オーラルケアクリーニングとは

福岡天神のホワイトニングサロンReflet歯科天神店では、歯のオーラルケアクリーニングを行っています。

オーラルケアクリーニングとは、歯科医院でプロが行う歯のクリーニングです。

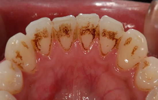
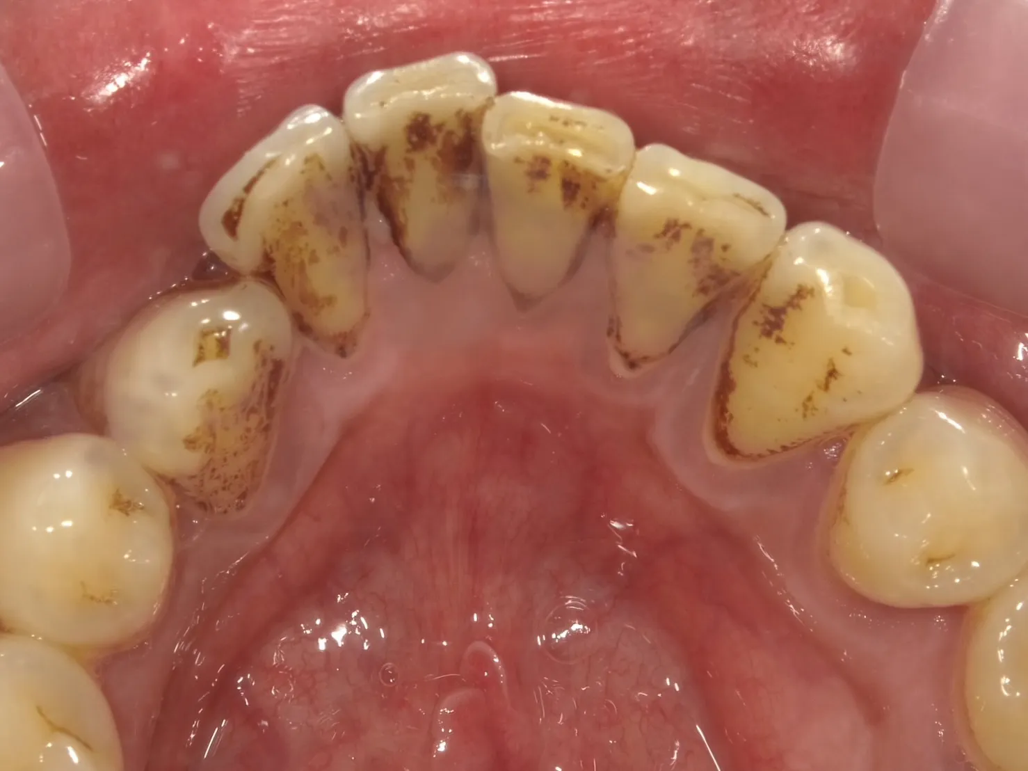
普段の歯磨きでは除去できない、歯に沈着した茶渋・ヤニ・歯石・バイオフィルムを徹底的に除去していきます。

虫歯・歯周病予防・口臭予防として定期的に受けられることをおすすめしております。

Refletのクリーニングの特徴

安心安全なホワイトニング

パウダーでヤニ・着色を楽に除去

微粒子のジェットパウダーを使い、歯に沈着したヤニ・茶渋をスムーズに除去できます。

ヘビースモーカーの方の頑固なヤニも1−2回で除去が可能です。

歯石除去

痛みなし、快適に歯石除去

保険のお掃除と異なり、研修を積んだプロの歯科衛生士がクリーニングを行います。

痛みもなく、エステ感覚で快適に歯石とりやお口のお掃除を受けていただけます。

歯周病予防

虫歯・歯周病予防のメンテナンスとして

健康な方でも虫歯・歯周病は自覚症状が少なく徐々に進んでいきます。

3ヶ月ー半年に1度のお口のメンテナンスとして、歯のクリーニングをおすすめしております。

コーティング

歯が着色しにくくなる

Refletでは最後に歯の表面をツルツルに磨き、コーティングを行います。

これにより、コーヒー紅茶を飲んでも着色しにくくなります。
ホワイトニングをされている方もおすすめです。

check

保険のお掃除との違い

保険診療で行う歯の掃除は、「歯周病治療」の歯石除去のみが目的です。

時間も短く、痛みを伴うもので、パウダークリーニングやヤニ・着色の除去は行えません。

保険のお掃除とは全く異なる、心地よい歯のクリーニングをご体験ください。

オーラルケアクリーニング 保険でのお掃除
ヤニ・ステインの除去 ×
心地よさ ×
歯のコーティング ×

オーラルケアクリーニングの料金

歯石除去

クイックケア

(20分)税込6,200円

お忙しい方に、さっと受けられるクリーニングです。
前歯上下12本の見える範囲のみを施術します。
(※歯茎マッサージは含まれません。)

パウダークリーニング

ベーシックケア

(45分)税込10,000円

エステ感覚で受けられる、痛みのない心地よいクリーニング。
ヤニ・ステイン・歯石除去・パウダークリーニング・歯のコーティング・歯茎マッサージまでついた基本メニューです。

ハイパーケア

ハイパーケア

(90分)税込19,000円 

お急ぎの方で、着色汚れや歯石が多い方向けのメニューです。

頑固なステインでもお口の中の大掃除を1度で終わらせます。

クリーニング症例

全てRefletで施術した症例です。一切加工しておりません。
BEFORE AFTER
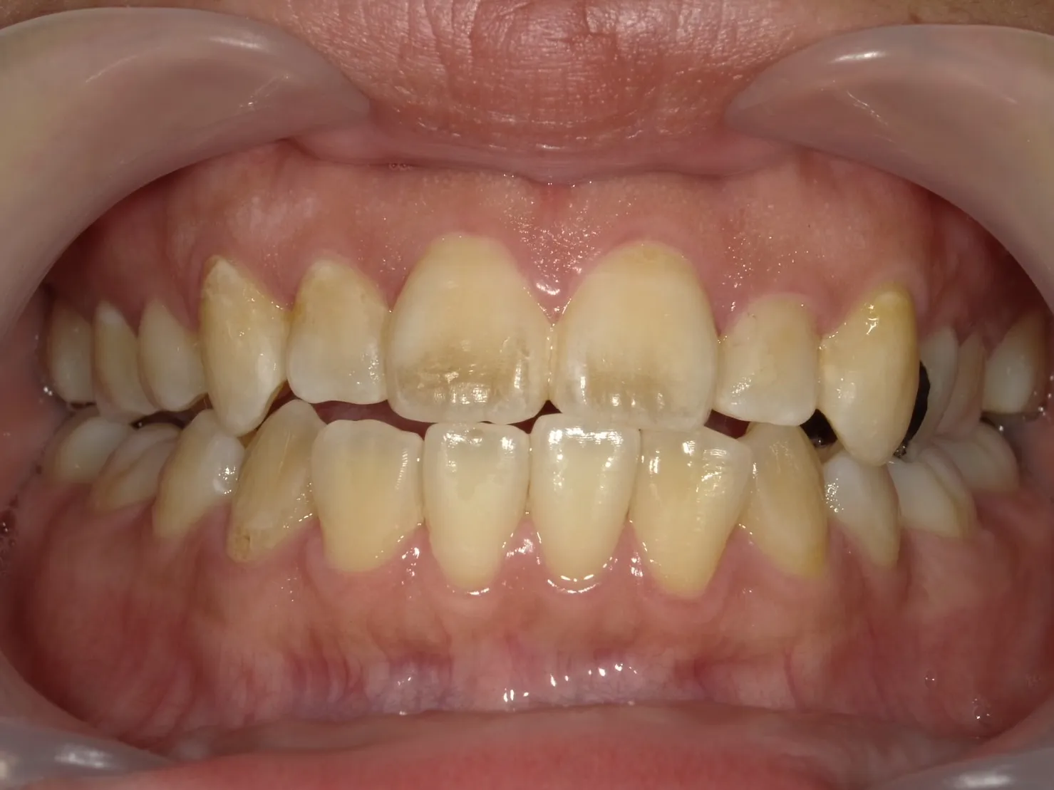
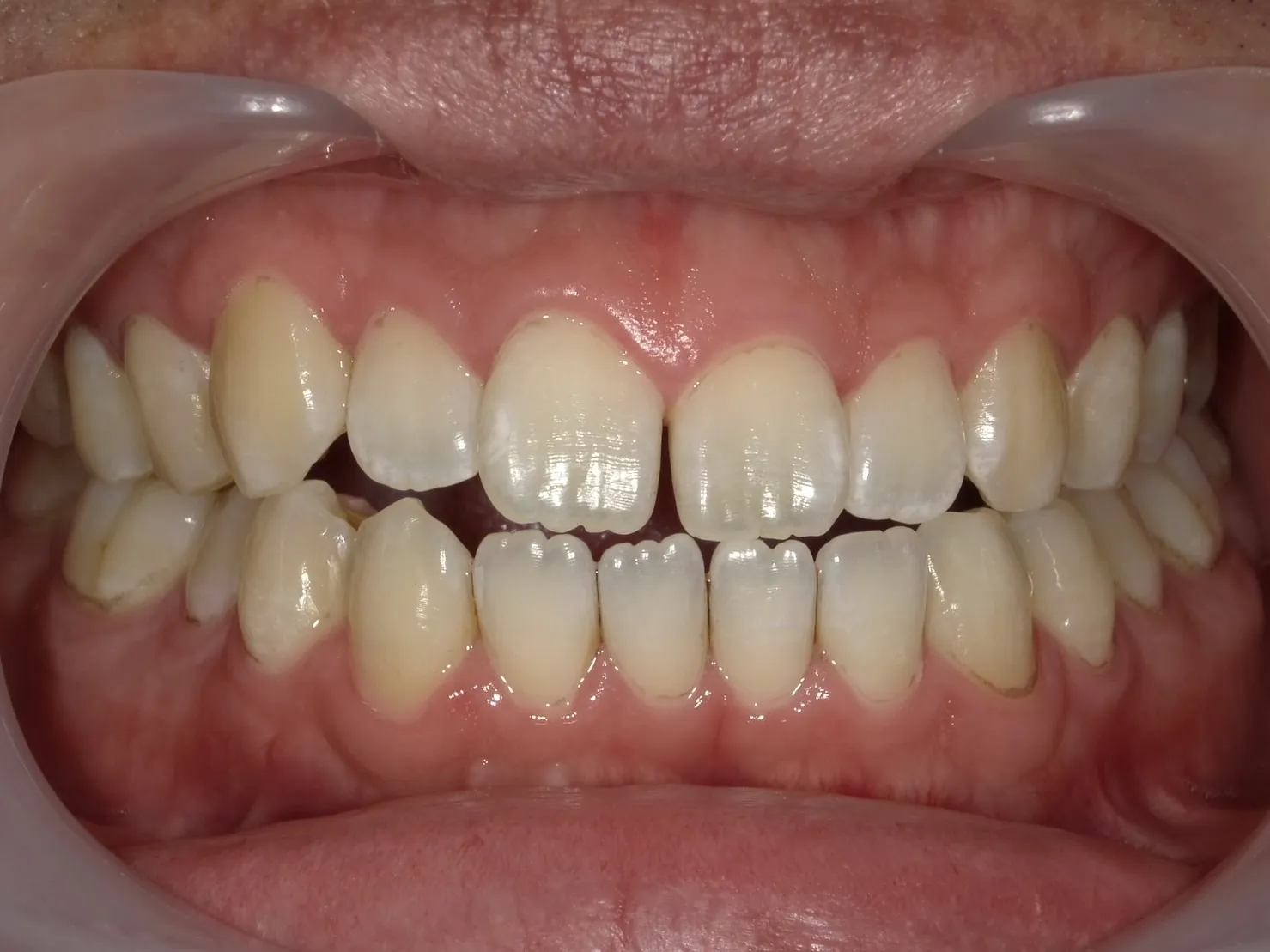
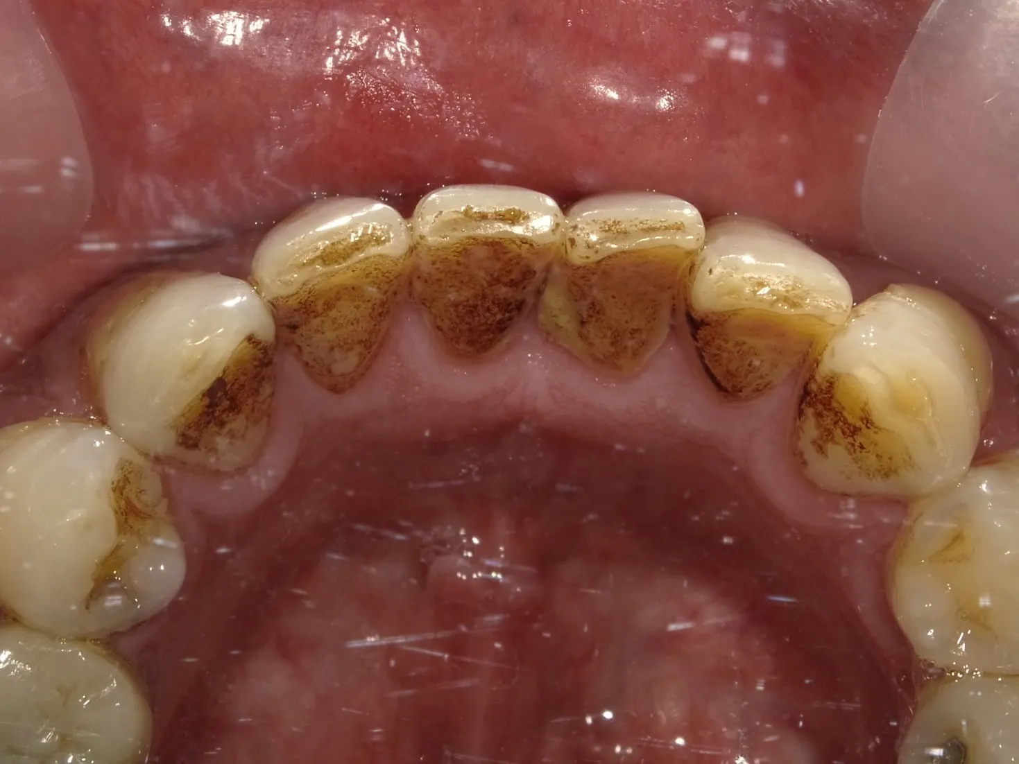
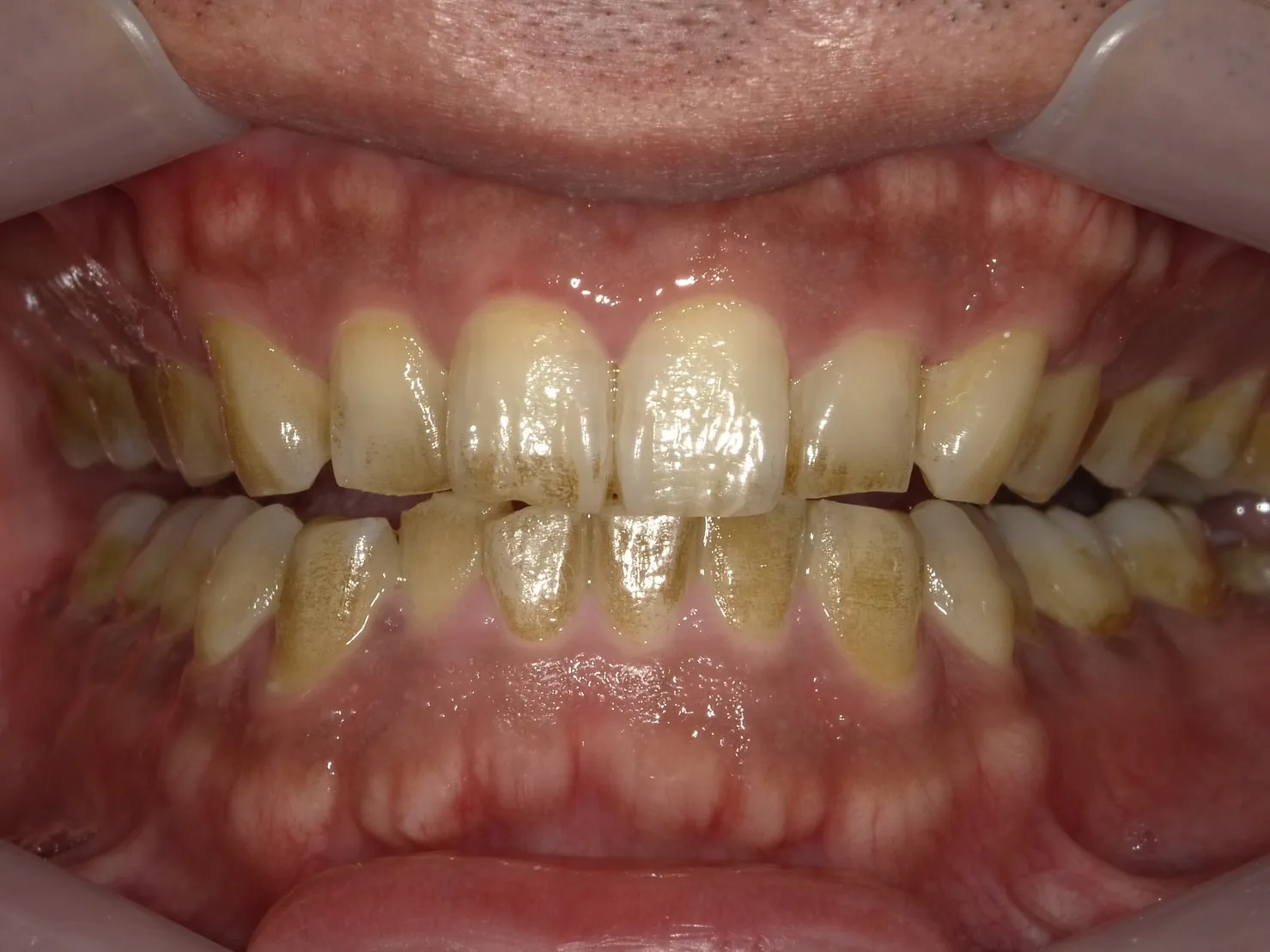
30代男性 コーヒーの着色
BEFORE
30代男性コーヒーの着色
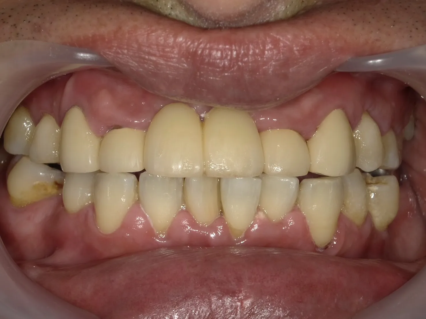
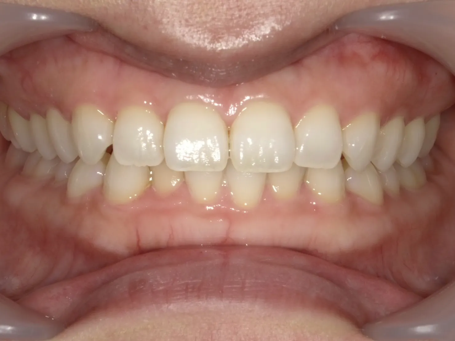
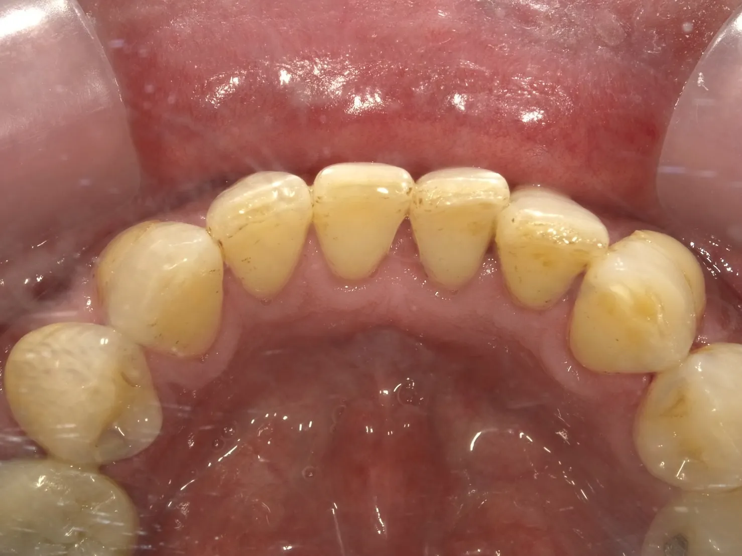
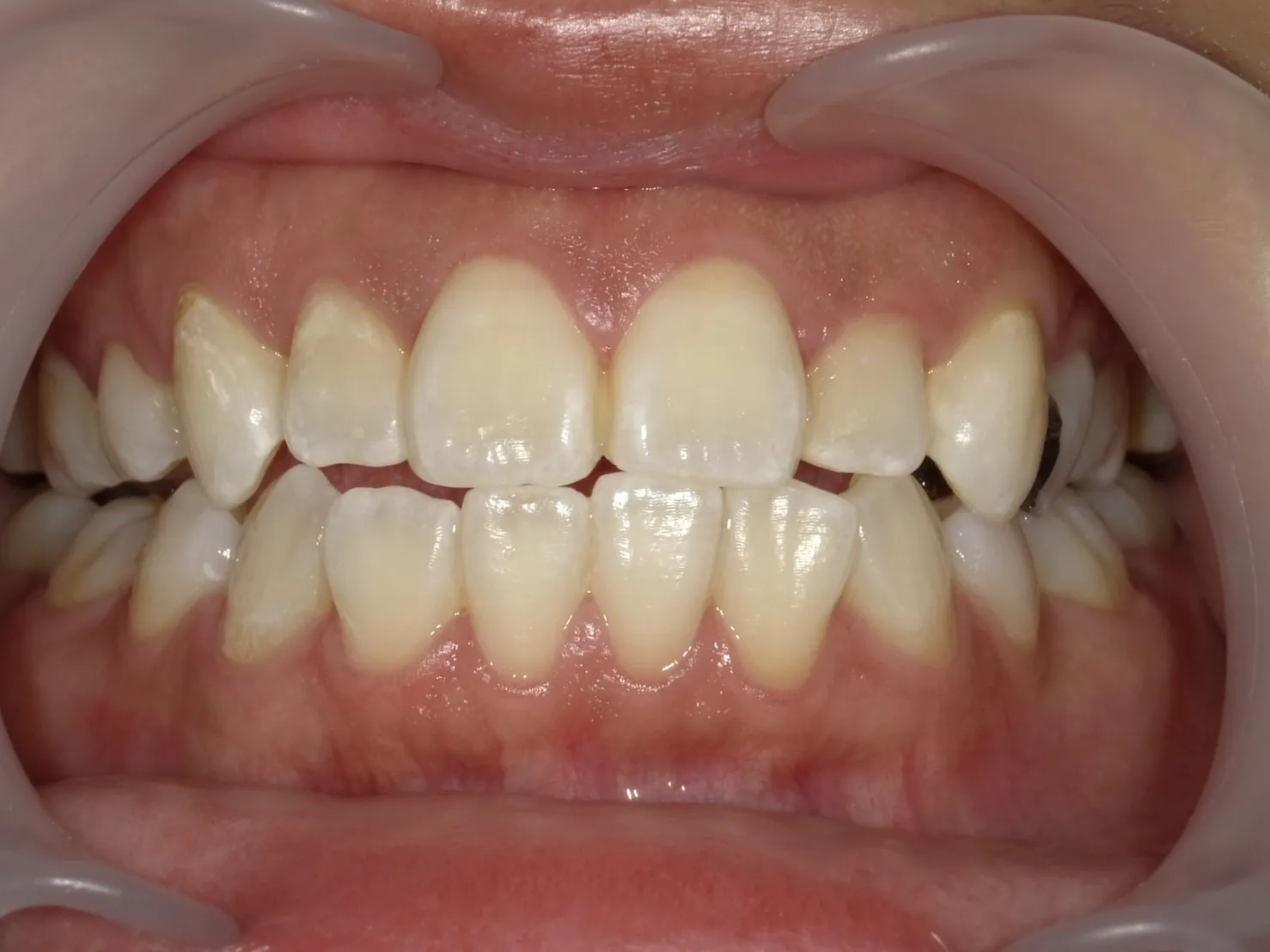
AFTER
30代男性コーヒーの着色術後
30代男性
コーヒーの着色

– よくあるご質問 –

Refletのクリーニングでは、普段のブラッシングでは取り除けないプラークや歯石、着色汚れ(コーヒー、紅茶、タバコなどによる)を効果的に取り除くことができます。これにより、虫歯や歯周病のリスクを減らすことができます。
Refletのオーラルケアクリーニングは痛みを伴うものではありません。エステ感覚で快適にお受けいただけます。
クリーニングによって表面の着色汚れが取り除かれるため、歯は自然に白く見えるようになります。しかし、歯の本来の色(天然の色)を変えるものではないため、本来の色より白くされたい場合は、ホワイトニングをおすすめします。
クリーニングは予防処置のため自費診療となります。
個人の口腔状態や歯の健康によって異なりますが、3ヶ月に1度のクリーニングをおすすめしております。

Slide
標準的な治療内容

オフィスホワイトニング;ホワイトニング剤を塗布し、LEDライトを照射することで色素を分解し歯を白くします。
ホームホワイトニング:カスタムメイドのトレーにホワイトニング剤をいれ、一定時間装着することで色素を分解し歯を白くします。
クリーニング:専用ブラシとペーストで歯の表面を磨き、超音波スケーラーとエアフローで歯垢・歯石・着色を除去します。

標準的な費用

ホワイトニングは自費診療です。
スタンダードオフィスホワイトニング 60分 2回塗布×10分光照射 14,800円(税込)
ホームホワイトニング (上下トレー付 10日分)18,000円(税込)
クリーニング:40分 10,000円(税込)

起こり得る副作用(リスク)

個人差はありますが、施術中や施術後に一時的に歯がしみる場合があります。
オフィスホワイトニングの光は歯が重なっている箇所に届かないため、色むらができる場合があります。
クリーニングでは、歯周病の場合、一時的に歯茎の出血やしみがある場合があります。

Slide 1
医療ホワイトニング
専門クリニック
福岡天神 ホワイトニングサロンReflet歯科天神店では無料カウンセリングを行なっております。
お気軽にご相談ください。
ホワイトニング
リピーター率
0%以上
オフィス
ホワイトニング初回
0円
Reflet松山店
年間施術数
0人