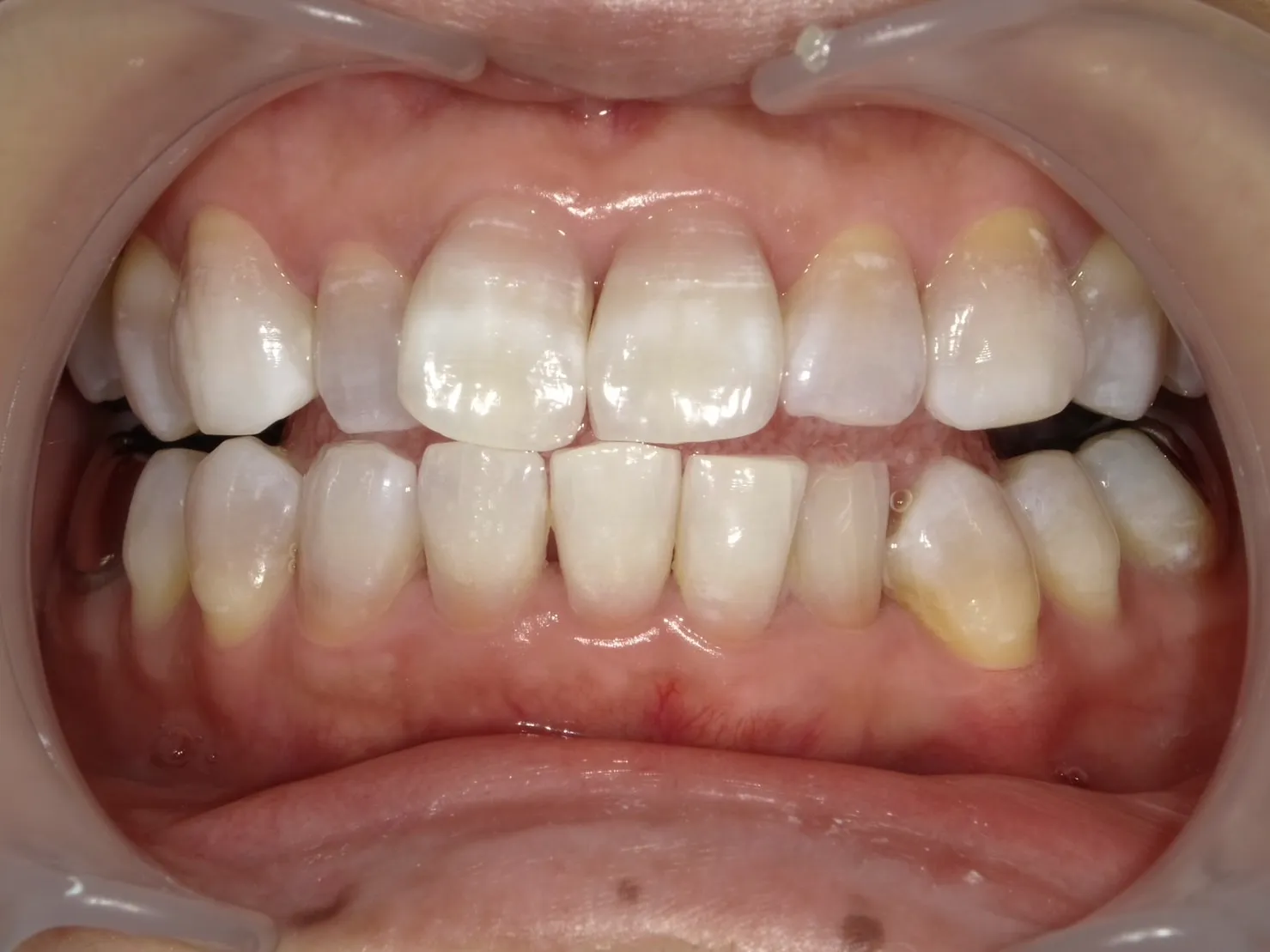
20代男性 歯の色がコンプレックスでデュアルホワイトニングをした症例(テトラサイクリン歯)

主訴 20代男性 昔から歯の色がコンプレックスで周りから指摘されるし人前で歯を見せて笑えない。思いっきり笑える […]                                                    

                                                  

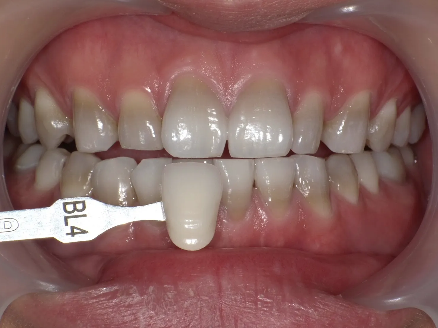
50代女性 毎日ホームホワイトニングで真っ白になった症例(テトラサイクリン歯)

主訴 50代女性 テトラサイクリン歯 昔から周りの人より歯の色が暗くてコンプレックスでだった。 できる限り限界 […]                                                    

                                                  

50代男性 2ヶ月半のデュアルホワイトニングで白くした症例(テトラサイクリン歯)

主訴 50代男性 せめて人並みの歯の色にしたい。 もし白くできるなら、もう少し上を目ざしたい気持ちもあるのでが […]                                                    

                                                  

50代女性 ラミネートベニアの前にホワイトニングで白くしたい(テトラサイクリン歯)

主訴 50代女性 テトラサイクリン歯 人前に出る仕事なので歯を綺麗にしたい! ラミネートベニアを検討しているが […]                                                    

                                                  

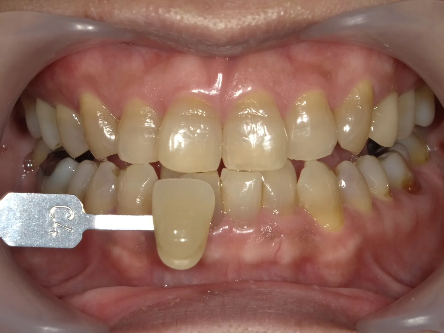
50代女性 テトラサイクリン歯 他の歯科医院で断られた症例

主訴 50代女性 テトラサイクリン歯 昔から周りの人より歯の色が濃くてコンプレックスだった。 以前、別の歯科医 […]