ホワイトニングサロンReflet福岡天神店の症例です。
主訴
50代女性
身内に歯の黄ばみを指摘されて、ホワイトニングを勧められた。
自分では今より少し白くなっただけでいいと思うけど、どうせするならできる限りやってみて、人から白いって言われるようになったら嬉しい。
メンテナンスは他院に通っているが、そこの歯科でもデュアルホワイトニングをおすすめされた。
ホワイトニング施術内容
初回プレミアムホワイトニング 7400円
デュアルホワイトニング(スタンダードコース)
69000円
(プレミアムホワイトニング3回・ホームホワイトニング上下セット・ホームジェル6本・トリートメントペースト1本)
ホワイトニング期間
約1ヶ月半
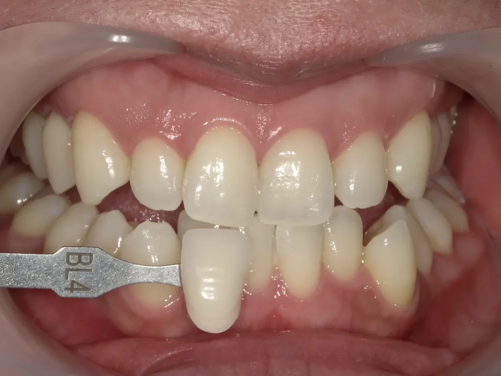
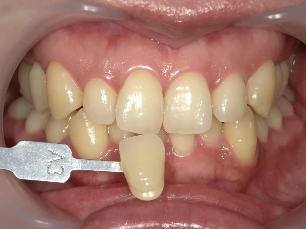
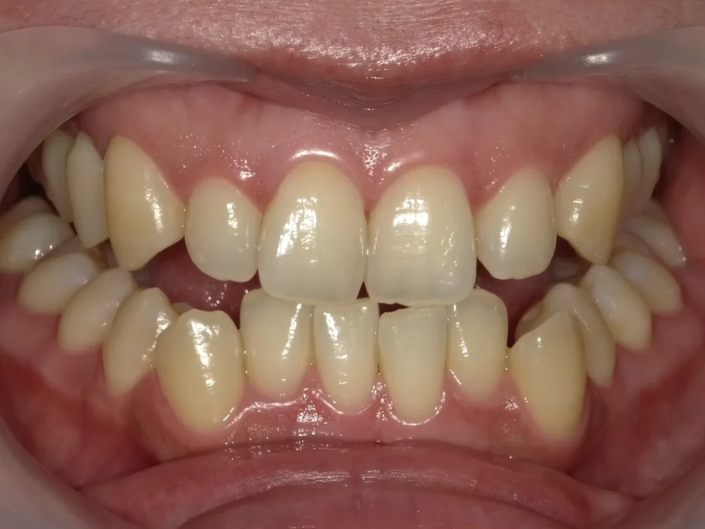
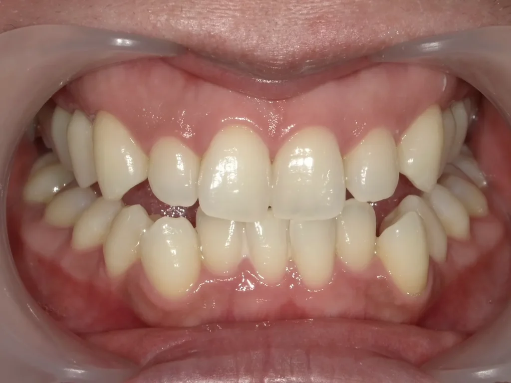
術前術後写真
歯科衛生士からのコメント
毎日ホームホワイトニングしているが、中に入れるジェルの量が少なく、最初は効果を感じにくかった。
2週目からは2日に一回のホームホワイトニングでジェルの量を増やして行いました。
福岡天神でホワイトニング・クリーニングなら歯科医院のRefletへ
ホワイトニングサロンReflet歯科天神店【医療ホワイトニング&咬筋ボツリヌス】
〒810-0001 福岡市中央区天神2丁目2-12
T&Jビルディング9F
西鉄福岡(天神)駅より徒歩1分
地下鉄七隈線 天神南駅より徒歩3分
地下鉄空港線 天神駅より徒歩5分












