ホワイトニングサロンReflet福岡天神店の症例です。
主訴
20代女性
夜の歯ぎしりが多く、前歯の知覚過敏が時々ある。
自然な白さにしたい。
ホワイトニング施術内容
初回プレミアムホワイトニング
7400円
デュアルホワイトニング(スタンダードコース)
69000円
(プレミアムホワイトニング3回・ホームホワイトニング上下セット・ホームジェル6本・トリートメントペースト1本)
ホワイトニング期間
約1ヶ月半
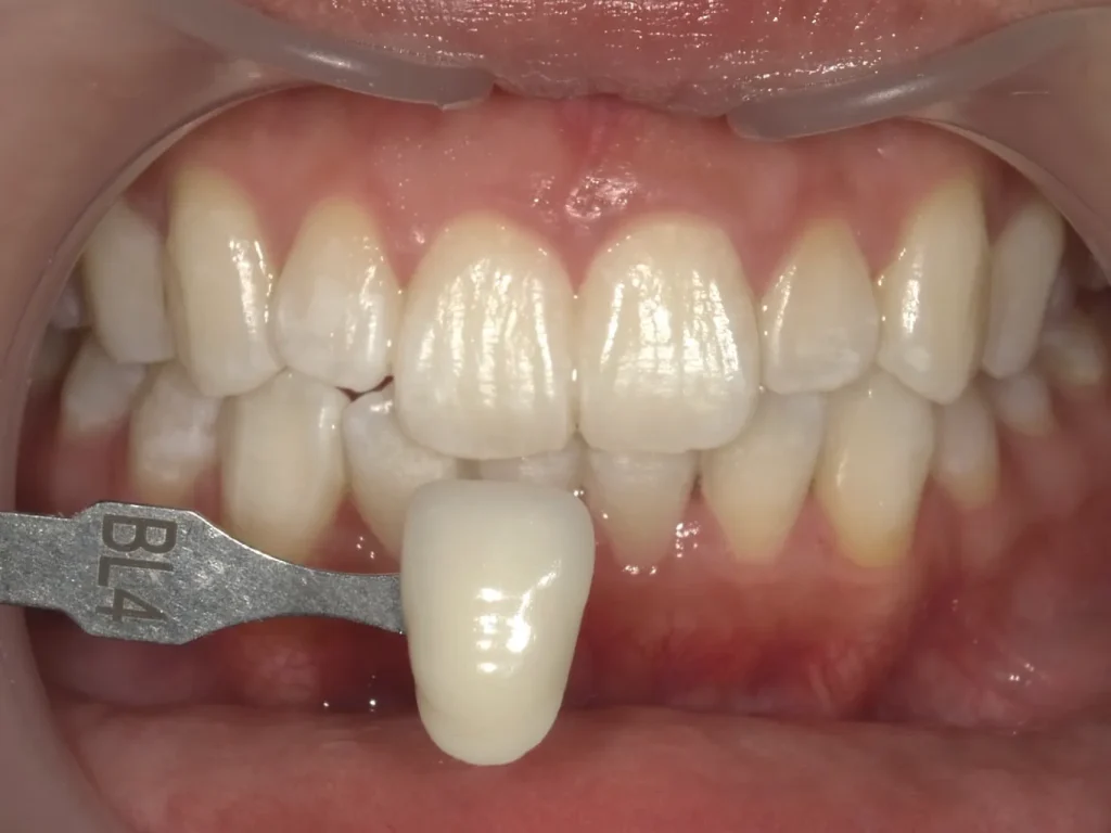
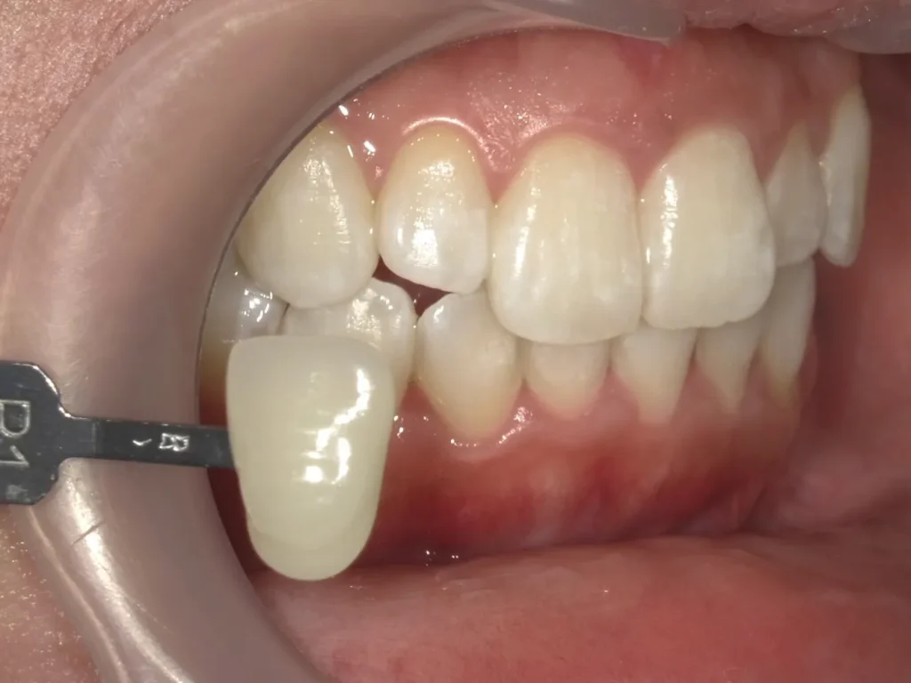
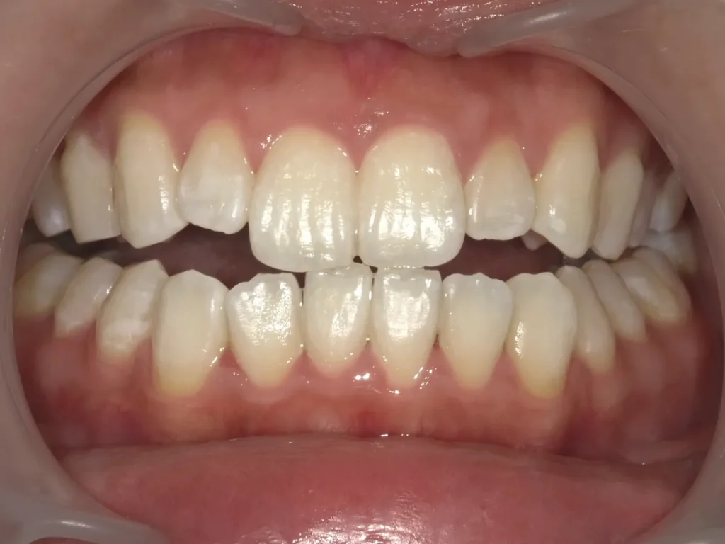
術前術後写真
歯科衛生士からのコメント
もともと知覚過敏の症状があるので、ホワイトニングでのシミを気にされていましたが、問題なく進めることができました。
ホームホワイトニングの最初は16%で様子を見ながらはじめました。全くシミを感じることなく22%でも1〜2時間は毎日できたそうです。
仕上がりはかなり満足していただき、お母様もご紹介したい!とのことです。
福岡天神でホワイトニング・クリーニングなら歯科医院のRefletへ
ホワイトニングサロンReflet歯科天神店【医療ホワイトニング&咬筋ボツリヌス】
〒810-0001 福岡市中央区天神2丁目2-12
T&Jビルディング9F
西鉄福岡(天神)駅より徒歩1分
地下鉄七隈線 天神南駅より徒歩3分
地下鉄空港線 天神駅より徒歩5分












