ホワイトニングサロンReflet福岡天神店の症例です。
主訴
40代男性
暫く歯科受診もしておらず、歯石も取ってほしい
清潔感のある白さにしたい。できればブリーチシェード希望
ホワイトニング施術内容
初回プレミアムホワイトニング 7400円
デュアルホワイトニング(プレミアムコース)
110,000円
(プレミアムホワイトニング4回・オーラルケアクリーニング(ベーシック)ホームホワイトニング上下セット・ホームジェル12本・トリートメントペースト1本)
*スタンダードホワイトニング5回のうち1回分をオーラルケアクリーニングの変更しました。
ホワイトニング期間
約2ヶ月
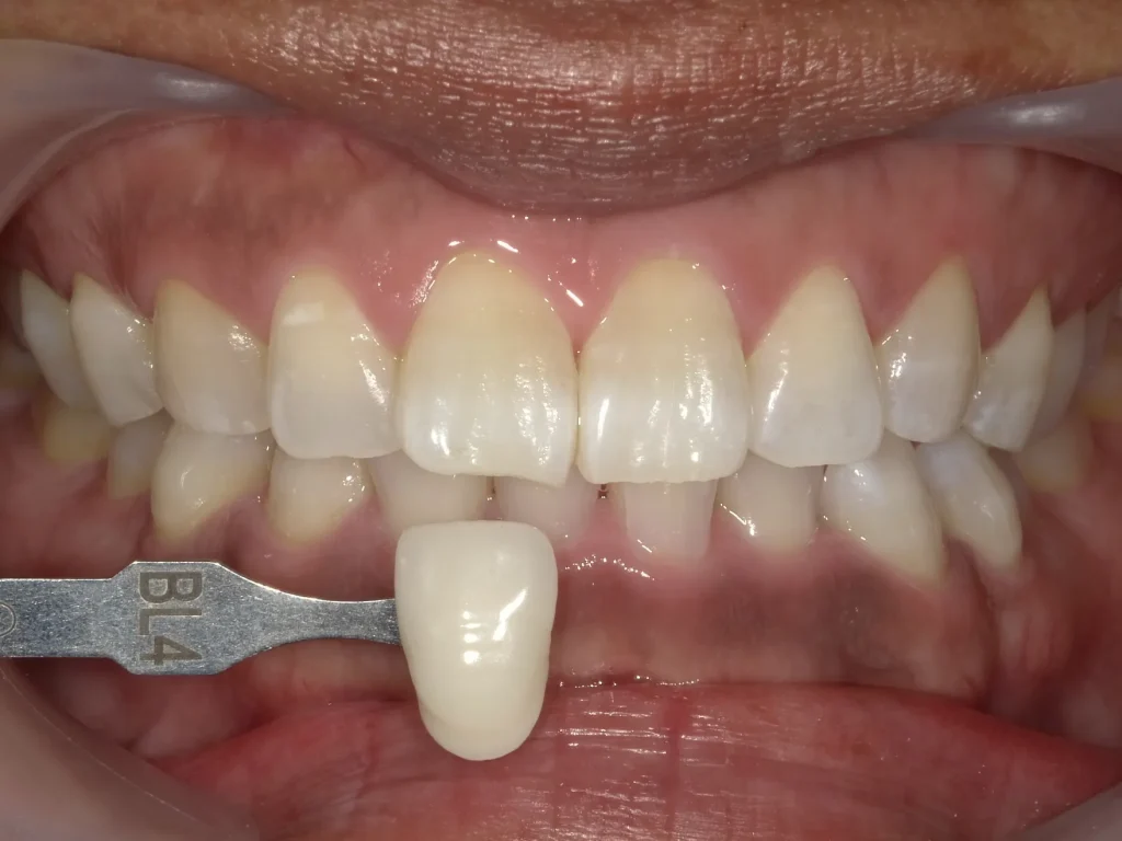
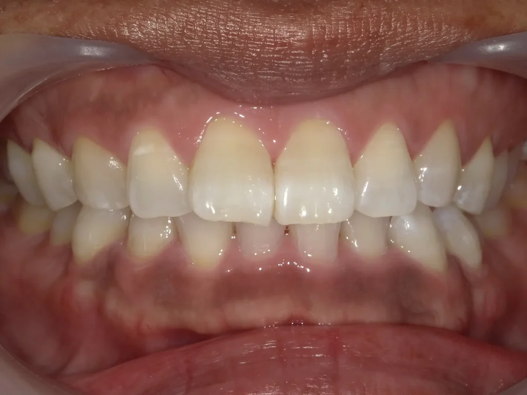
術前術後写真
歯科衛生士からのコメント
市外から来ていただいたお客様です。通常プレミアムコースはオフィスホワイトニングが5回ですが、歯石がかなり多く沈着していたので、そのうちの一回をオーラルケアクリーニングに変更して全体的にお口の中を綺麗にしてからコースを開始しました。希望通りの白さになり、ご本人もこれをきっかけに口の中にも関心が深まり口腔内のケアも積極的におこなうようになってくれました。縁下歯石も多いので、一般の歯科受診も促しました。
福岡天神でホワイトニング・クリーニングなら歯科医院のRefletへ
ホワイトニングサロンReflet歯科天神店【医療ホワイトニング&咬筋ボツリヌス】
〒810-0001 福岡市中央区天神2丁目2-12
T&Jビルディング9F
西鉄福岡(天神)駅より徒歩1分
地下鉄七隈線 天神南駅より徒歩3分
地下鉄空港線 天神駅より徒歩5分












