ホワイトニングサロンReflet福岡天神店の症例です。
主訴
50代女性
かかりつけの歯科医院さんでホワイトニングをお断りされたのですが、諦めきれすカウンセリングで来店。軽〜中程度のテトラサイクリン歯ですが過去の症例などをお見せしチャレンジすることになりました。自分の歯でできる限りの白さにしてみたいとのこと。
ホワイトニング施術内容
初回プレミアムホワイトニング 7400円
デュアルホワイトニング(プレミアムコース)
110000円
(プレミアムホワイトニング3回・ホームホワイトニング上下セット・ホームジェル12本・トリートメントペースト1本)
ホワイトニング期間
約2ヶ月半
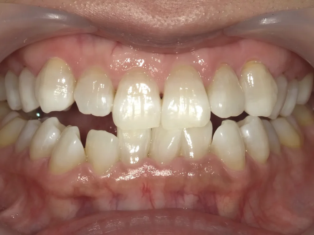
術前術後写真
歯科衛生士からのコメント
ホワイトニング期間中はほぼ毎日2時間のホームホワイトニング(最初の1本は16%でその後は22%使用)をしていただきました。
来るたびにどんどん白くなっていくのを実感していただき、楽しみながら進めることができました。
テトラサイクリン歯特有の縞模様は残りましたが口元の印象は大きく変わり、自信を持って笑えるようになったと喜ばれました。
福岡天神でホワイトニング・クリーニングなら歯科医院のRefletへ
ホワイトニングサロンReflet歯科天神店【医療ホワイトニング&咬筋ボツリヌス】
〒810-0001 福岡市中央区天神2丁目2-12
T&Jビルディング9F
西鉄福岡(天神)駅より徒歩1分
地下鉄七隈線 天神南駅より徒歩3分
地下鉄空港線 天神駅より徒歩5分












