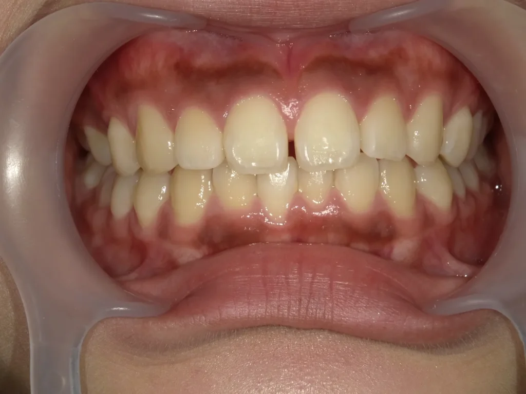
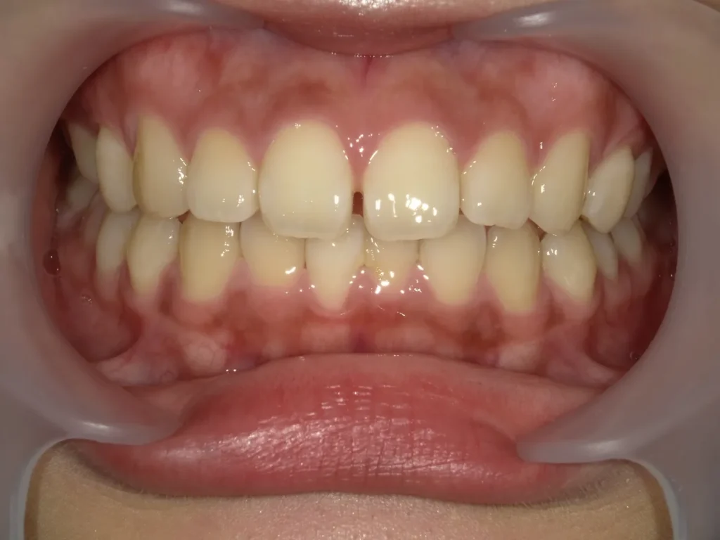
ホワイトニングサロンReflet福岡天神店の症例です。
主訴
10代女性(19才)
喫煙歴はありませんが、3〜4年前くらいから歯茎の黒ずみが気になるようになった。
歯茎ピーリング施術内容
歯茎ピーリング(一回)・・・¥12,000
歯茎ピーリング期間
3週間後に見比べています
術前術後写真
歯科衛生士からのコメント
2日くらいで皮が剥げてきて1週間くらいは赤みを帯びた感じがあったが2週間くらいで綺麗になってきた。
術後直後からほとんど痛みはなかった。
福岡天神でホワイトニング・クリーニングなら歯科医院のRefletへ
ホワイトニングサロンReflet歯科天神店【医療ホワイトニング&咬筋ボツリヌス】
〒810-0001 福岡市中央区天神2丁目2-12
T&Jビルディング9F
西鉄福岡(天神)駅より徒歩1分
地下鉄七隈線 天神南駅より徒歩3分
地下鉄空港線 天神駅より徒歩5分












