ホワイトニングサロンReflet福岡天神店の症例です。
主訴
40代女性
もともと美意識が非常に高い方で、ブリーチシェード色をご希望。
右上4.5番の補綴は2ヶ月ほど前に他院で治したばかりと言う事でしたが、ゆくゆくはもう少し白い色でやりかえたいとこのこと。
ホワイトニング施術内容
初回プレミアムホワイトニング 7400円
デュアルホワイトニング(スタンダードコース)
69000円
(プレミアムホワイトニング3回・ホームホワイトニング上下セット・ホームジェル6本・トリートメントペースト1本)
ホワイトニング期間
約1ヶ月半
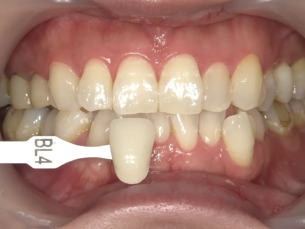
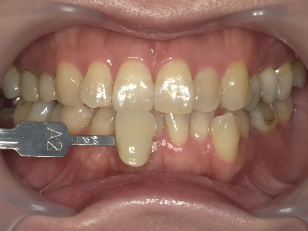
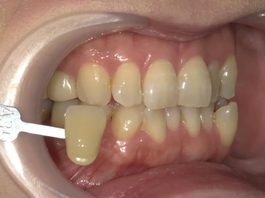
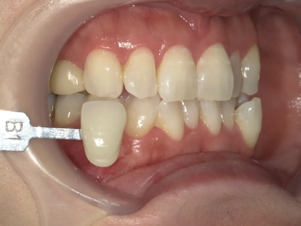
術前術後写真
歯科衛生士からのコメント
ホームホワイトニングのジェルは最初16%から始めましたが、22%を2本使用後、早く白くしたいとのことでその後は35%を使用しました。
福岡天神でホワイトニング・クリーニングなら歯科医院のRefletへ
ホワイトニングサロンReflet歯科天神店【医療ホワイトニング&咬筋ボツリヌス】
〒810-0001 福岡市中央区天神2丁目2-12
T&Jビルディング9F
西鉄福岡(天神)駅より徒歩1分
地下鉄七隈線 天神南駅より徒歩3分
地下鉄空港線 天神駅より徒歩5分












