ホワイトニングサロンReflet福岡天神店の症例です。
主訴
30代男性
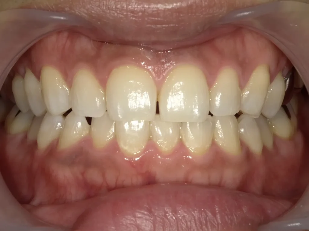
15年間くらい歯科を受診した事がないとのことで、歯石沈着及び着色も多い。
ブリーチシェードを目指して頑張りたいとのことでスタートしました。
ホワイトニング施術内容
初回プレミアムホワイトニング 7400円
デュアルホワイトニング(スタンダードコース)
69000円
(プレミアムホワイトニング3回・ホームホワイトニング上下セット・ホームジェル6本・トリートメントペースト1本)
ホワイトニング期間
約1ヶ月半
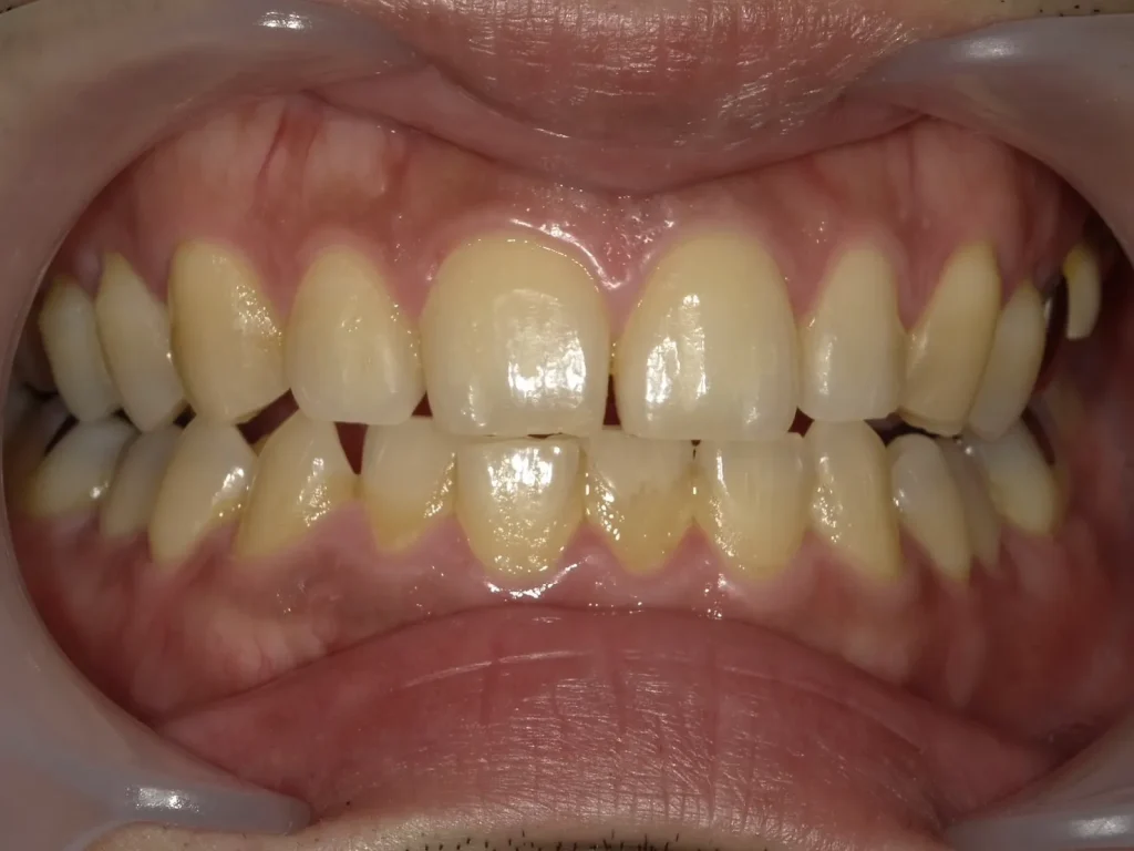
術前術後写真
歯科衛生士からのコメント
見えている範囲の歯石と着色は施術の最初に落としました。
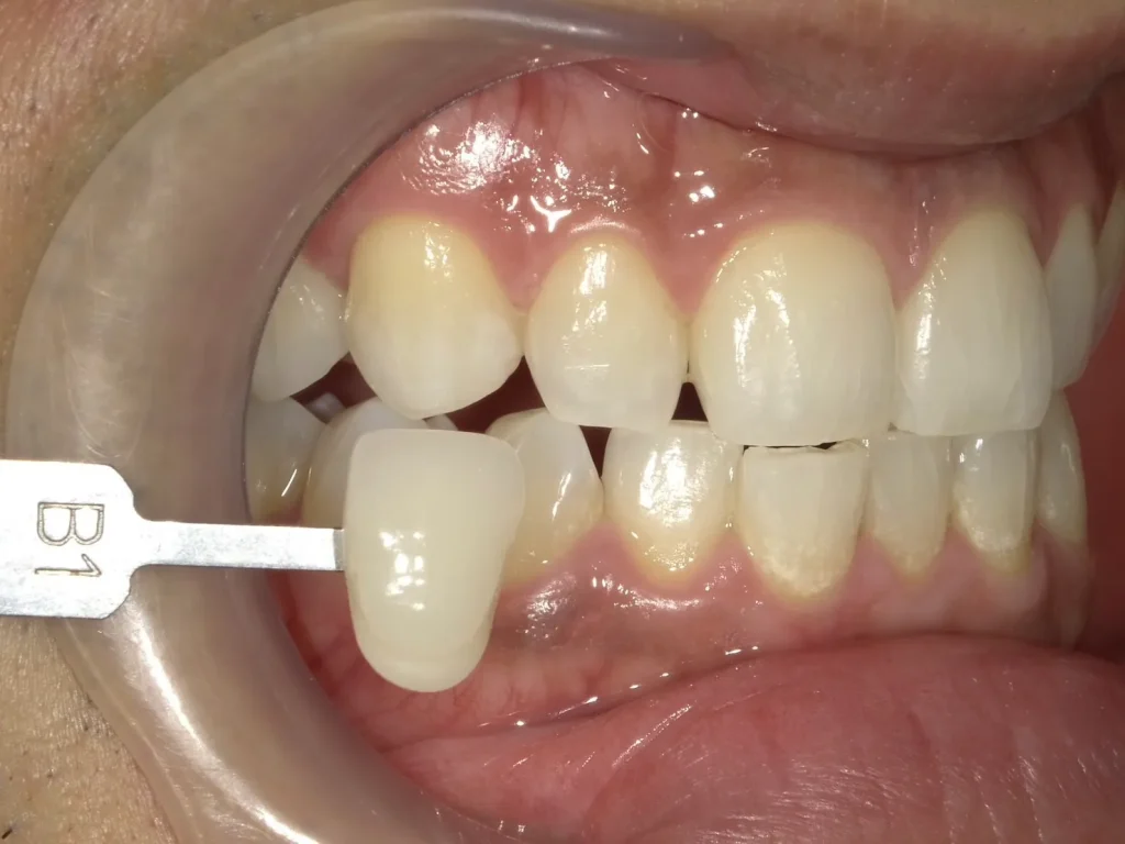
下の前歯は咬耗があるのでシミを心配されていましたが、1週間に5回程度もホームホワイトニングも無理なくできました。
オフィスホワイトニングは咬耗の部分に薬液が当たらないような処置をしてから行いましたので、全く問題なくできました。
福岡天神でホワイトニング・クリーニングなら歯科医院のRefletへ
ホワイトニングサロンReflet歯科天神店【医療ホワイトニング&咬筋ボツリヌス】
〒810-0001 福岡市中央区天神2丁目2-12
T&Jビルディング9F
西鉄福岡(天神)駅より徒歩1分
地下鉄七隈線 天神南駅より徒歩3分
地下鉄空港線 天神駅より徒歩5分












