ホワイトニングサロンReflet福岡天神店の症例です。
主訴
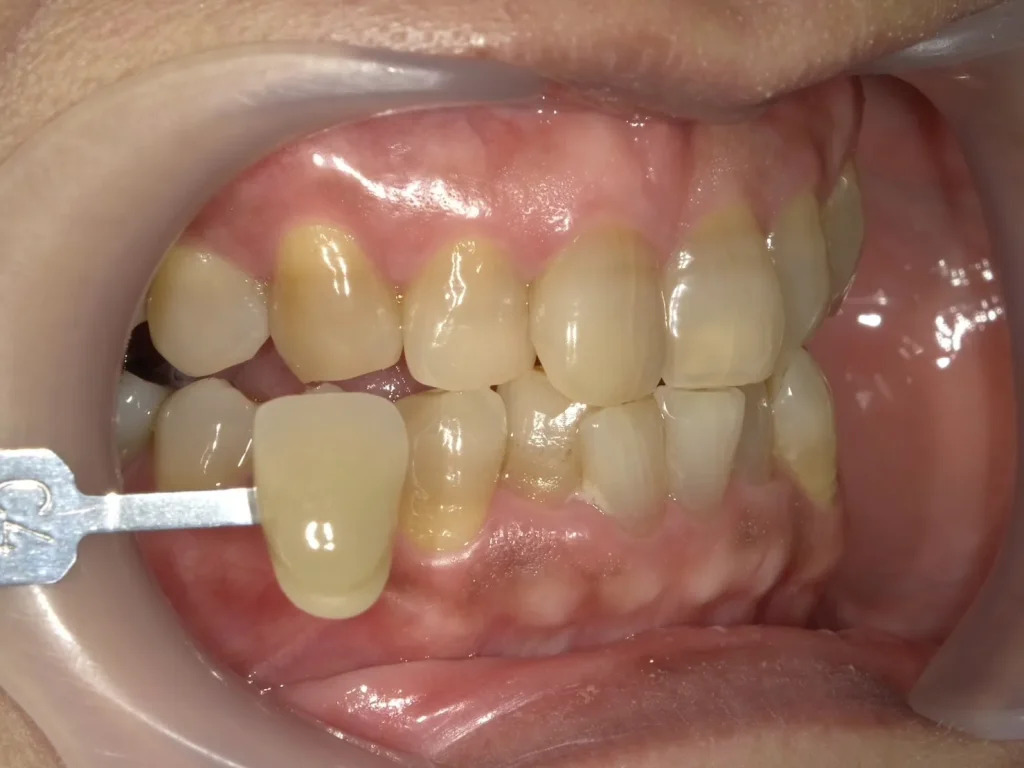
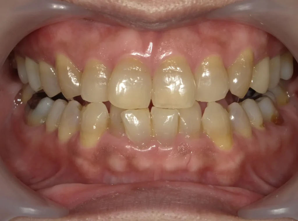
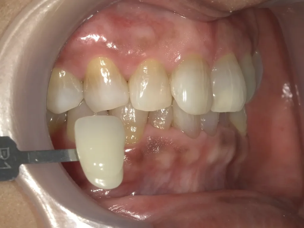
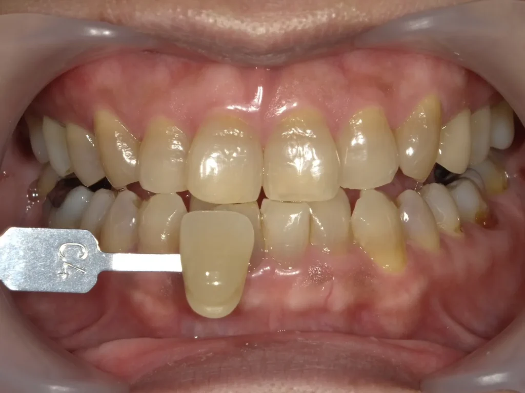
50代女性 テトラサイクリン歯
昔から周りの人より歯の色が濃くてコンプレックスだった。
以前、別の歯科医院でホワイトニングの相談をしたがお断りされた。
子供の頃は風邪薬をよく服用していたと思う。
ホワイトニング施術内容
初回プレミアムホワイトニング 7400円
デュアルホワイトニング(プレミアムコース)
110,000円
(プレミアムホワイトニング5回・ホームホワイトニング上下セット・ホームジェル12本・トリートメントペースト1本)
ホワイトニング期間
約2ヶ月半
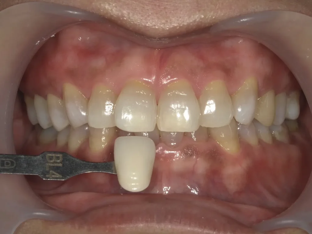
術前術後写真
歯科衛生士からのコメント
期間中、ホームホワイトニング はほぼ毎日2時間できていたようです。
途中、やりすぎて少ししみることがあったようですが、時間を調整していただき続けました。
テトラサイクリン歯特有の縞模様は残りましたが自然でナチュラルな白さになりました。
福岡天神でホワイトニング・クリーニングなら歯科医院のRefletへ
ホワイトニングサロンReflet歯科天神店【医療ホワイトニング&咬筋ボツリヌス】
〒810-0001 福岡市中央区天神2丁目2-12
T&Jビルディング9F
西鉄福岡(天神)駅より徒歩1分
地下鉄七隈線 天神南駅より徒歩3分
地下鉄空港線 天神駅より徒歩5分












