ホワイトニングサロンReflet福岡天神店の症例です。
主訴
30代男性
長年喫煙している結構ベビースモーカーで、歯の黄ばみもる気になるし歯茎の黒ずみも気になるのでホワイトニングとピーリングを両方したい。
ホワイトニング施術内容
ホワイトニング
初回プレミアムホワイトニング 7400円
デュアルホワイトニング(スタンダードコース)
69000円
(プレミアムホワイトニング3回・ホームホワイトニング上下セット・ホームジェル6本・トリート
歯茎ピーリング(一回)・・・¥12,000
ホワイトニング期間
ホワイトニングは約1ヶ月半
その後ピーリングをして約1ヶ月後に見比べています。
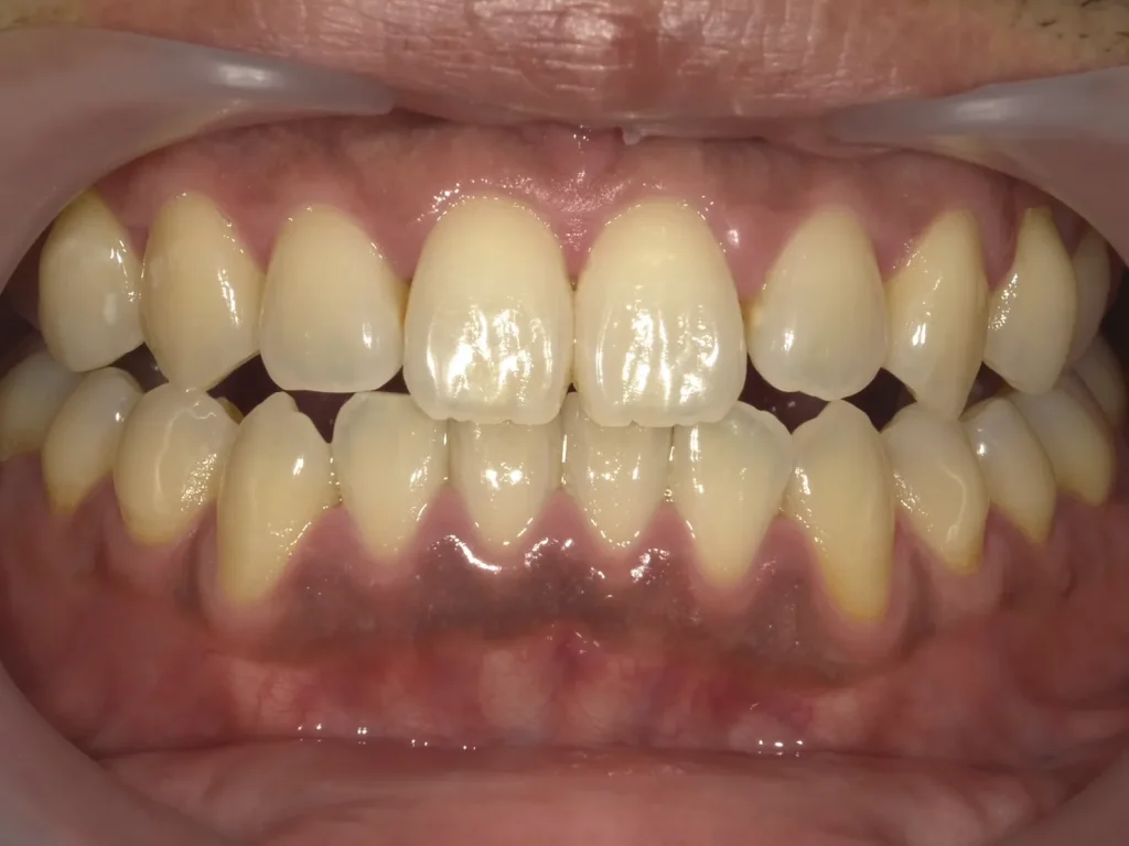
術前術後写真
歯科衛生士からのコメント
先にホワイトニングをして歯を白くしてからピーリングを行いました。
口元の清潔感がかなりUPしました。
もともと下の前歯に知覚過敏があったのですが、ホワイトニングで染みることはなく順調に行えました。
周りの人に歯が白くなって雰囲気が変わったと褒められるまでになりました。
福岡天神でホワイトニング・クリーニングなら歯科医院のRefletへ
ホワイトニングサロンReflet歯科天神店【医療ホワイトニング&咬筋ボツリヌス】
〒810-0001 福岡市中央区天神2丁目2-12
T&Jビルディング9F
西鉄福岡(天神)駅より徒歩1分
地下鉄七隈線 天神南駅より徒歩3分
地下鉄空港線 天神駅より徒歩5分












