20代女性 喫煙歴ありでホームホワイトニングと歯ぐきピーリングをした症例

                                       
ホワイトニングサロンReflet福岡天神店の症例です。

主訴

20代女性

2〜3年前まで喫煙していた。
妹さんに刺激を受けて始めようと思った!
まずホワイトニングをしてから歯ぐきのピーリングもしたい。

ホワイトニング施術内容

ホームホワイトニング約3ヶ月
(ホームジェル8本使用)
フルレペースト購入
ホワイトニングの費用合計¥46,600

歯茎ピーリング(2回)・・・¥12,000+¥8000

ホワイトニング期間

ホームホワイトニング3ヶ月
歯茎ピーリングは1ヶ月半で2回

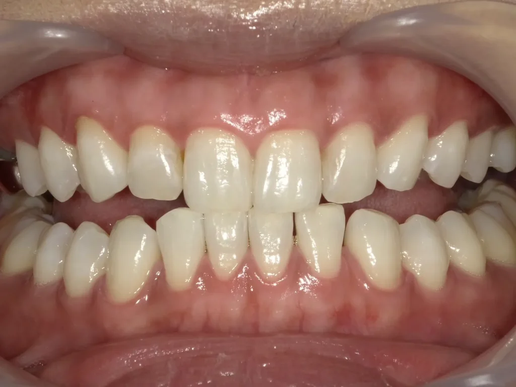
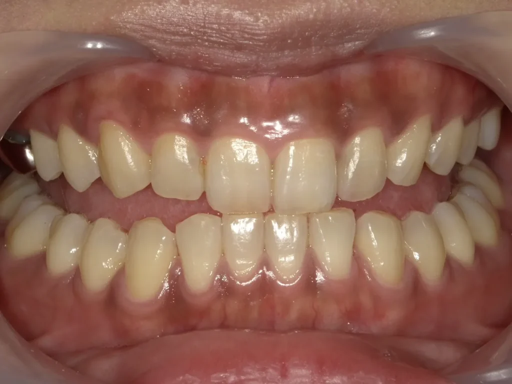
術前術後写真

歯科衛生士からのコメント

犬歯と根元の黄ばみがもう少し気になるのでも時々はホームホワイトニングを続けていくとのことです。

周りからも褒められるようになってお友達もご紹介いただきました。

福岡天神でホワイトニング・クリーニングなら歯科医院のRefletへ

ホワイトニングサロンReflet歯科天神店
【医療ホワイトニング&咬筋ボツリヌス】
〒810-0001 福岡市中央区天神2丁目2-12
T&Jビルディング9F
西鉄福岡(天神)駅より徒歩1分
地下鉄七隈線 天神南駅より徒歩3分
地下鉄空港線 天神駅より徒歩5分