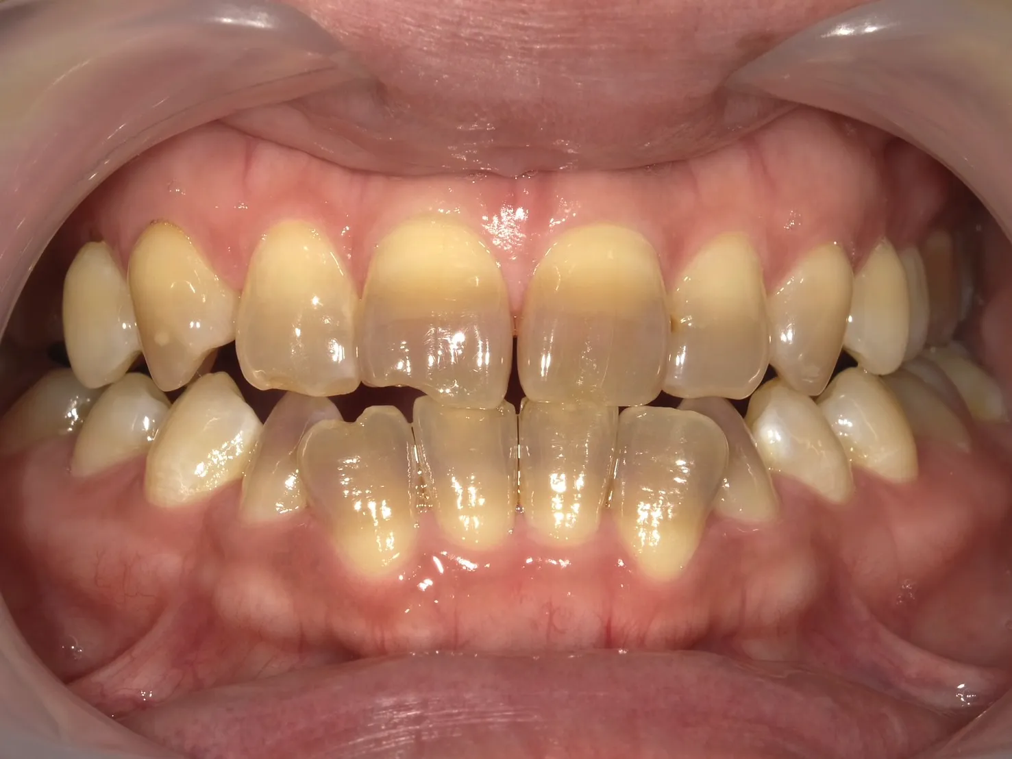
50代女性 テトラサイクリン歯で紫外線で変色が強くなり来院した症例

テトラサイクリン歯の症例 主訴 テトラサイクリン歯で昔から周りの人より歯の色が暗いのが悩みでした。 野外でのス […]