ホワイトニングサロンReflet福岡天神店の症例です。
主訴
40代女性
数年前まで喫煙していたが今はやめている。
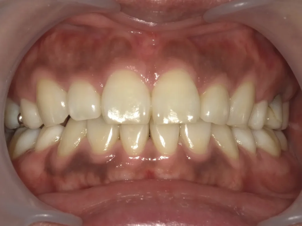
歯茎の色をピンク色にしたい!
歯茎ピーリング施術内容
歯茎ピーリング(一回)・・・¥12,000
歯茎ピーリング期間
1ヶ月後に見比べています
術前術後写真
歯科衛生士からのコメント
施術後、1〜2日で皮が剥けてきて口内炎ができた時のような痛みがあったが、1週間ほどで落ち着いた。
2週間くらいで歯茎の色は綺麗になった。
福岡天神でホワイトニング・クリーニングなら歯科医院のRefletへ
ホワイトニングサロンReflet歯科天神店【医療ホワイトニング&咬筋ボツリヌス】
〒810-0001 福岡市中央区天神2丁目2-12
T&Jビルディング9F
西鉄福岡(天神)駅より徒歩1分
地下鉄七隈線 天神南駅より徒歩3分
地下鉄空港線 天神駅より徒歩5分












