ホワイトニングサロンReflet福岡天神店の症例です。
主訴
50代男性
せめて人並みの歯の色にしたい。
もし白くできるなら、もう少し上を目ざしたい気持ちもあるのでがんばりたい。
ホワイトニング施術内容
初回プレミアムホワイトニング 7400円
デュアルホワイトニング(プレミアムコース)
110,000円
(プレミアムホワイトニング5回・ホームホワイトニング上下セット・ホームジェル12本・トリートメントペースト1本)
ホワイトニング期間
約2ヶ月半
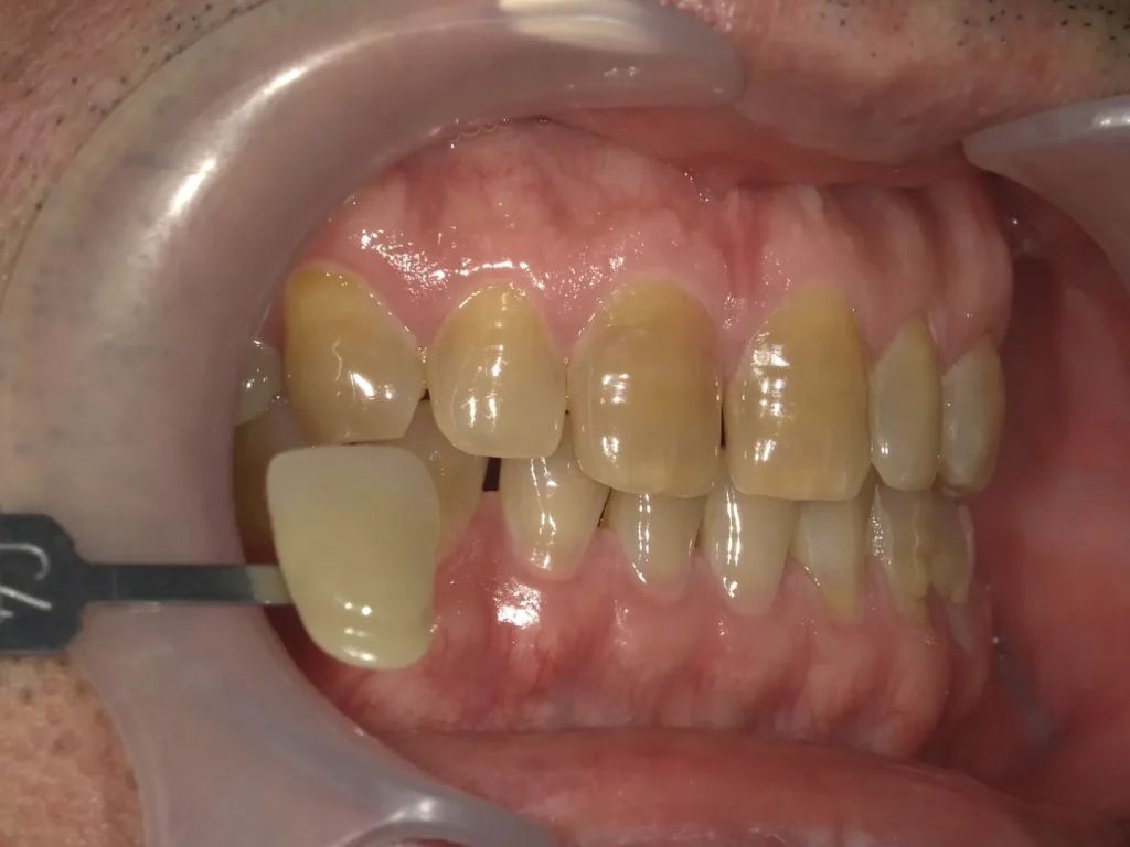
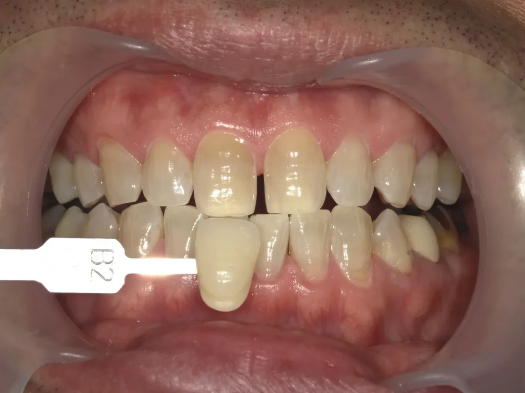
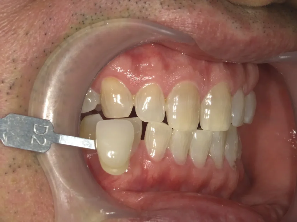
術前術後写真
歯科衛生士からのコメント
仕事の帰りが遅く、最初は一日30分くらいずつのホームホワイトニングでしたが、どんどん白くなるのが楽しくなり、途中から1.5時間くらいはがんばりました。
ホームホワイトニングの時間を延ばした直後から、少し違和感とシミを感じたそうですが、気になる程でもなかったとのことなので、そのまま継続してしてもらいました。
福岡天神でホワイトニング・クリーニングなら歯科医院のRefletへ
ホワイトニングサロンReflet歯科天神店【医療ホワイトニング&咬筋ボツリヌス】
〒810-0001 福岡市中央区天神2丁目2-12
T&Jビルディング9F
西鉄福岡(天神)駅より徒歩1分
地下鉄七隈線 天神南駅より徒歩3分
地下鉄空港線 天神駅より徒歩5分












