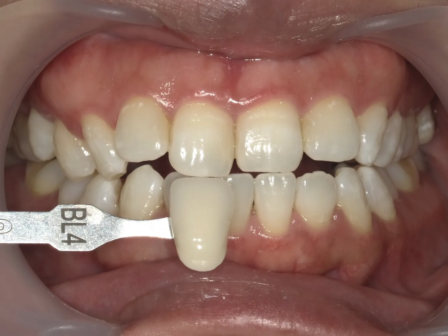
20代女性 矯正後にリテーナーでホワイトニングしたいという希望の症例

主訴 20代女性 お試しで1回オフィスホワイトニングをやってみて、そのあとは矯正後に使用しているリテーナーでホ […]                                                    

                                                  

30代女性 美容に興味があり矯正後にホワイトニングした症例

主訴 30代女性 もともといろんな美容に興味がある方。矯正もしたし、ホワイトニングも以前から興味があった! ホ […]                                                    

                                                  

50代女性 毎日ホームホワイトニングで真っ白になった症例(テトラサイクリン歯)

主訴 50代女性 テトラサイクリン歯 昔から周りの人より歯の色が暗くてコンプレックスでだった。 できる限り限界 […]