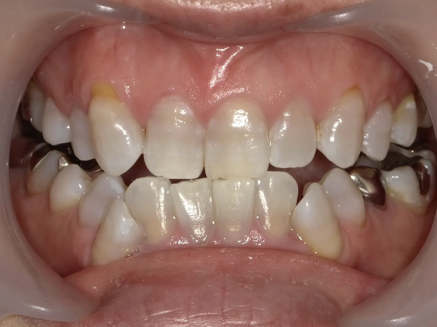
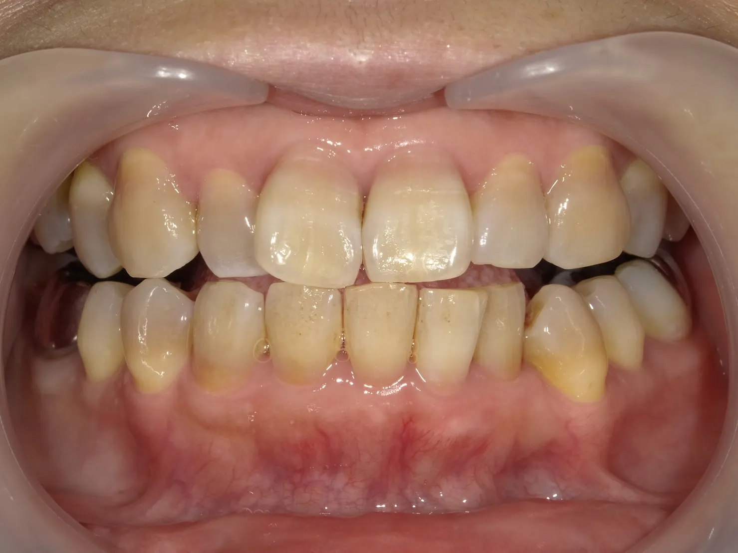
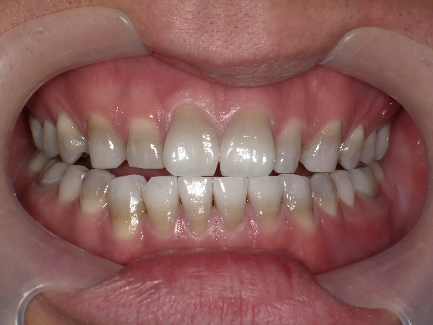
テトラサイクリン歯とは
テトラサイクリン歯とは、テトラサイクリン系抗生物質の服用によって引き起こされる歯の着色の一種です。
この状態は、特に幼少期にこの薬を服用した場合に見られることが多く、歯の発達に影響を与えることが知られています。
![]()
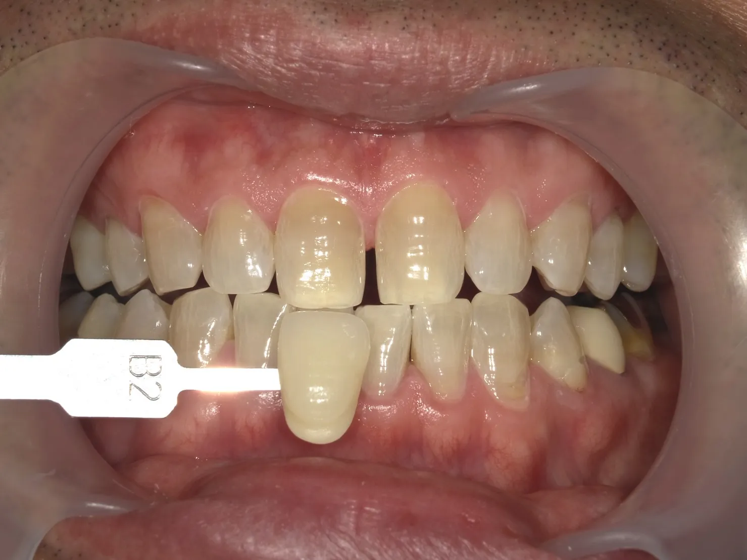
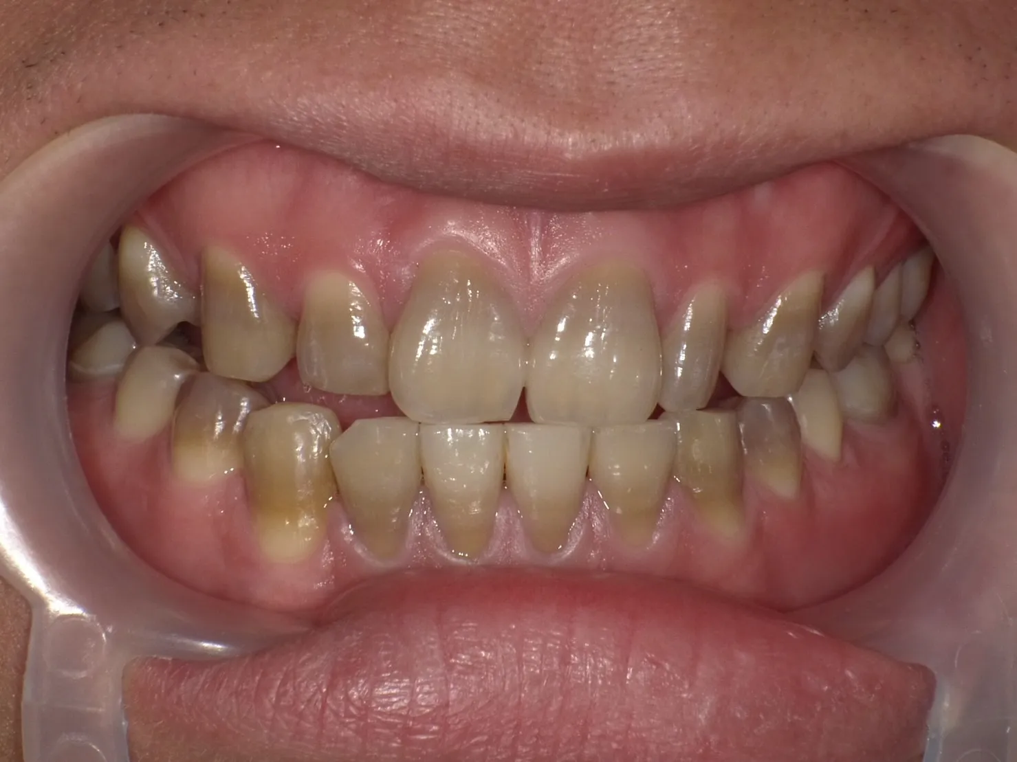
テトラサイクリン歯の特徴
深い着色
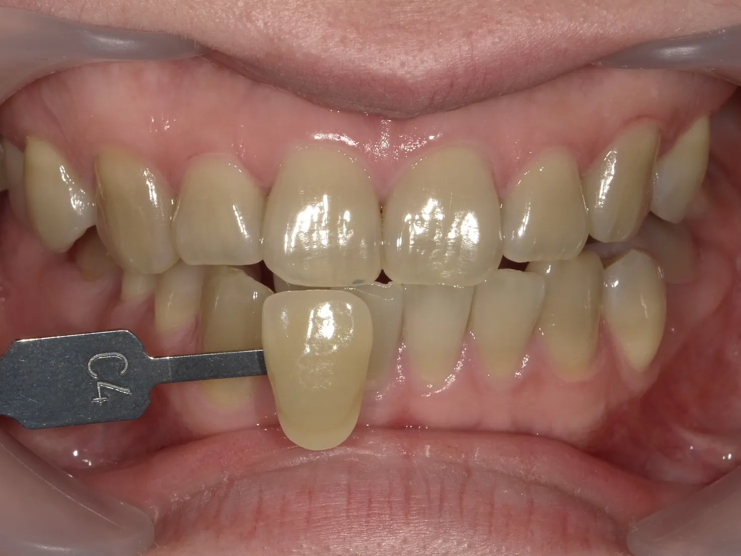
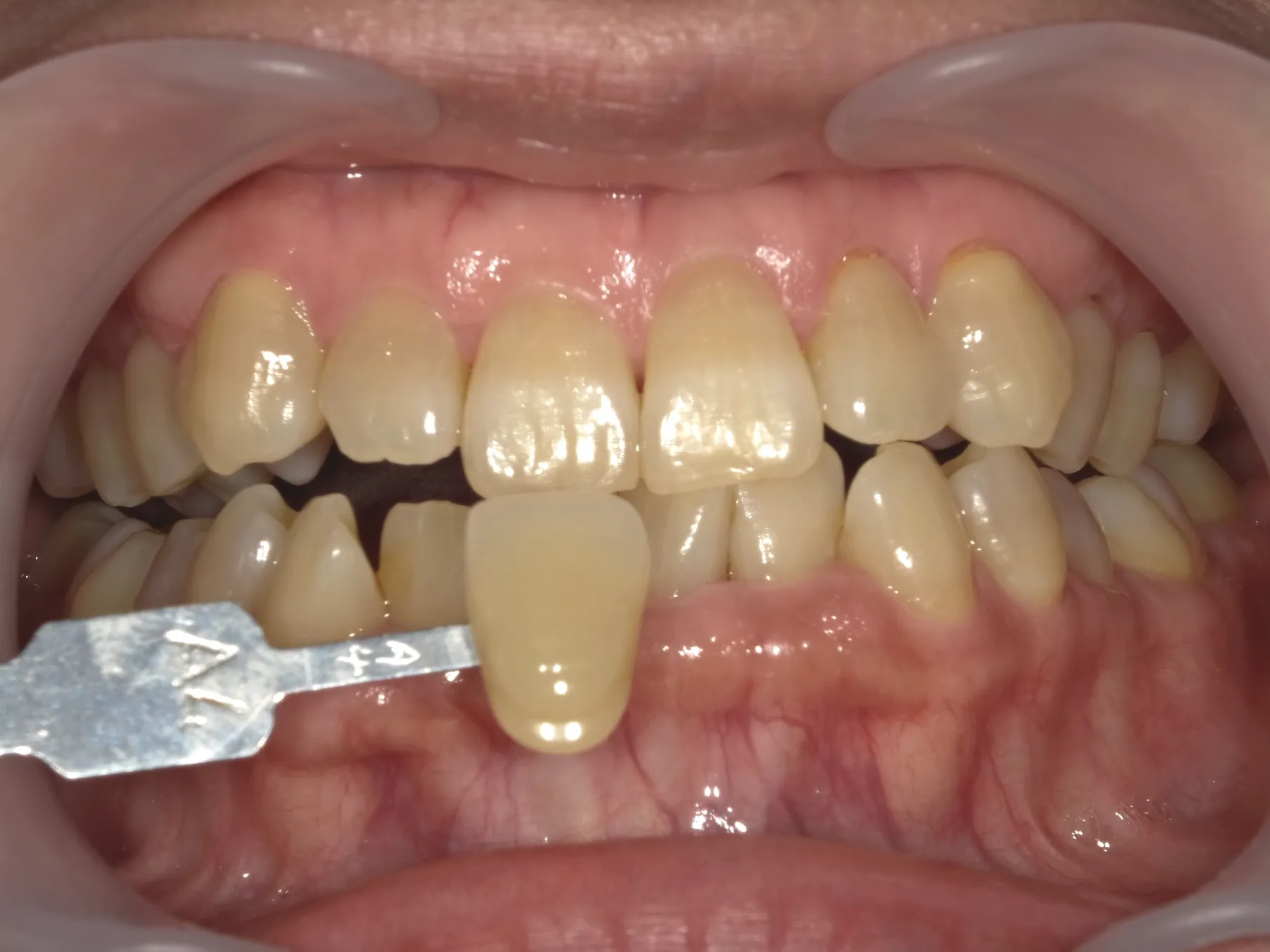
テトラサイクリン歯は、黄色から茶色、時には灰色の着色を示すことがあります。
この着色は歯の表面だけでなく、内部にまで及ぶことが特徴です。
不均一な着色パターン
テトラサイクリン歯の着色は歯全体に均等に現れるわけではありません。
歯によってはバンド状、斑点状、または不規則なパターンで現れることが特徴です。
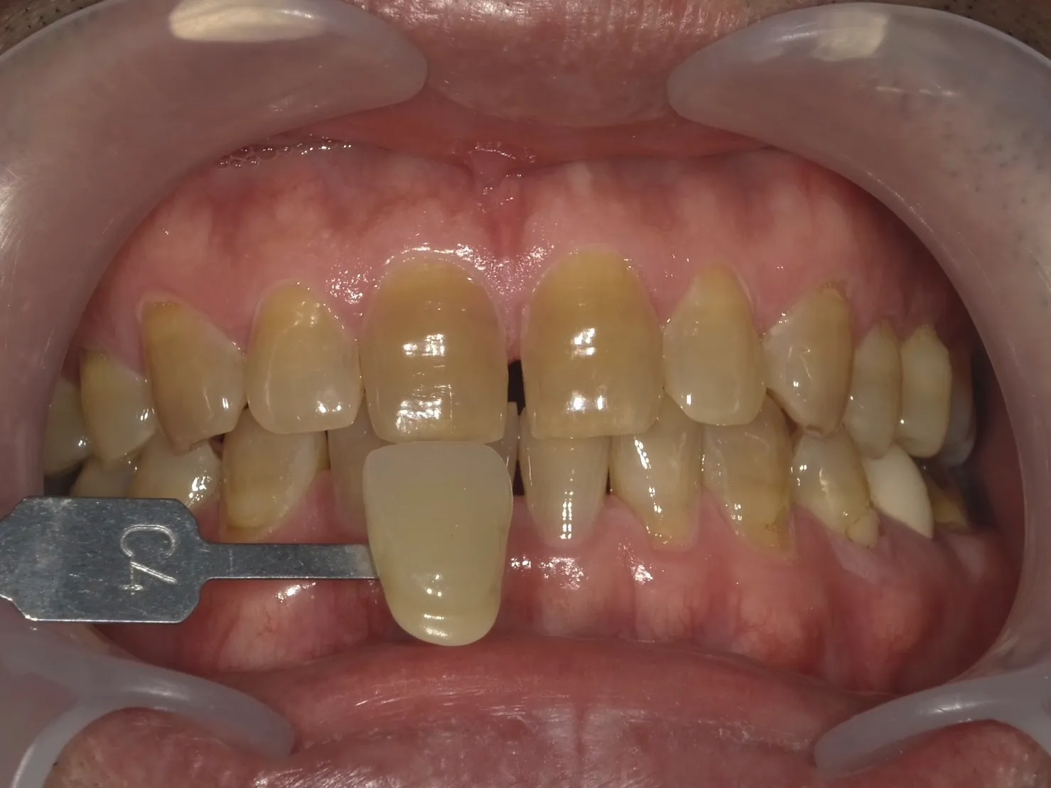
テトラサイクリン歯の治療法
テトラサイクリン歯の治療には、以下の方法が一般的に用いられます。
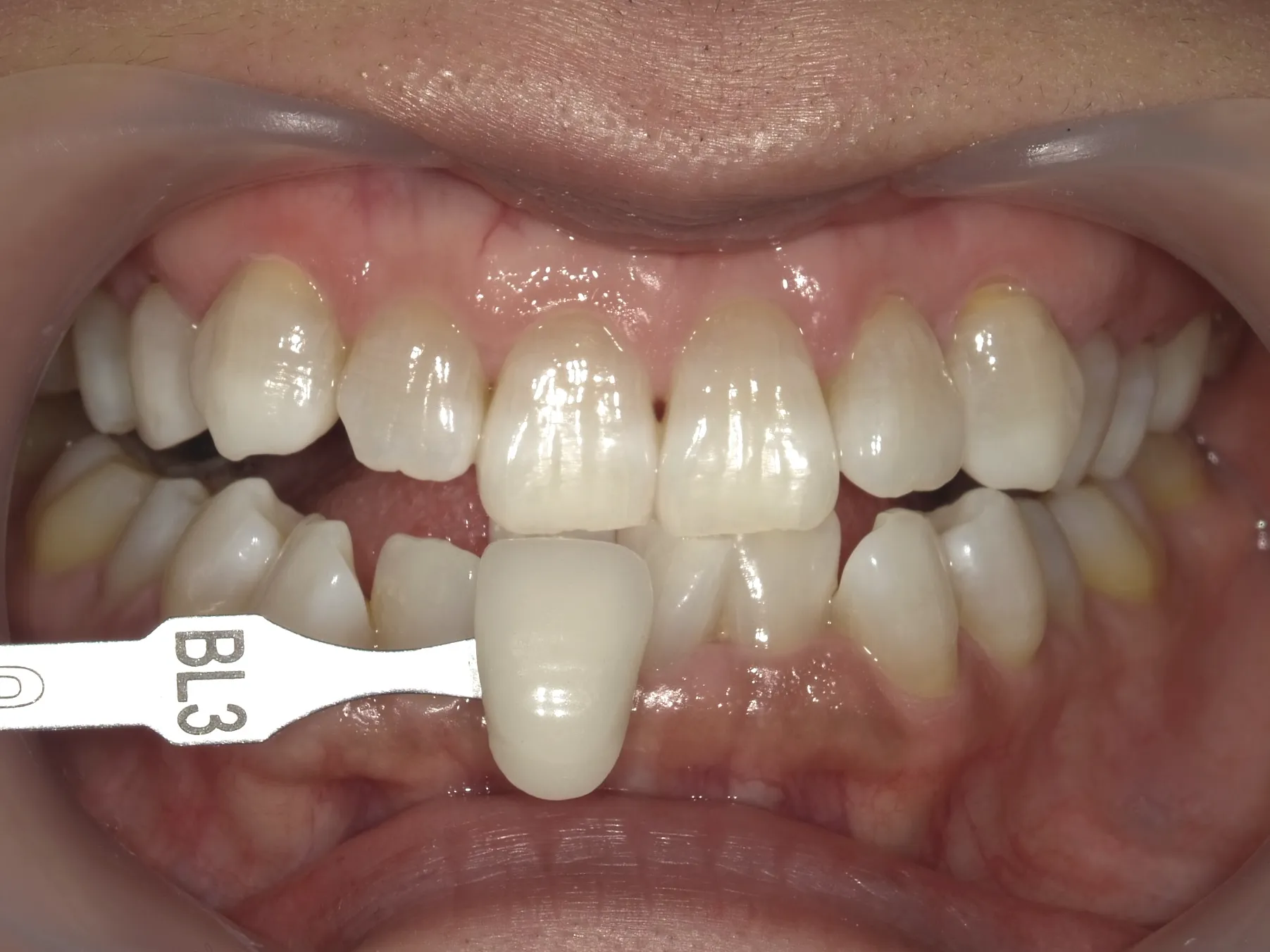
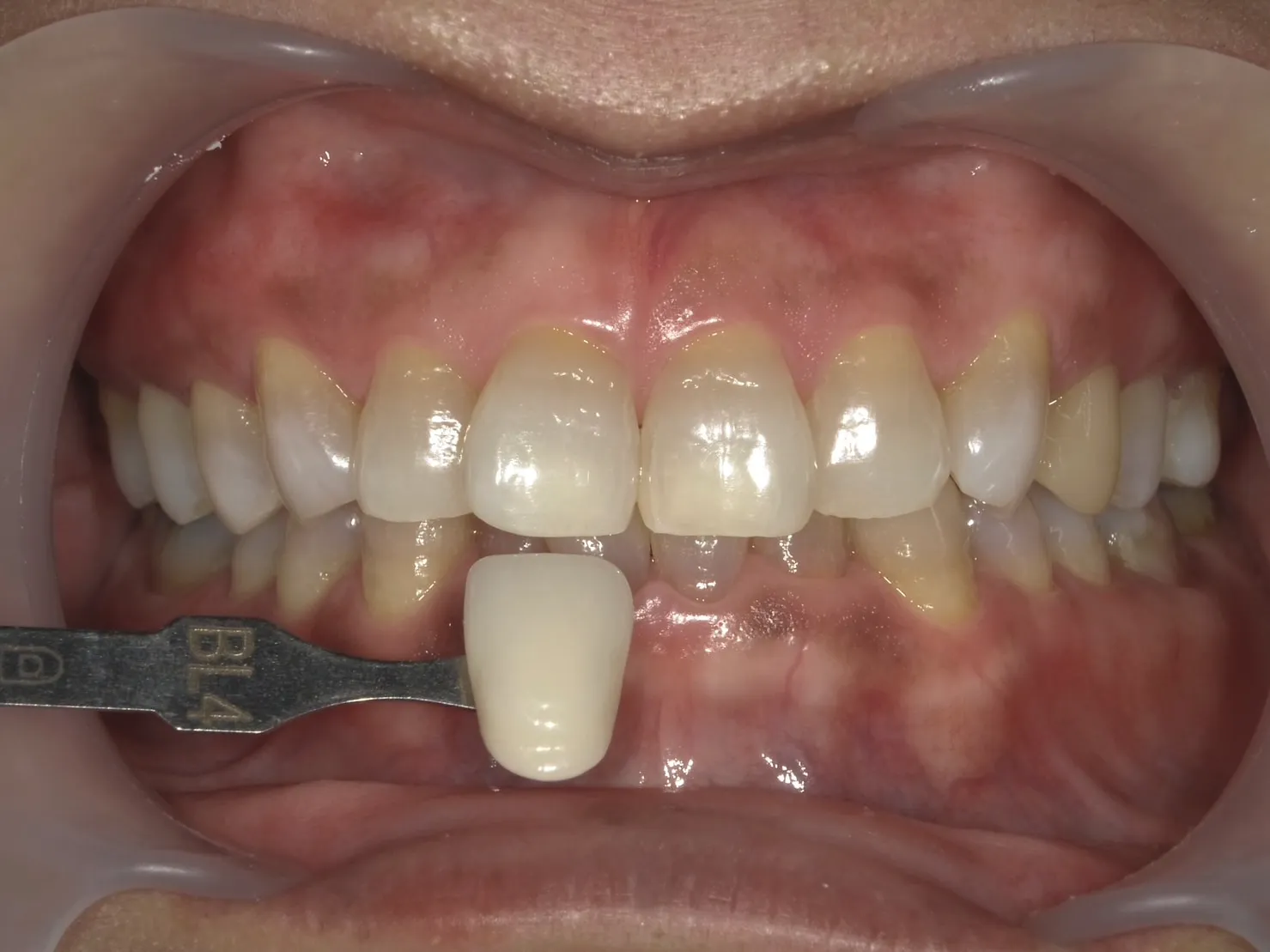
ホワイトニングは歯を削らないため、削らずに白くしてみたいという方に最適な治療法です。
特に、オフィスホワイトニングとホームホワイトニングを併用する
「デュアルホワイトニング」が効果的です。
| メリット | デメリット | |
| ラミネートベニア | 自然な見た目を実現可 耐久性が高い 着色や変色に強い |
歯の表面を削る必要がある 修復が難しい場合がある コストが高い |
| ダイレクトボンディング | 治療時間が短い 比較的低コスト 歯の削除が少ない |
耐久性に劣る 時間が経つと変色する可能性がある |
| ホワイトニング | 非侵襲的で歯を削る必要がない 全体的に白くできる |
テトラサイクリン歯による深い着色には限界がある |
![]()
– よくあるご質問 –
![]()


























