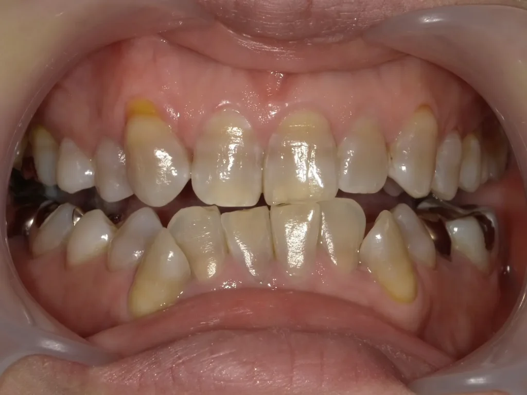
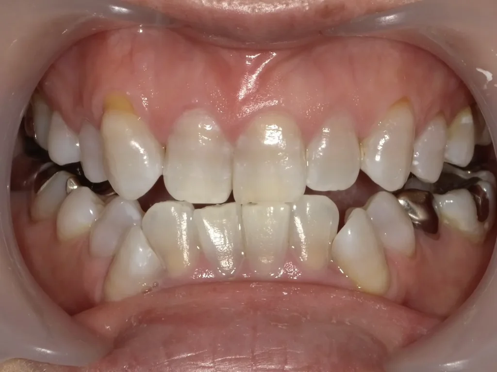
ホワイトニングサロンReflet福岡天神店の症例です。
主訴
50代女性 テトラサイクリン歯
人前に出る仕事なので歯を綺麗にしたい!
ラミネートベニアを検討しているが、その前にホワイトニングでどのくらい白くできるかしてみたい。
ホワイトニング施術内容
初回プレミアムホワイトニング 7400円
デュアルホワイトニング(プレミアムコース)
110,000円
(プレミアムホワイトニング5回・ホームホワイトニング上下セット・ホームジェル12本・トリートメントペースト1本)
ホワイトニング期間
約2ヶ月半
術前術後写真
歯科衛生士からのコメント
最初の1ヶ月くらいはホームホワイトニング はほぼ毎日できていたようです。途中からは時々サボり気味でしたからなんとか続けてがんばりました。
身内の方に気づいてもらい白くなったと褒められてから、モチベーションがすごく上がりました。
福岡天神でホワイトニング・クリーニングなら歯科医院のRefletへ
ホワイトニングサロンReflet歯科天神店【医療ホワイトニング&咬筋ボツリヌス】
〒810-0001 福岡市中央区天神2丁目2-12
T&Jビルディング9F
西鉄福岡(天神)駅より徒歩1分
地下鉄七隈線 天神南駅より徒歩3分
地下鉄空港線 天神駅より徒歩5分












