ホワイトニングサロンReflet福岡天神店の症例です。
主訴
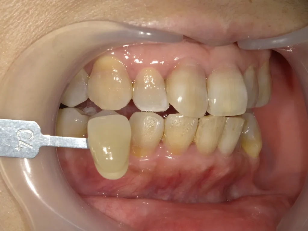
50代女性 テトラサイクリン歯
昔から周りの人より歯の色が暗くてコンプレックスでだった。
できる限り限界まで白くしてみたい!
ホワイトニング施術内容
初回プレミアムホワイトニング 7400円
デュアルホワイトニング(エクセレントコース)
110,000円
(プレミアムホワイトニング5回・ホームホワイトニング上下セット・ホームジェル12本・トリートメントペースト1本)
ホワイトニング期間
約2ヶ月半
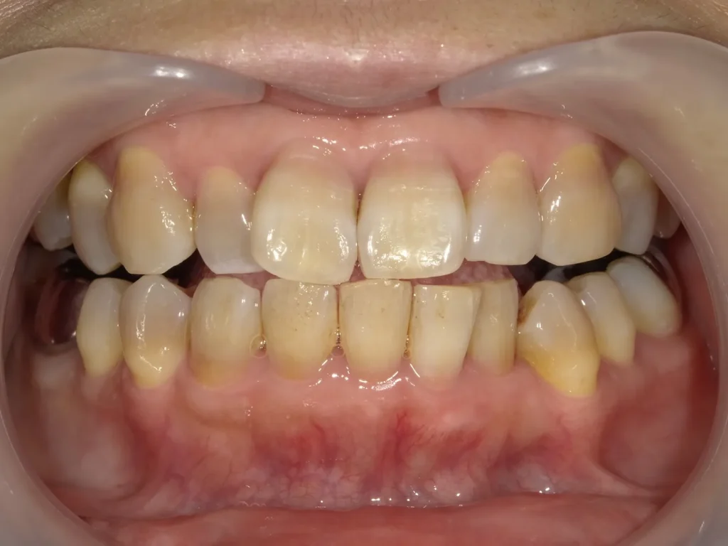
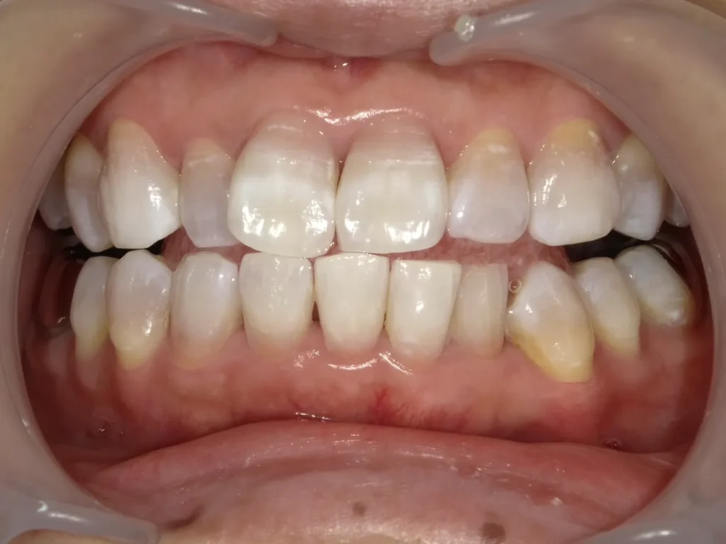
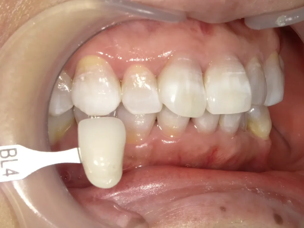
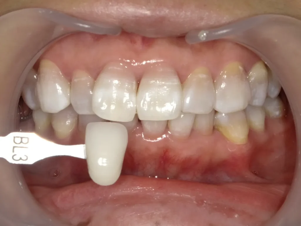
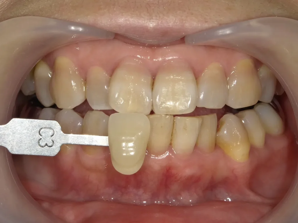
術前術後写真
歯科衛生士からのコメント
もともとストイックな性格の方なので、期間中は毎日2時間のホームホワイトニングを欠かさず行っていただきました。
みるみる白くなっていくことに感動していただき、途中経過も楽しみに来院されていました。
鏡を見るのが楽しくなったとすごく喜んでいただきました。
施術後2年経ちましたが、その間にマウスピース矯正もして、今は3ヶ月に一度のタッチアップで来院されて白さをキープしています。
福岡天神でホワイトニング・クリーニングなら歯科医院のRefletへ
ホワイトニングサロンReflet歯科天神店【医療ホワイトニング&咬筋ボツリヌス】
〒810-0001 福岡市中央区天神2丁目2-12
T&Jビルディング9F
西鉄福岡(天神)駅より徒歩1分
地下鉄七隈線 天神南駅より徒歩3分
地下鉄空港線 天神駅より徒歩5分












