ホワイトニングサロンReflet福岡天神店の症例です。
主訴
30代男性
営業職をしていて清潔感のある白さにしたいとのことで来院
ホワイトニング施術内容
初回プレミアムホワイトニング 7400円
デュアルホワイトニング(スタンダードコース)
69000円
(プレミアムホワイトニング3回・ホームホワイトニング上下セット・ホームジェル12本・トリートメントペースト1本)
ホワイトニング期間
約1ヶ月半
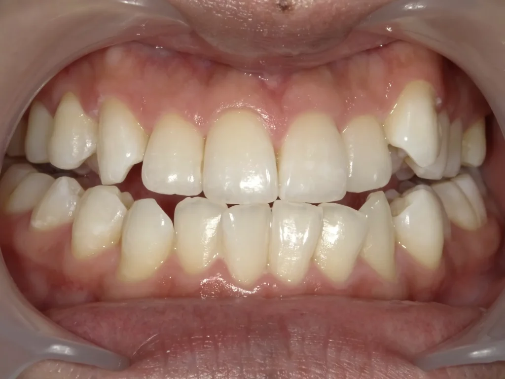
術前術後写真
歯科衛生士からのコメント
期間中、毎日2時間のホームホワイトニングをストイックにやっていました。最初の1ヶ月でかなり白さがUPしたのですが、最後まで続行しブリーチシェードになりました。最初時間を置き過ぎて、少しホームホワイトニングでの染みがあったようですが後はすぐに落ち着いたとのことです。
福岡天神でホワイトニング・クリーニングなら歯科医院のRefletへ
ホワイトニングサロンReflet歯科天神店【医療ホワイトニング&咬筋ボツリヌス】
〒810-0001 福岡市中央区天神2丁目2-12
T&Jビルディング9F
西鉄福岡(天神)駅より徒歩1分
地下鉄七隈線 天神南駅より徒歩3分
地下鉄空港線 天神駅より徒歩5分












