ホワイトニングサロンReflet福岡天神店の症例です。
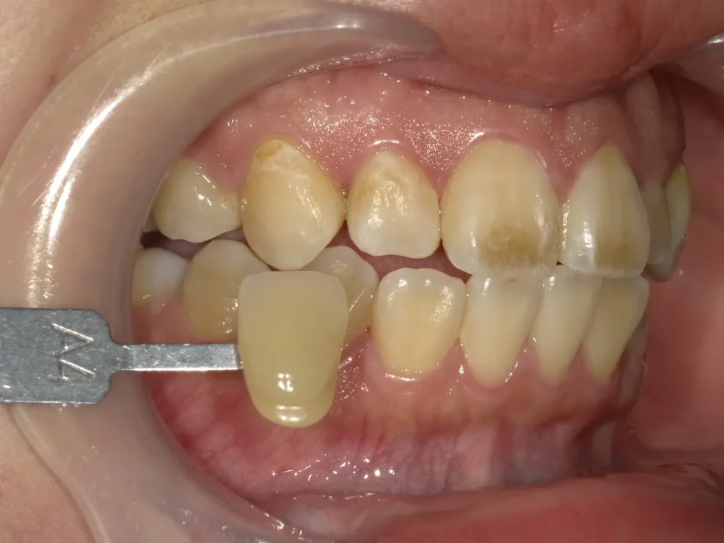
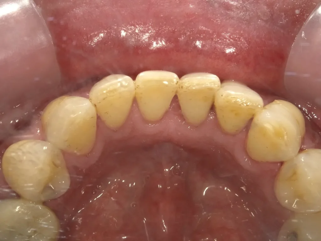
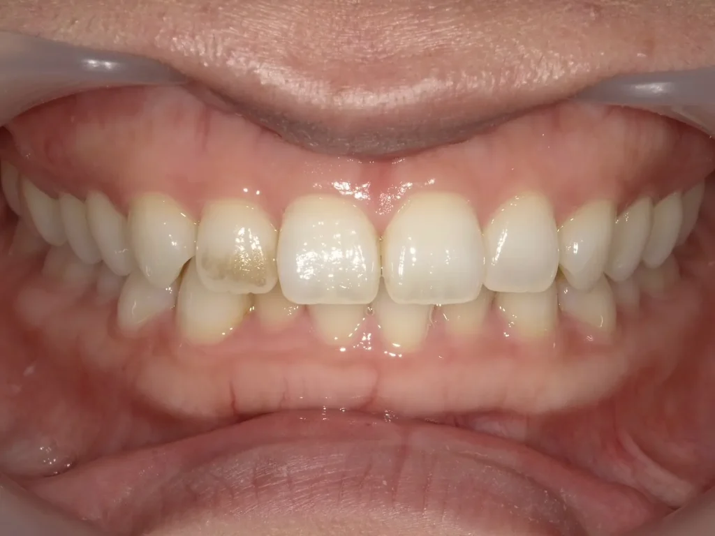
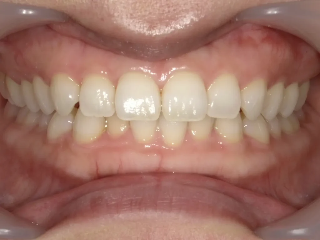
クリーニング症例 40代男性喫煙者
40代男性
長年タバコを吸っています。
歯科でクリーニングが初めての方です。
オーラルケアクリーニング
ベーシックケア
(45分)税込10,000円 1回施術
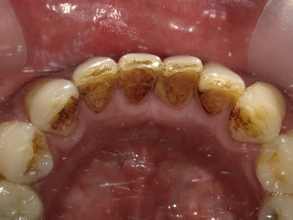
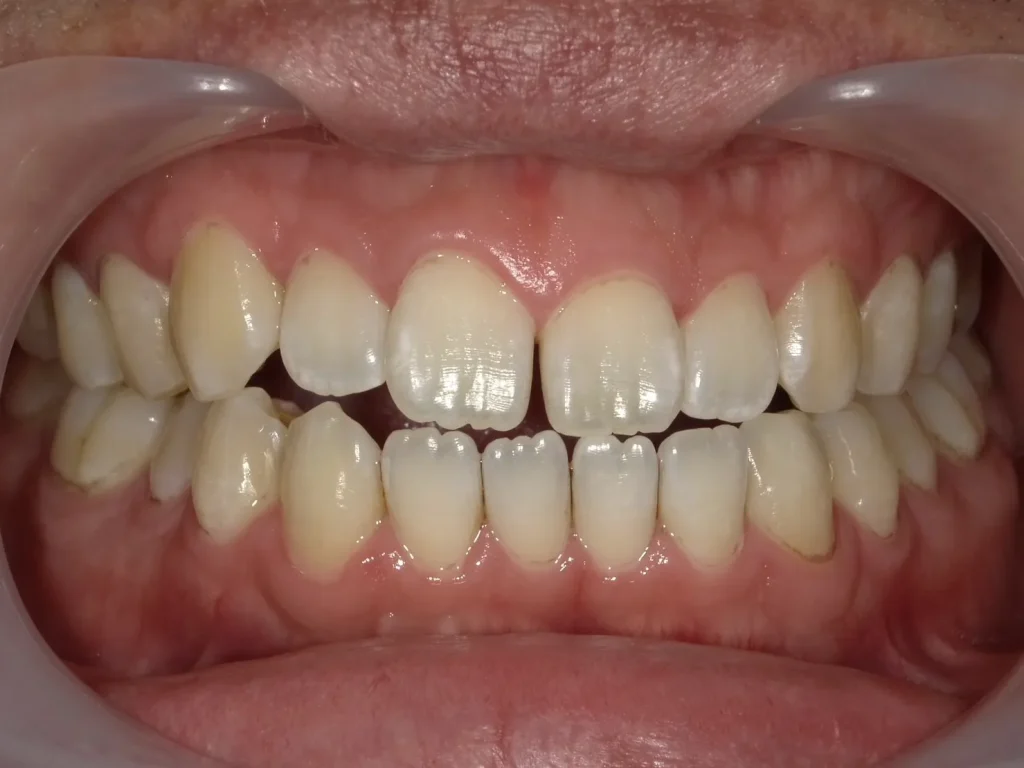
クリーニング症例 40代男性 着色しやすい
40代男性
現在タバコは吸っていません。
定期的に歯科で保険内のクリーニングはら受けていますが、1ヶ月もすると着色してくるとのこと。
オーラルケアクリーニング
ベーシックケア
(45分)税込10,000円 1回施術
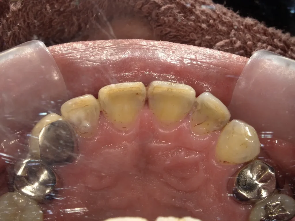
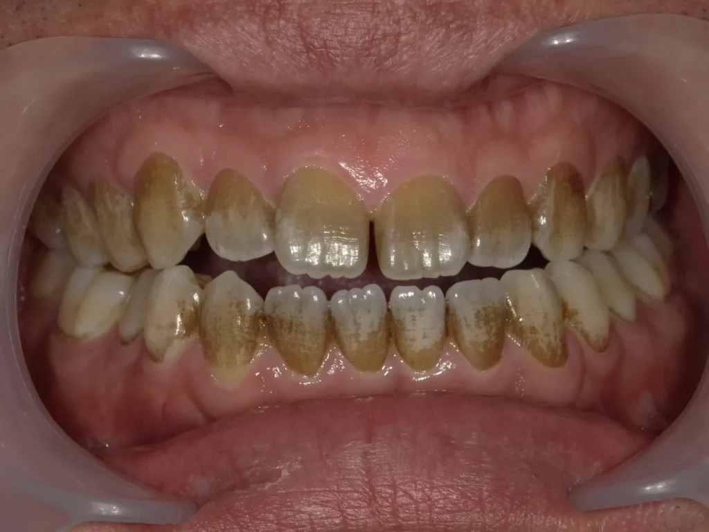
クリーニング症例 60代男性 ヘビースモーカー
60代男性
ベビースモーカー
オーラルケアクリーニング
ベーシックケア
(45分)税込10,000円 1回施術
クリーニング症例 30代女性
30代女性
右上2番だけいつも着色してくる。
オーラルケアクリーニング
ベーシックケア
(45分)税込10,000円 1回施術
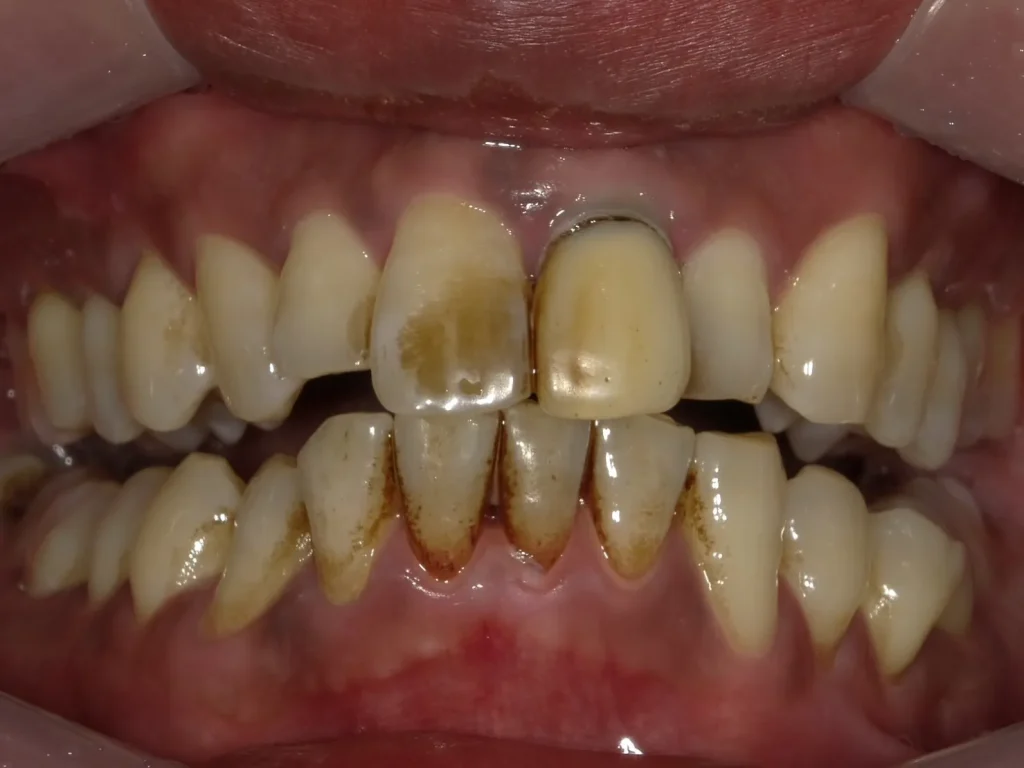
クリーニング症例 50代男性 ヘビースモーカー
50代男性
ベビースモーカー
上顎はブリッジが入っている。
下の天然歯に着色してきやすい。
オーラルケアクリーニング
ベーシックケア
(45分)税込10,000円 1回施術
クリーニング症例 30代男性 コーヒーの着色
30代男性
歯の表面全体に着色がある。
コーヒーが好きでよく飲んでいる。
オーラルケアクリーニング
ベーシックケア
(45分)税込10,000円 1回施術
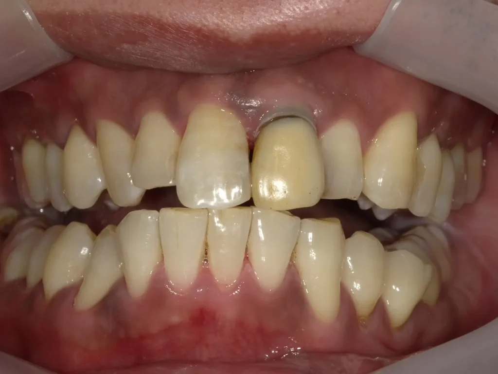
クリーニング&ホワイトニング症例
クリーニング後に、ホワイトニングスタンダードコースをされた症例
・オーラルケアクリーニング
ベーシックケア
(45分)税込10,000円 1回
・スタンダードコース(1 Month)税込69,000円
プレミアムホワイトニング 3回分
ホームホワイトニング上下トレー
ホームジェル 5日分×6本
トリートメントペースト 1本
福岡天神でホワイトニング・クリーニングなら歯科医院のRefletへ
ホワイトニングサロンReflet歯科天神店【医療ホワイトニング&咬筋ボツリヌス】
〒810-0001 福岡市中央区天神2丁目2-12
T&Jビルディング9F
西鉄福岡(天神)駅より徒歩1分
地下鉄七隈線 天神南駅より徒歩3分
地下鉄空港線 天神駅より徒歩5分












