ホワイトニングサロンReflet福岡天神店の症例です。
主訴
50代男性
お知り合いの方のご紹介で来店。
犬歯の黄ばみと上顎の左右1番のムラ感が特に気になるとのこと。
結構目立つくらい白くすることをご希望。
ホワイトニング施術内容
初回プレミアムホワイトニング・・・7400円
デュアルホワイトニング(スタンダードコース)・・・69000円
(プレミアムホワイトニング3回・ホームホワイトニング上下セット・ホームジェル6本・トリートメントペースト1本)
○コース終了後、プレミアムホワイトニングを一回追加
ホワイトニング期間
約1ヶ月半
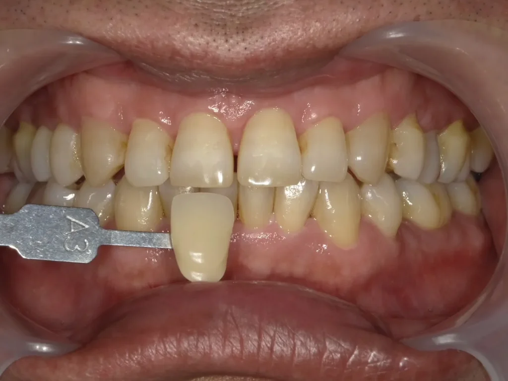
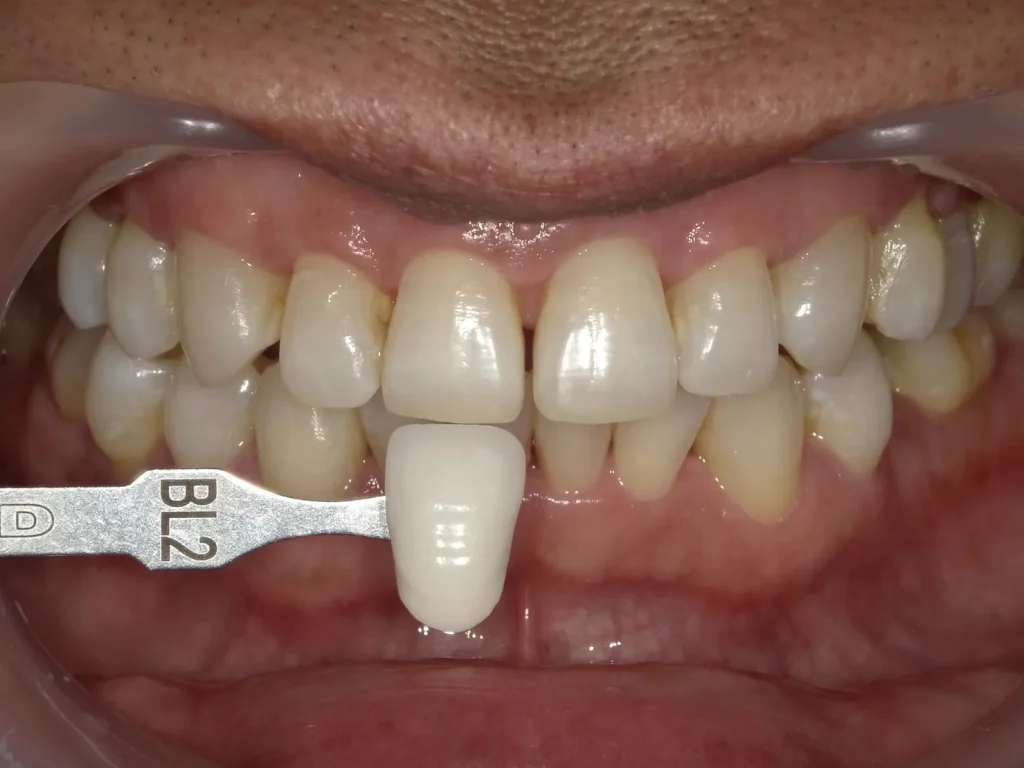
術前術後写真
歯科衛生士からのコメント
ホワイトニング終了後、もともと詰め物をしていた部分の色が目立ってきたので、併設の歯科の方で一部詰め替えをしてもらいました。
福岡天神でホワイトニング・クリーニングなら歯科医院のRefletへ
ホワイトニングサロンReflet歯科天神店【医療ホワイトニング&咬筋ボツリヌス】
〒810-0001 福岡市中央区天神2丁目2-12
T&Jビルディング9F
西鉄福岡(天神)駅より徒歩1分
地下鉄七隈線 天神南駅より徒歩3分
地下鉄空港線 天神駅より徒歩5分












