50代女性 マスクを外すまでに歯を白くしたいと来院した症例

                                       
ホワイトニングサロンReflet福岡天神店の症例です。

主訴

50代女性

コロナ中、マスク生活になれてしまってたけど最近、他人の歯がすごく気になる!
自分も見られるのが恥ずかしいのでマスクを外すまでに白くしたい。
自然な白さが希望。

ホワイトニング施術内容

初回プレミアムホワイトニング 7400円
デュアルホワイトニング(スタンダードコース)
69000円
(プレミアムホワイトニング3回・ホームホワイトニング上下セット・ホームジェル6本・トリートメントペースト1本)

ホワイトニング期間

約1ヶ月半

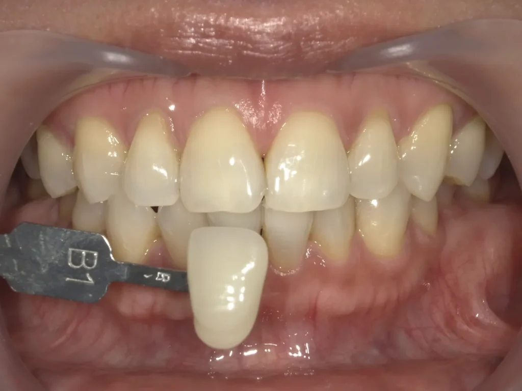
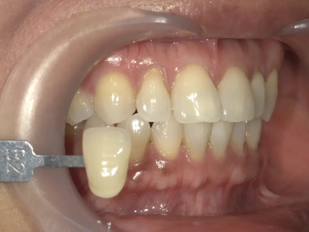
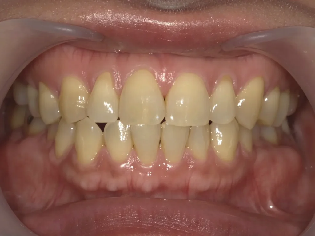
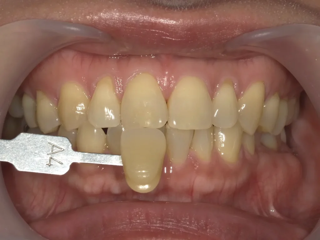
術前術後写真

歯科衛生士からのコメント

もともとかなり黄ばみが強いのので、このコースの内容で満足いく白さに到達しなければ追加でオフィスホワイトニングんする予定でしたが、満足いく白さになりました。
コース中はほぼ毎日1時間程度のホームホワイトニングができました。

福岡天神でホワイトニング・クリーニングなら歯科医院のRefletへ

ホワイトニングサロンReflet歯科天神店
【医療ホワイトニング&咬筋ボツリヌス】
〒810-0001 福岡市中央区天神2丁目2-12
T&Jビルディング9F
西鉄福岡(天神)駅より徒歩1分
地下鉄七隈線 天神南駅より徒歩3分
地下鉄空港線 天神駅より徒歩5分