ホワイトニングサロンReflet福岡天神店の症例です。
主訴
20代女性
お試しで1回オフィスホワイトニングをやってみて、そのあとは矯正後に使用しているリテーナーでホームホワイトニングをしたい。
そんなに白くするのはイヤなので調整しながら自分のペースで進めたい。
ホワイトニング施術内容
初回プレミアムホワイトニング・・・7400円
○ホームホワイトニング上下セット・・・18000円
○ホームジェル8本(16%3本、22%5本)・・・26400円
○トリートメントペースト・・・2200円
ホワイトニング期間
約4ヶ月
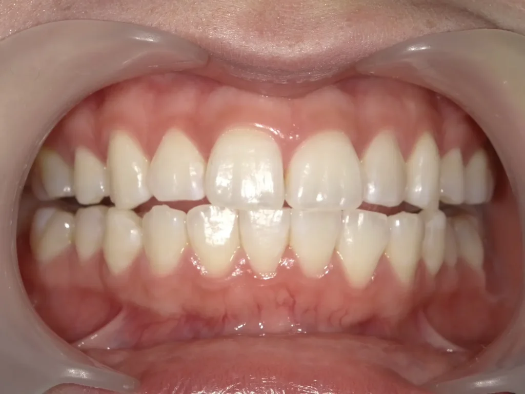
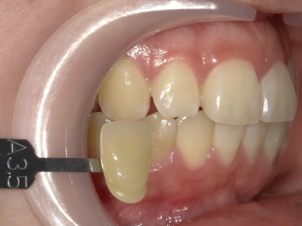
術前術後写真
歯科衛生士からのコメント
リテーナーな形態上、根元まで白くなりにくいのでホワイトニング用のマウスピースのお作り替えをしていただきました。
最初1ヶ月半くらいはペースを上げてホームホワイトニングしていましたが、その後はペースを落として時々できました。
途中で友達から白いと言われるようになるくらいの白さにはなりましたが、もう少し犬歯の黄ばみを取りたいとのことで暫く続けました。
福岡天神でホワイトニング・クリーニングなら歯科医院のRefletへ
ホワイトニングサロンReflet歯科天神店【医療ホワイトニング&咬筋ボツリヌス】
〒810-0001 福岡市中央区天神2丁目2-12
T&Jビルディング9F
西鉄福岡(天神)駅より徒歩1分
地下鉄七隈線 天神南駅より徒歩3分
地下鉄空港線 天神駅より徒歩5分












