
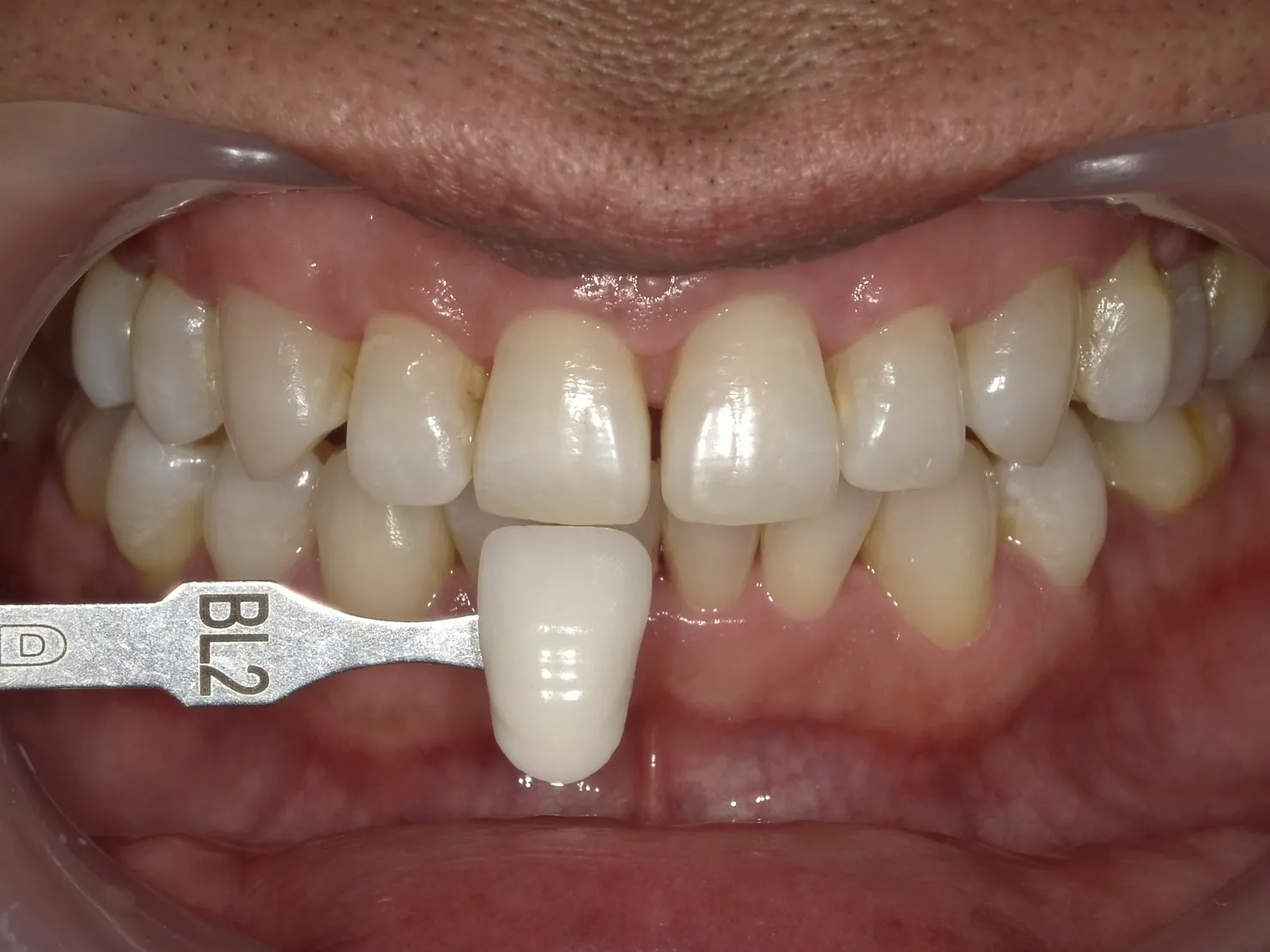
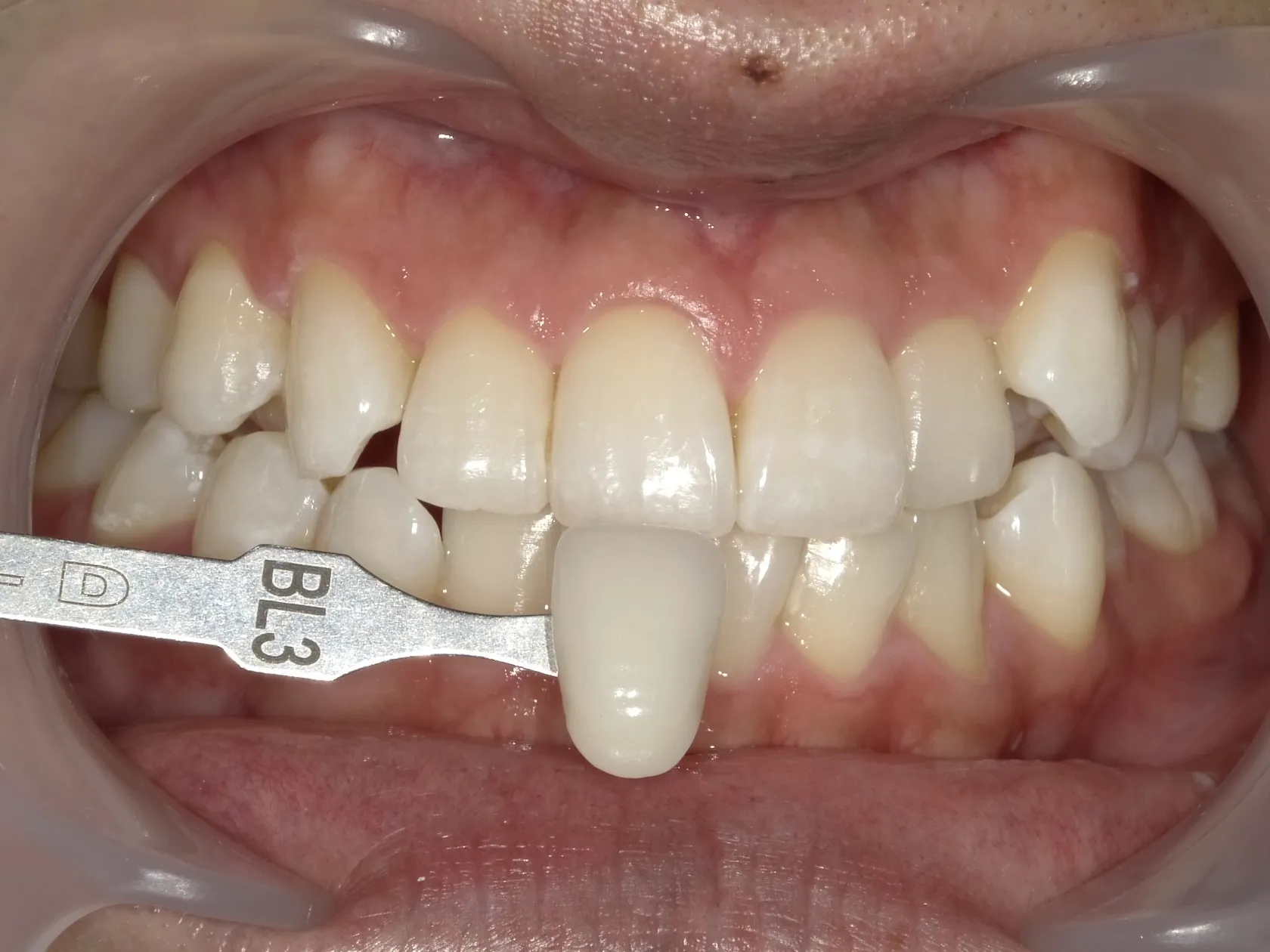
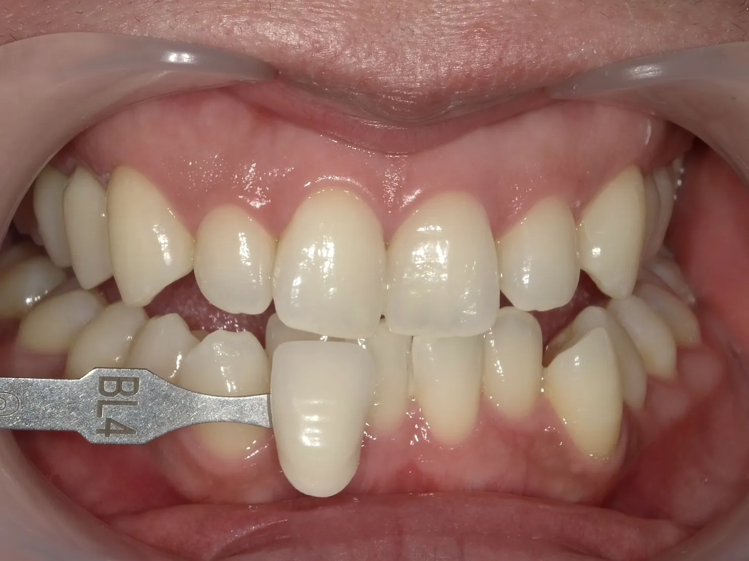
オフィスホワイトニングとホームホワイトニングを併用して歯を白くする方法です。
両者のメリットを合わせることで、短期間で色戻りしにくく真っ白な歯にすることができます。
エクセレントコース
(3 Month)
税込183,200円→税込150,000円
(33,200円OFF)
・スタンダード
オフィスホワイトニング7回分
・ホームホワイトニング上下トレー
・ホームジェル 5日分×18本
・トリートメントペースト 1本
プレミアムコース
(2 Month)
税込133,800円→税込110,000円
(23,800円OFF)
・スタンダード
オフィスホワイトニング5回分
・ホームホワイトニング上下トレー
・ホームジェル 5日分×12本
・トリートメントペースト 1本
スタンダードコース
(1 Month)
税込84,400円→税込69,000円
(15,400円OFF)
・スタンダード
オフィスホワイトニング3回分
・ホームホワイトニング上下トレー
・ホームジェル 5日分×6本
・トリートメントペースト 1本