ホワイトニングサロンReflet福岡天神店の症例です。
主訴
30代女性
最初は歯のクリーニングで来院されました。身内の方から歯の黄ばみを指摘されたことがあり、以前からホワイトニングも気になってたとのことでホワイトニングを始めました。
ホワイトニング施術内容
初回プレミアムホワイトニング 7400円
デュアルホワイトニング(スタンダードコース)
69,000円
(プレミアムホワイトニング5回・ホームホワイトニング上下セット・ホームジェル6本・トリートメントペースト1本)
ホワイトニング期間
約1ヶ月半
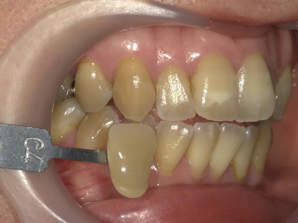
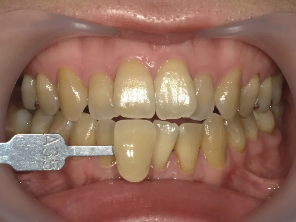
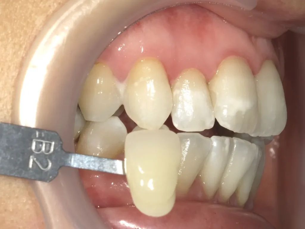
術前術後写真
歯科衛生士からのコメント
奥歯に治療途中の歯がありましたが、並行して進めました。後々奥歯は被せ物になるのですが、その時の色の選択も白くなってから選べるので大変喜ばれました。(ホワイトニングは上下左右5番まで)
ホームホワイトニングを始める時は、通常、最初16%のジェルを短時間から使っていただくのですが、最初に22%で長く置きすぎて歯茎に少し炎症が出たことがありましたが、その後は規定どおり進めていただきました。
左上1番のホワイトスポットも周りの色と同化してわかりにくくなりました。
福岡天神でホワイトニング・クリーニングなら歯科医院のRefletへ
ホワイトニングサロンReflet歯科天神店【医療ホワイトニング&咬筋ボツリヌス】
〒810-0001 福岡市中央区天神2丁目2-12
T&Jビルディング9F
西鉄福岡(天神)駅より徒歩1分
地下鉄七隈線 天神南駅より徒歩3分
地下鉄空港線 天神駅より徒歩5分












