ホワイトニングサロンReflet福岡天神店の症例です。
主訴
30代女性
ご主人と一緒に来院
犬歯の色が特に気になっているとのこと。
ご主人と一緒にペアコースをされました。
ホワイトニング施術内容
初回プレミアムホワイトニング 7400円
デュアルホワイトニング(ペアコース)
1人分65,000円
(プレミアムホワイトニング3回・ホームホワイトニング上下セット・ホームジェル6本・トリートメントペースト1本)
ホワイトニング期間
約1ヶ月半
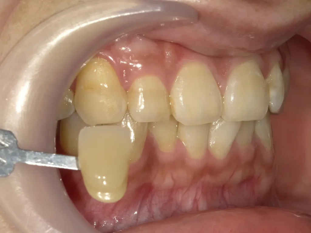
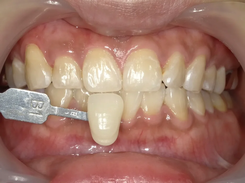
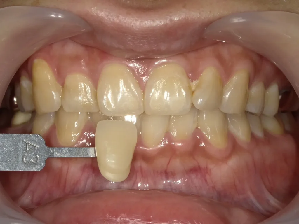
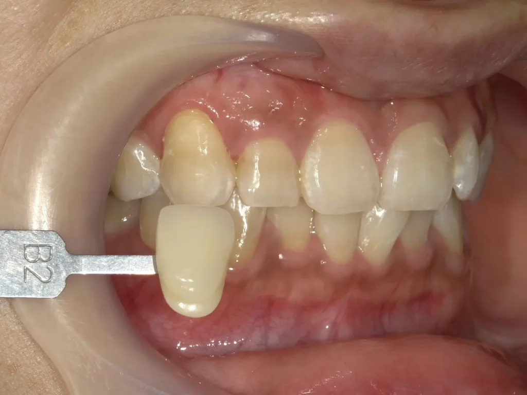
術前術後写真
歯科衛生士からのコメント
小さいお子さんがいて忙しい中、ホームホワイトニングのみ併用していただきました。
つけたまま寝てしまったら事があり、その時は少し痛みがあったそうですが、その他はできる限り1〜2時間のホームホワイトニングを頑張りました。
福岡天神でホワイトニング・クリーニングなら歯科医院のRefletへ
ホワイトニングサロンReflet歯科天神店【医療ホワイトニング&咬筋ボツリヌス】
〒810-0001 福岡市中央区天神2丁目2-12
T&Jビルディング9F
西鉄福岡(天神)駅より徒歩1分
地下鉄七隈線 天神南駅より徒歩3分
地下鉄空港線 天神駅より徒歩5分












