ホワイトニングサロンReflet福岡天神店の症例です。
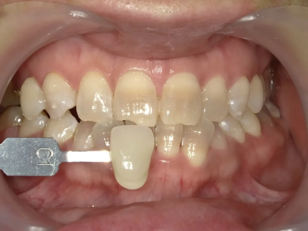
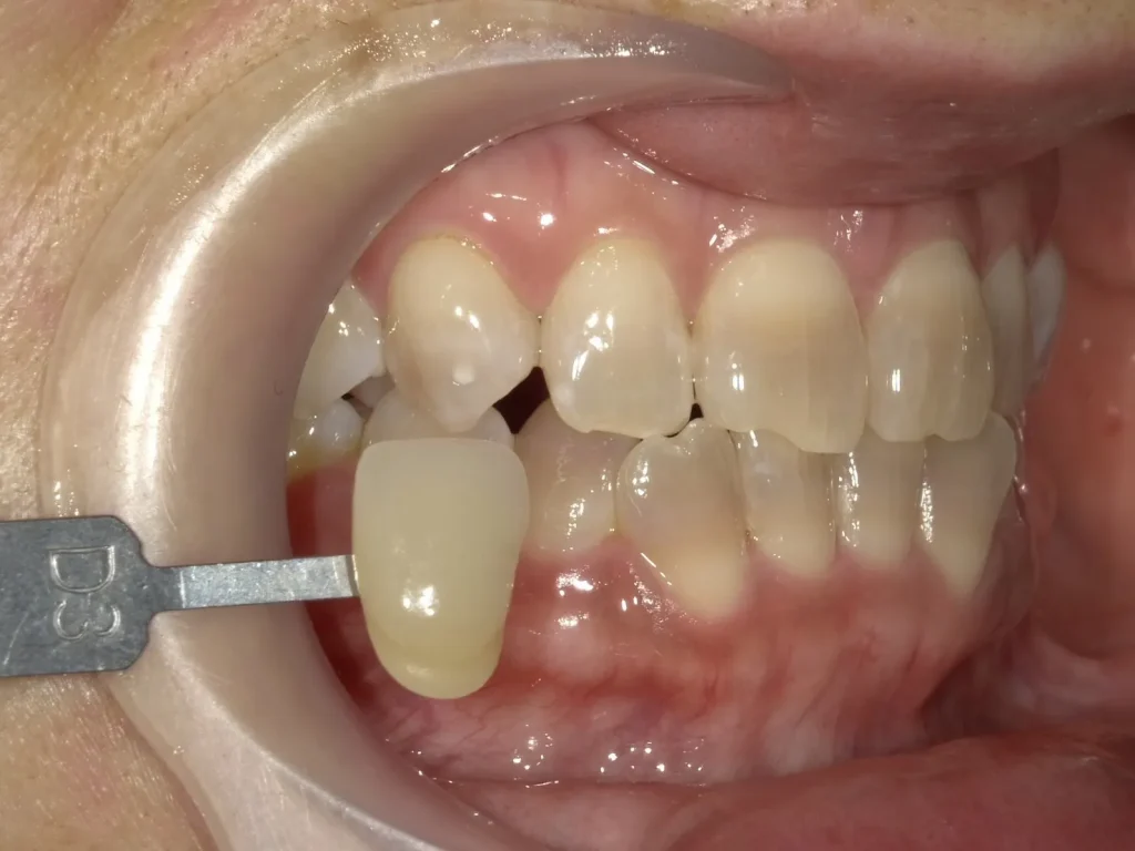
テトラサイクリン歯の症例 主訴
テトラサイクリン歯で昔から周りの人より歯の色が暗いのが悩みでした。
野外でのスポーツをしてることもあり、どんどん唇のラインに沿って変色がひどくなってきた。
(テトラサイクリン歯は紫外線にあたると変色してきます)
平均的な明るさになればいいので、ホワイトニングを始めてみたい!
テトラサイクリン歯のホワイトニング施術内容
初回プレミアムホワイトニング 7400円
デュアルホワイトニング(プレミアムコース)
110000円
(プレミアムホワイトニング5回・ホームホワイトニング上下セット・ホームジェル12本・トリートメントペースト1本)
コース終了後、追加でプレミアムホワイトニング1回とジェル2本購入されました。
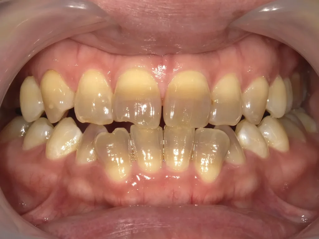
テトラサイクリン歯のホワイトニング期間
約3ヶ月
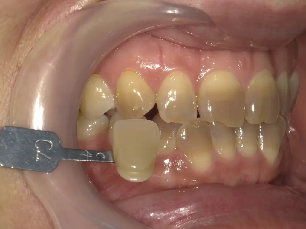
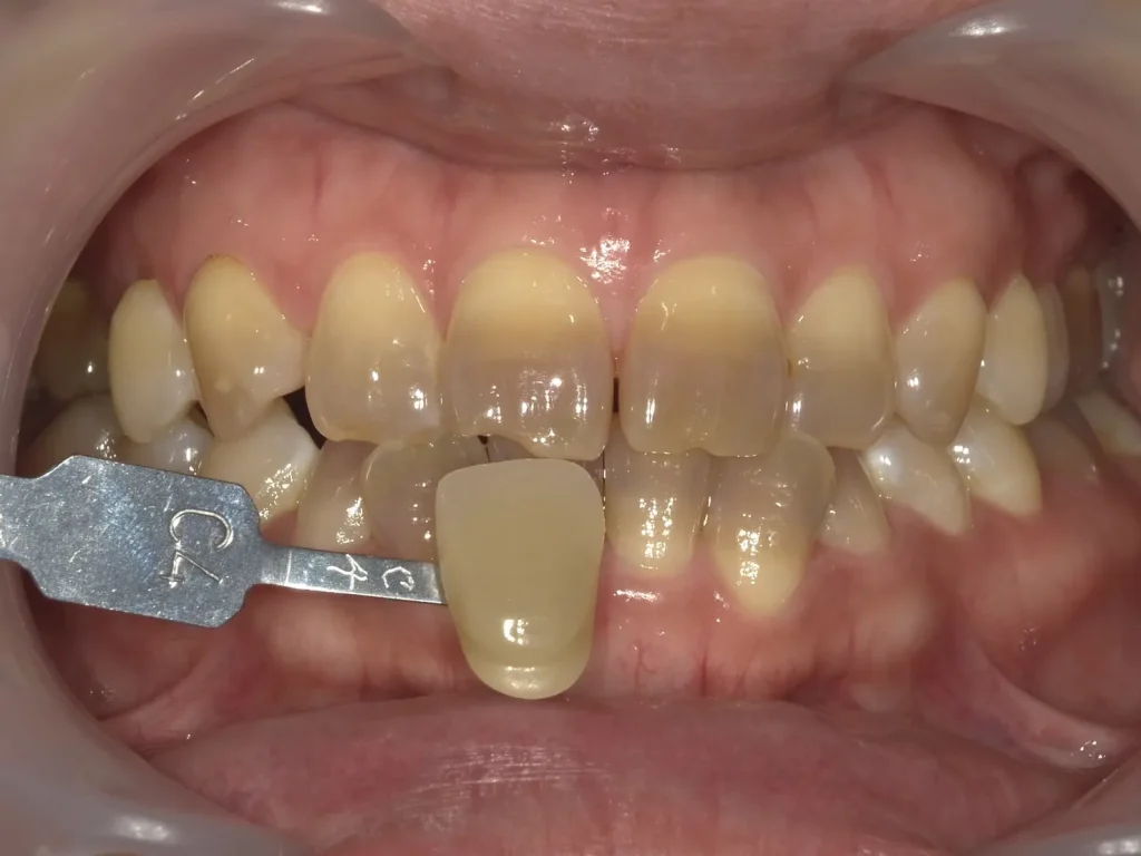
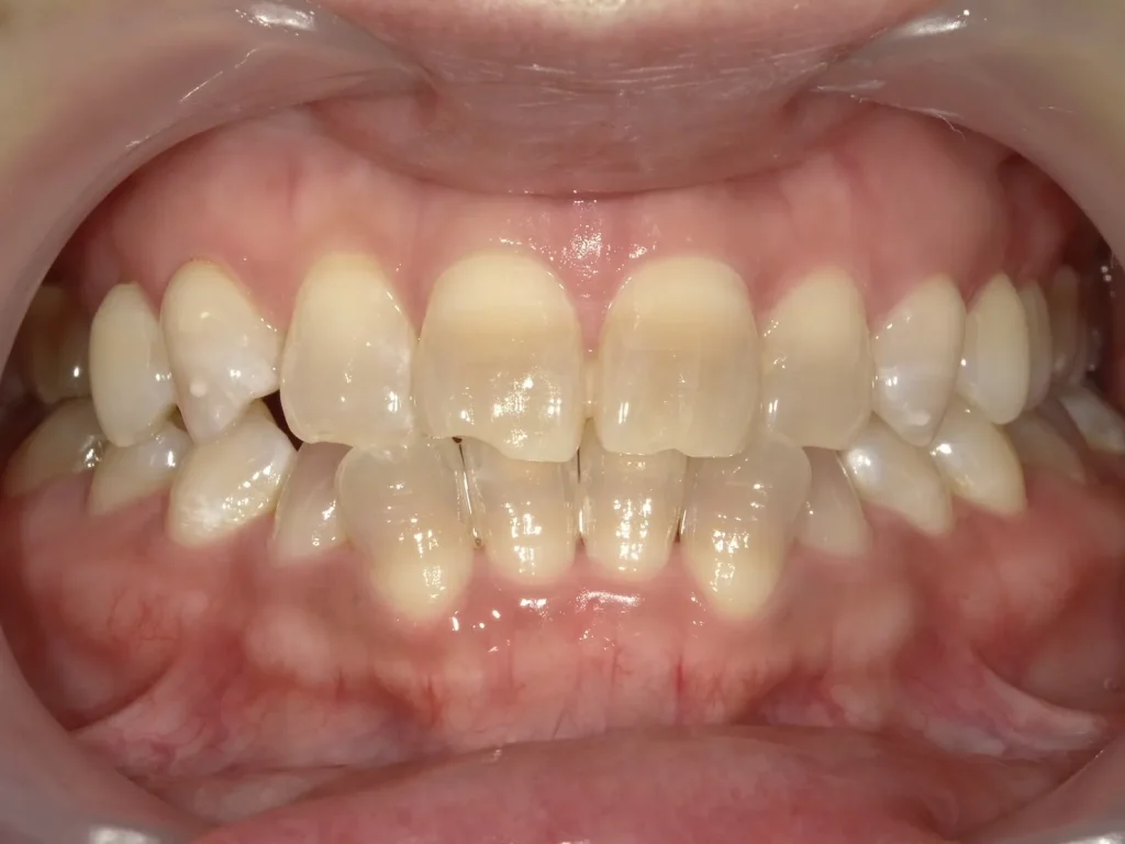
テトラサイクリン歯の術前術後写真
歯科衛生士からのコメント
テトラサイクリン歯ということで、最初は平均値くらいを目標に始めましたが、どんどん白くなるにつれてもう少し白くしたいという気持ちになり、コース終了後に追加でしばらく続けました。
期間中はほぼ毎日ホームホワイトニング もできていたそうです。テトラサイクリン歯でも諦めずやってみて良かった!とこのとです。
福岡天神でホワイトニング・クリーニングなら歯科医院のRefletへ
ホワイトニングサロンReflet歯科天神店【医療ホワイトニング&咬筋ボツリヌス】
〒810-0001 福岡市中央区天神2丁目2-12
T&Jビルディング9F
西鉄福岡(天神)駅より徒歩1分
地下鉄七隈線 天神南駅より徒歩3分
地下鉄空港線 天神駅より徒歩5分












