ホワイトニングサロンReflet福岡天神店の症例です。
主訴
30代男性
タバコは吸っていないが、歯ぐきの黒ずみが気になる。
ホワイトニングと歯ぐきピーリングを希望して
施術内容
ホワイトニングはスタンダードコース・・・69000円
ホワイトニング終了後に
歯ぐきピーリング(一回)・・・¥12,000
期間
歯ぐきピーリング後は2週間後に見比べています
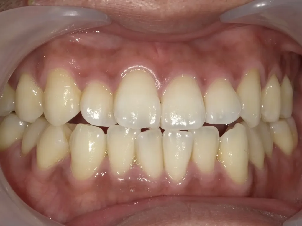
術前術後写真
歯科衛生士からのコメント
ホワイトニングをした後にピーリングをして、口元の清潔感がさらにUPしました
福岡天神でホワイトニング・クリーニングなら歯科医院のRefletへ
ホワイトニングサロンReflet歯科天神店【医療ホワイトニング&咬筋ボツリヌス】
〒810-0001 福岡市中央区天神2丁目2-12
T&Jビルディング9F
西鉄福岡(天神)駅より徒歩1分
地下鉄七隈線 天神南駅より徒歩3分
地下鉄空港線 天神駅より徒歩5分












