クリーニング症例写真(ビフォーアフター)

クリーニング症例 40代男性喫煙者 40代男性 長年タバコを吸っています。 歯科でクリーニングが初めての方です […]                                                    

                                                  

40代男性 ホームとオフィスを続けて1ヶ月半で歯を白くした症例

主訴 40代男性 まずは1回のホワイトニング効果を試したいとのことで来院 最初のホワイトニングの効果を見て、更 […]                                                    

                                                  

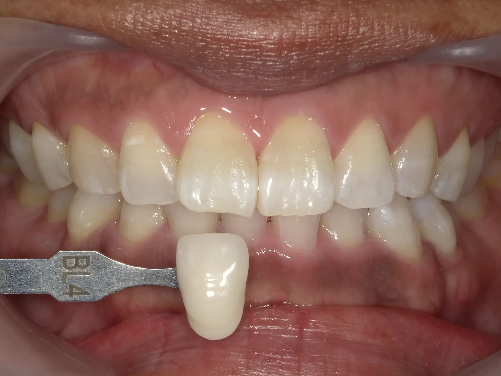
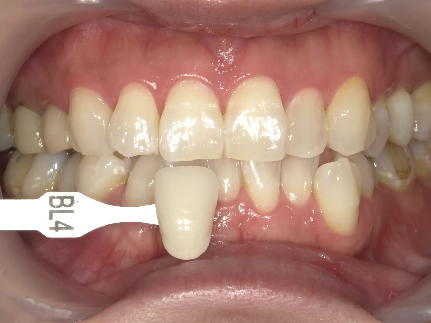
40代男性 清潔感のある白さにしたい、歯石取り希望のホワイトニング症例

主訴 40代男性 暫く歯科受診もしておらず、歯石も取ってほしい 清潔感のある白さにしたい。できればブリーチシェ […]                                                    

                                                  

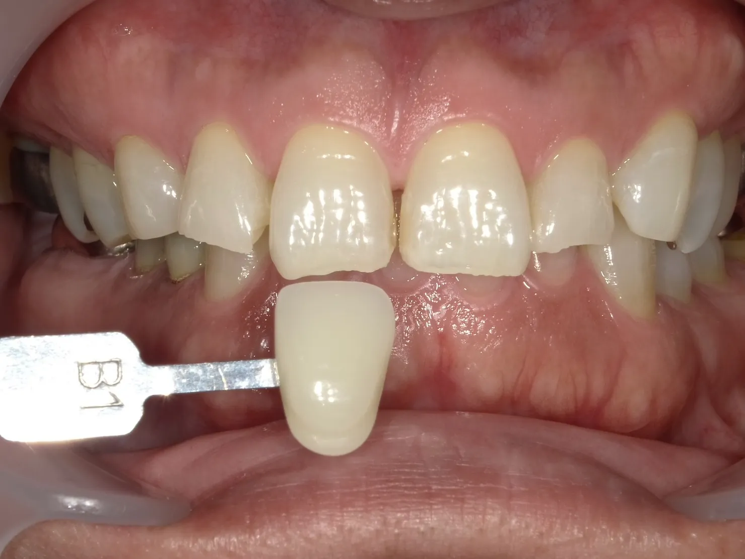
40代女性 美意識が高くブリーチシェードを目指しオフィスホワイトニングをした症例

主訴 40代女性 もともと美意識が非常に高い方で、ブリーチシェード色をご希望。 右上4.5番の補綴は2ヶ月ほど […]