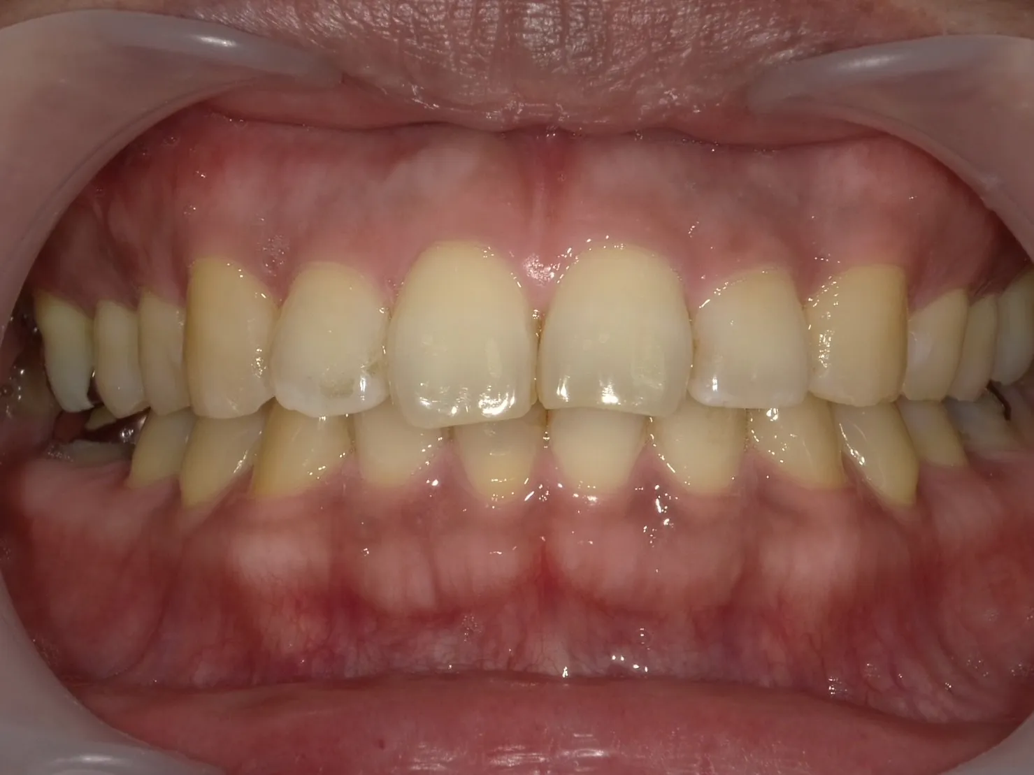
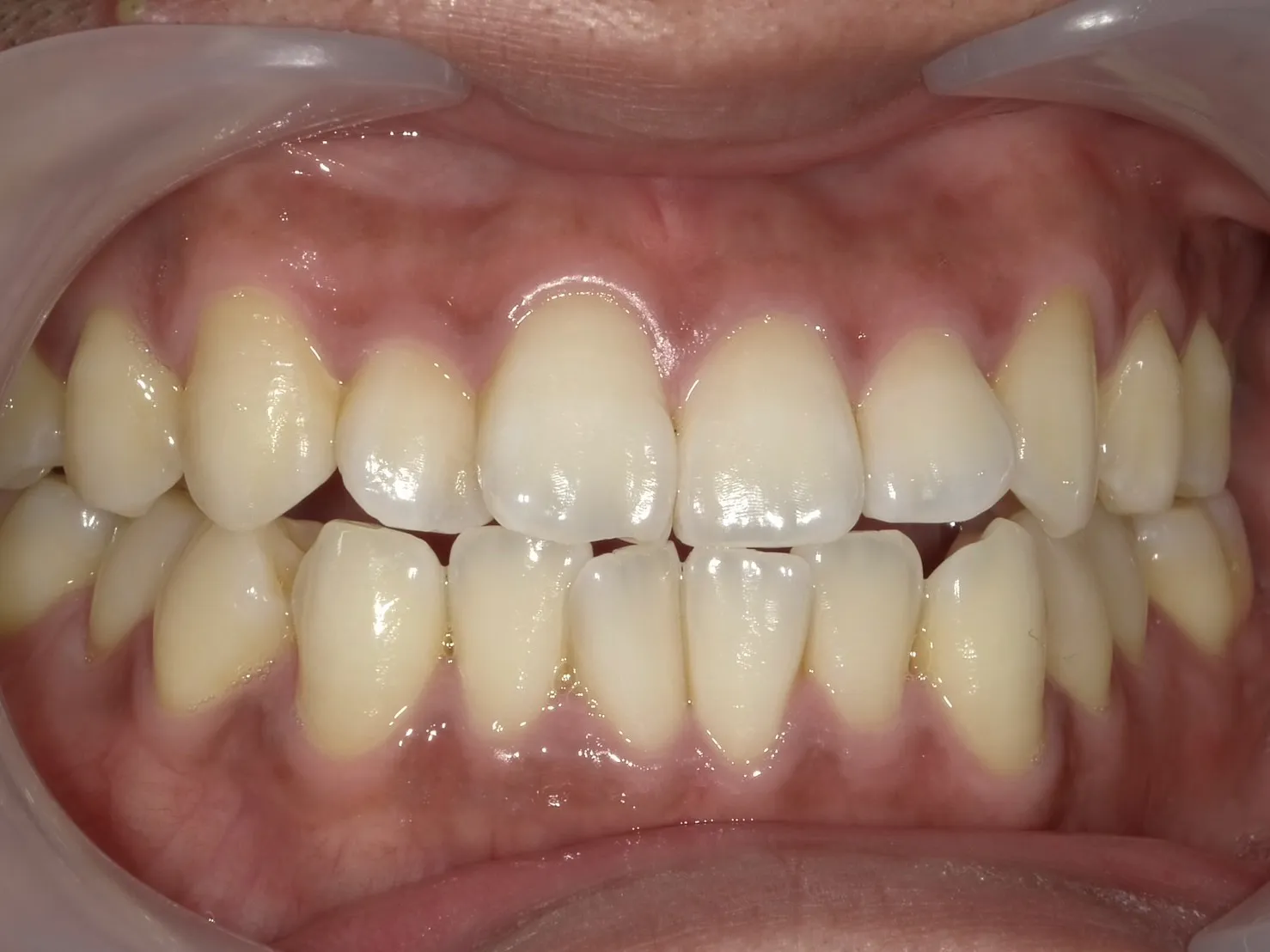
BEFORE AFTER
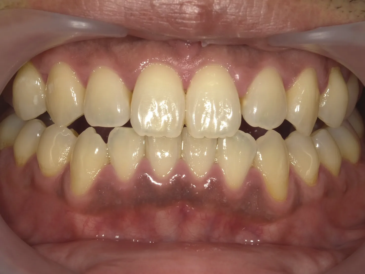
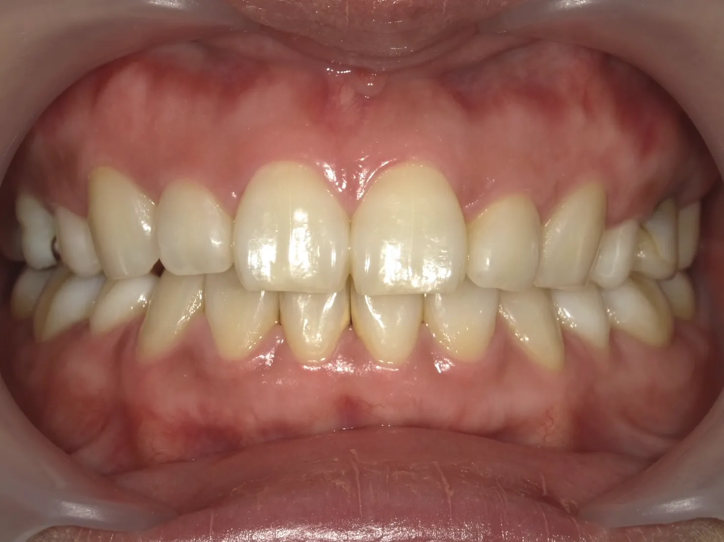
40代女性 喫煙歴
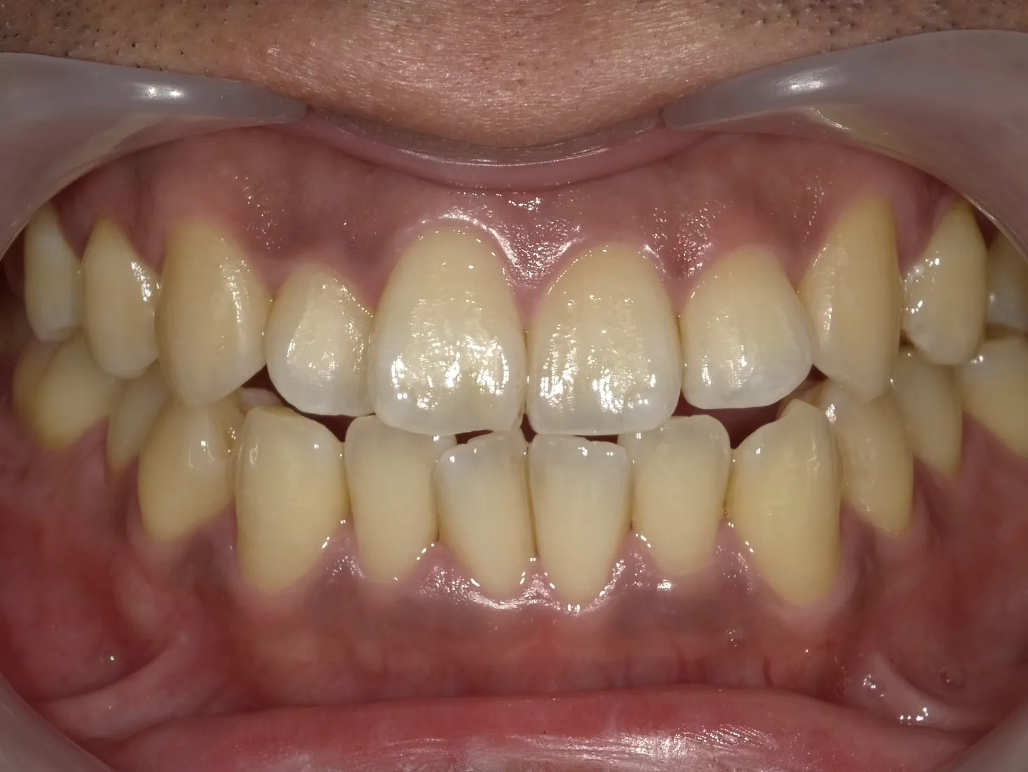
BEFORE
30代女性ホワイトニングビフォー
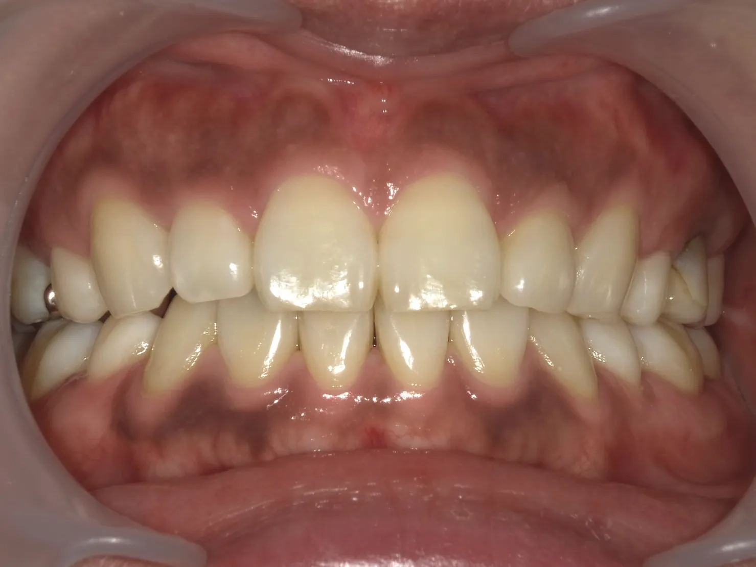
AFTER
30代女性ホワイトニングアフター
40代女性
喫煙歴あり
施術1回
1ヶ月後

– よくあるご質問 –

歯ぐきピーリングは非常に痛みが少ない施術です。使用する薬剤は歯ぐきに優しく作用し、多くの方が痛みをほとんど感じることなく施術を受けられています。
一回の施術時間は通常、30分程度です。ただし、歯ぐきの状態や施術範囲によって前後することがあります。
歯ぐきピーリングの効果は施術直後から徐々に現れ始め、数日から1週間程度で明らかな変化を感じることが多いです。最終的な結果を見るには少し時間が必要です。
施術後は特に注意が必要なアフターケアをお勧めしています。直後は歯ぐきが敏感になっていることがあるため、刺激の強い食べ物や飲み物を避け、指示されたケアを実施してください。

Slide
標準的な治療内容

専門の薬剤を歯ぐきに塗布します。施術後、数日から1週間くらいで古い歯ぐきがはがれ、新しい歯ぐきの粘膜に生まれ変わります。歯ぐきは自然なピンク色に回復し、見た目が明るく健康的に改善されます。

標準的な費用

歯ぐきピーリングは自費診療です。
1回目 税込12,000円
2回目以降 税込8,000円

起こり得る副作用(リスク)

施術後には、一時的に歯ぐきが敏感になることがあります。また、稀に薬剤による軽度の刺激感や腫れが生じる場合がありますが、これらの症状は通常、数日以内に自然と改善します。適切なアフターケアを行うことで、これらのリスクを最小限に抑えることが可能です。

Slide 1
医療ホワイトニング
専門クリニック
福岡天神 ホワイトニングサロンReflet歯科天神店では無料カウンセリングを行なっております。
お気軽にご相談ください。
ホワイトニング
リピーター率
0%以上
オフィス
ホワイトニング初回
0円
Reflet松山店
年間施術数
0人