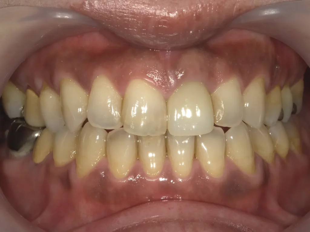
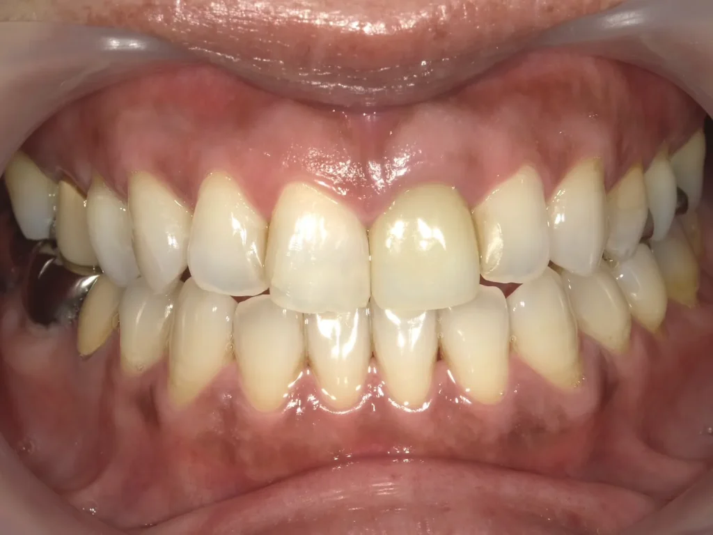
ホワイトニングサロンReflet福岡天神店の症例です。
主訴
主訴
20代女性
喫煙は葉タバコを長年吸っている。
ホワイトニング施術内容
歯茎ピーリング(一回)・・・¥12,000
ホワイトニング期間
ホームホワイトニング 約2ヶ月(ジェル4本使用)
歯茎ピーリング後は2週間後に見比べています
術前術後写真
歯科衛生士からのコメント
以前は着色が付きやすかったが、ホームホワイトニングをしてから着色がつきにくくなったとのこと。
口元の印象がずいぶん変わりました。
福岡天神でホワイトニング・クリーニングなら歯科医院のRefletへ
ホワイトニングサロンReflet歯科天神店【医療ホワイトニング&咬筋ボツリヌス】
〒810-0001 福岡市中央区天神2丁目2-12
T&Jビルディング9F
西鉄福岡(天神)駅より徒歩1分
地下鉄七隈線 天神南駅より徒歩3分
地下鉄空港線 天神駅より徒歩5分












