ホワイトニングサロンReflet福岡天神店の症例です。
主訴
20代男性
とにかく白くしたい!ブリーチシェード希望
ホワイトニング施術内容
初回プレミアムホワイトニング 7400円
デュアルホワイトニング(スタンダードコース)
69000円
(プレミアムホワイトニング3回・ホームホワイトニング上下セット・ホームジェル12本・トリートメントペースト1本)
ホワイトニング期間
約1ヶ月半
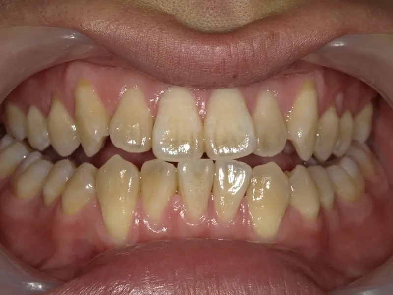
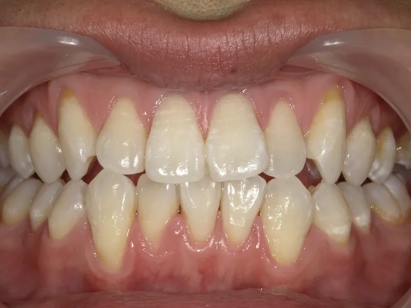
術前術後写真
歯科衛生士からのコメント
お友達のご紹介で来院。トライアスロンをやっているので健康的に焼けた肌に白い歯が際立つようになりました。ご希望通りのブリーチシェードになり、周りからも歯が白いことを褒められるようになって、就職活動もうまくいったとのことで大変喜んでいただきました。期間中はできるだけ毎日2時間のホームホワイトニングをがんばりました。着色がつきやすかったのですが当院オリジナルのホワイトニング歯磨き粉を使用するようになり着色がつきにくくなったとのことです。
福岡天神でホワイトニング・クリーニングなら歯科医院のRefletへ
ホワイトニングサロンReflet歯科天神店【医療ホワイトニング&咬筋ボツリヌス】
〒810-0001 福岡市中央区天神2丁目2-12
T&Jビルディング9F
西鉄福岡(天神)駅より徒歩1分
地下鉄七隈線 天神南駅より徒歩3分
地下鉄空港線 天神駅より徒歩5分












