ホワイトニングサロンReflet福岡天神店の症例です。
主訴
20代女性
ホワイトスポットが気になっている。
自然な白さにしたい。
ホワイトニング施術内容
初回プレミアムホワイトニング 7400円
デュアルホワイトニング(スタンダードコース)
69000円
(プレミアムホワイトニング3回・ホームホワイトニング上下セット・ホームジェル6本・トリートメントペースト1本)
ホワイトニング期間
約1ヶ月半
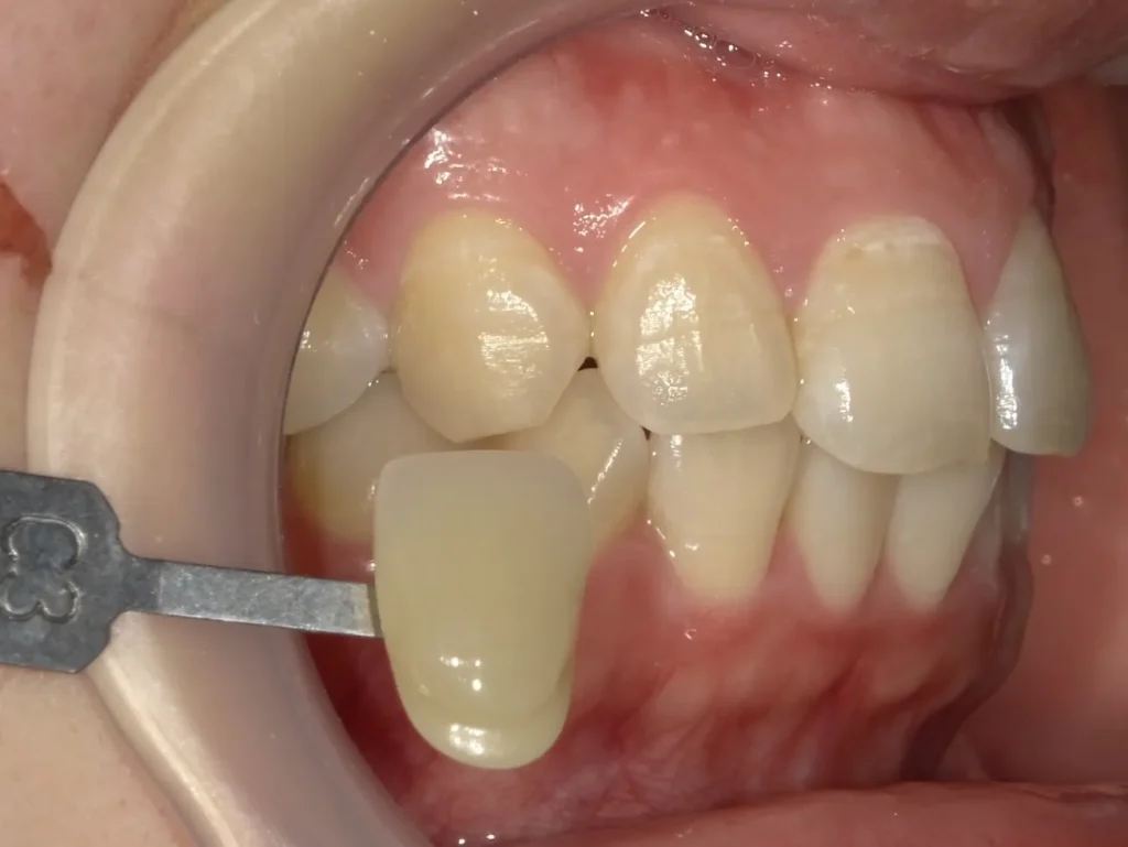
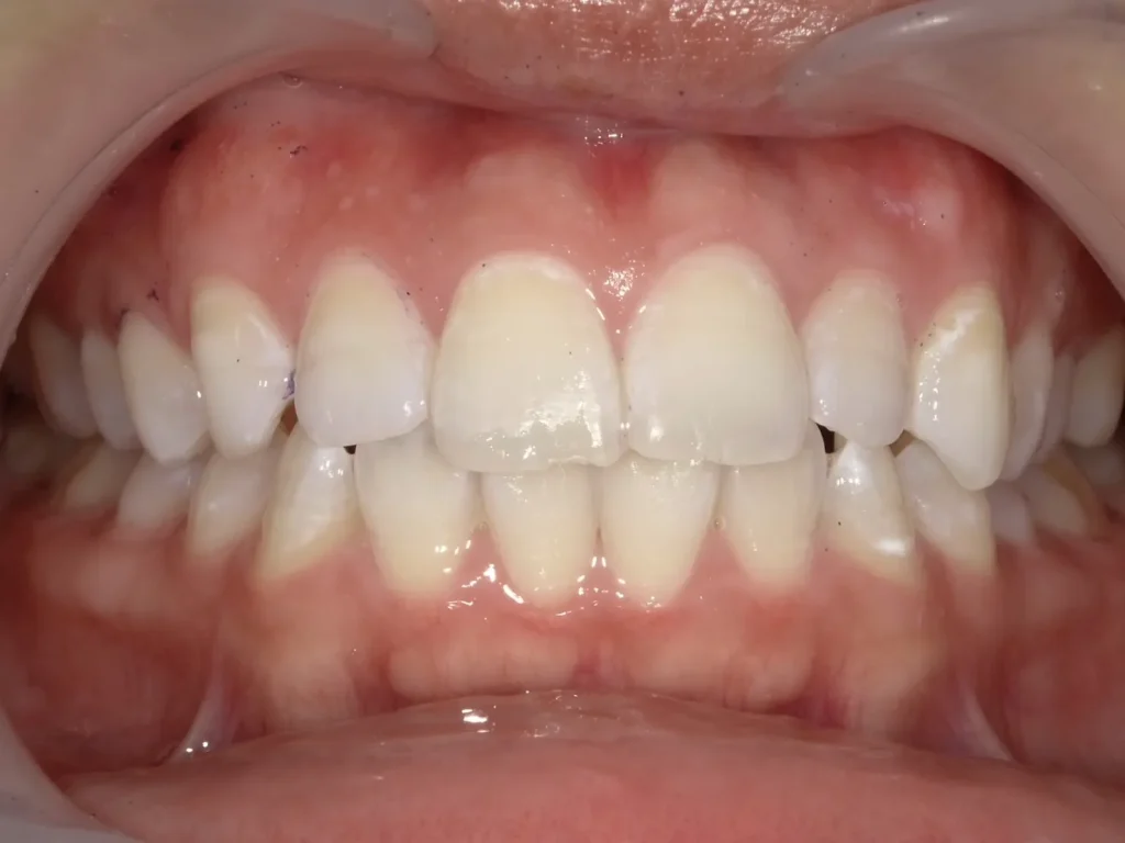
術前術後写真
歯科衛生士からのコメント
歯が白くなってくるとともに、ホワイトスポットが目立ちにくくなりました。
友達にも歯が白いねって言われるようになり、お友達や身内の方をたくさんご紹介いただきました。
定期的にタッチアップにきていただいたます。
福岡天神でホワイトニング・クリーニングなら歯科医院のRefletへ
ホワイトニングサロンReflet歯科天神店【医療ホワイトニング&咬筋ボツリヌス】
〒810-0001 福岡市中央区天神2丁目2-12
T&Jビルディング9F
西鉄福岡(天神)駅より徒歩1分
地下鉄七隈線 天神南駅より徒歩3分
地下鉄空港線 天神駅より徒歩5分












