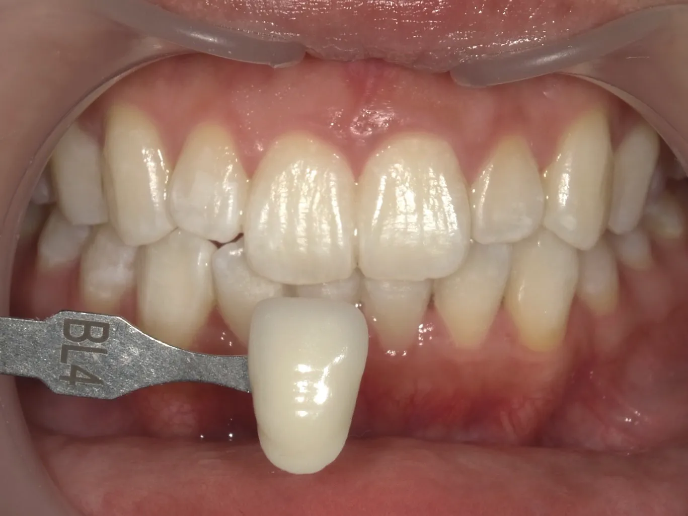
20代男性 とにかく白くしたい!ブリーチシェード希望の症例

主訴 20代男性 とにかく白くしたい!ブリーチシェード希望 ホワイトニング施術内容 初回プレミアムホワイトニン […]                                                    

                                                  

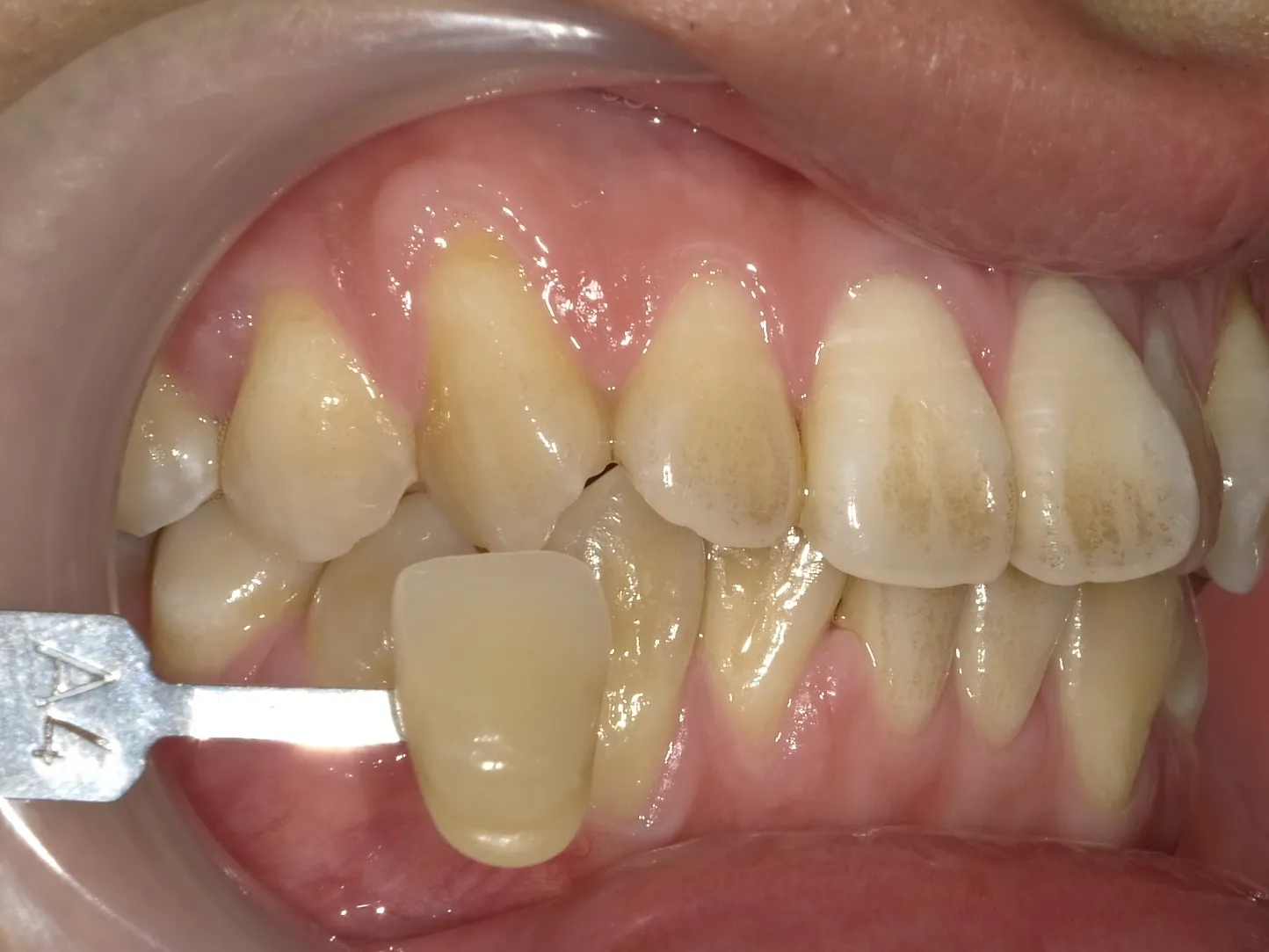
40代男性 清潔感のある白さにしたい、歯石取り希望のホワイトニング症例

主訴 40代男性 暫く歯科受診もしておらず、歯石も取ってほしい 清潔感のある白さにしたい。できればブリーチシェ […]                                                    

                                                  

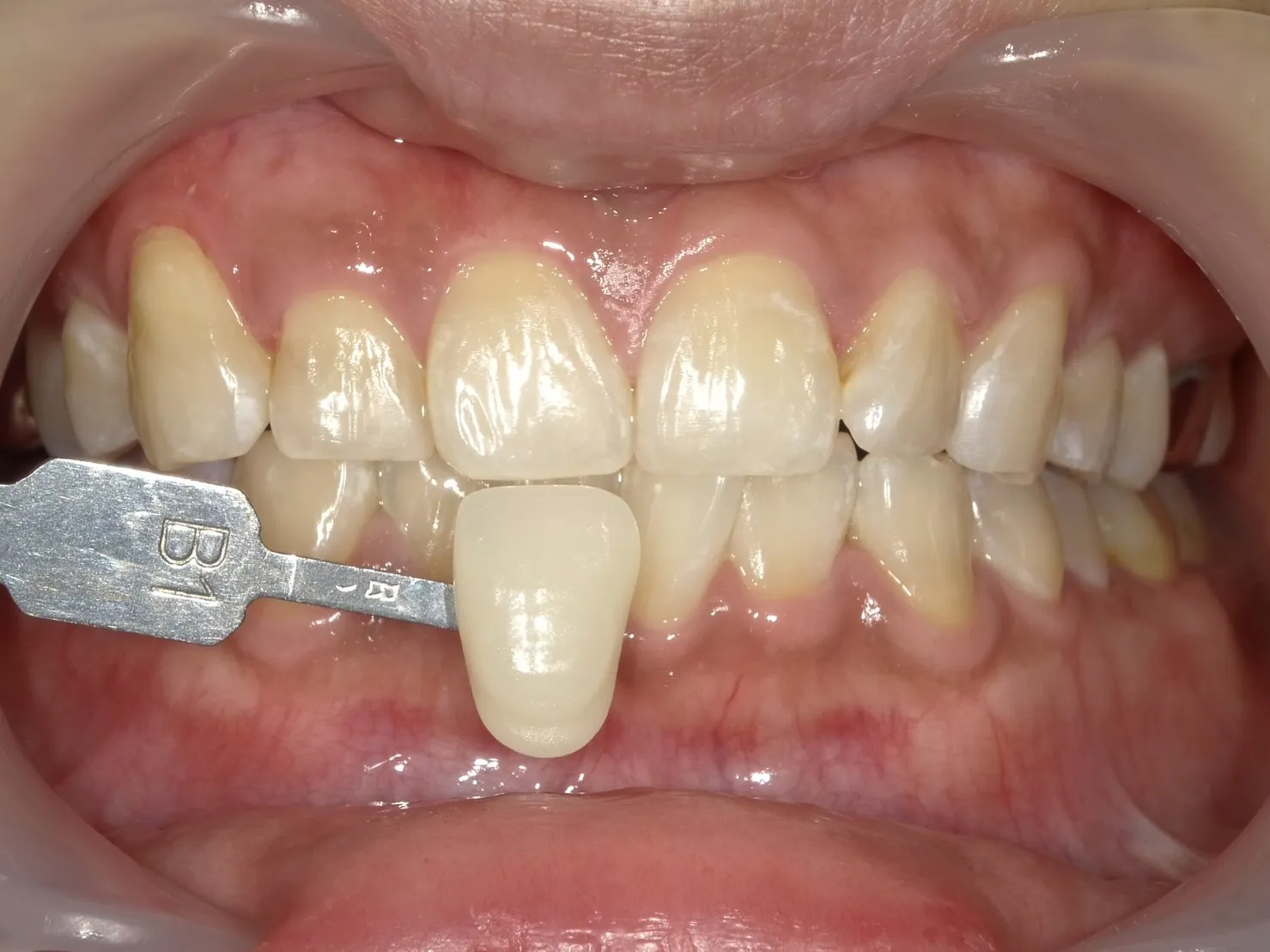
40代女性 美意識が高くブリーチシェードを目指しオフィスホワイトニングをした症例

主訴 40代女性 もともと美意識が非常に高い方で、ブリーチシェード色をご希望。 右上4.5番の補綴は2ヶ月ほど […]                                                    

                                                  

30代女性 ご主人と一緒にペアでデュアルホワイトニングを行った症例

主訴 30代女性 ご主人と一緒に来院 犬歯の色が特に気になっているとのこと。 ご主人と一緒にペアコースをされま […]                                                    

                                                  

20代女性 知覚過敏がある方のデュアルホワイトニング症例

主訴 20代女性 夜の歯ぎしりが多く、前歯の知覚過敏が時々ある。 自然な白さにしたい。 ホワイトニング施術内容 […]