ホワイトニングサロンReflet福岡天神店の症例です。
主訴
20代男性
就活前に来院
自然な白さにしたいとのことでホワイトニングスタートしました。
ホワイトニング施術内容
初回プレミアムホワイトニング 7400円
デュアルホワイトニング(スタンダードコース)
69000円
(プレミアムホワイトニング3回・ホームホワイトニング上下セット・ホームジェル6本・トリートメントペースト1本)
ホワイトニング期間
約1ヶ月半
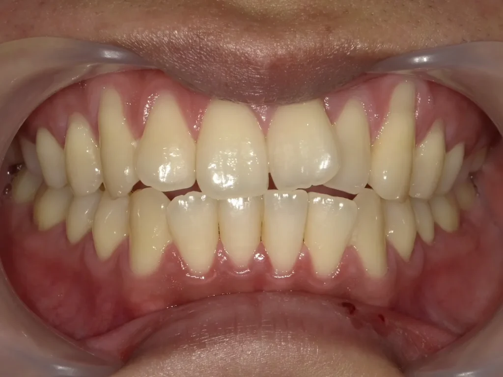
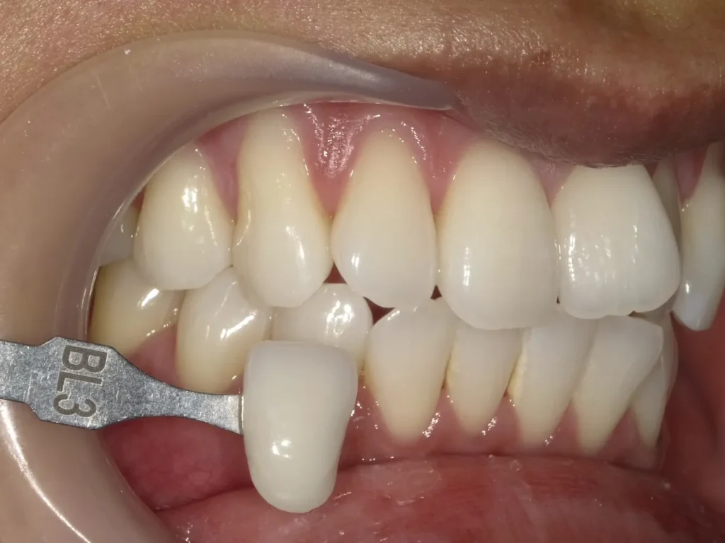
術前術後写真
歯科衛生士からのコメント
コース中は毎日2時間のホームホワイトニング をされました。(最初1本は16%で残りは22%のジェル)
やり始めね2週間目には、友達に歯が白いね!って言われるようになりモチベーションも上がったようです。
就職後も遠方になりましたが、3ヶ月から半年に一度はタッチアップホワイトニングで来院されています。
福岡天神でホワイトニング・クリーニングなら歯科医院のRefletへ
ホワイトニングサロンReflet歯科天神店【医療ホワイトニング&咬筋ボツリヌス】
〒810-0001 福岡市中央区天神2丁目2-12
T&Jビルディング9F
西鉄福岡(天神)駅より徒歩1分
地下鉄七隈線 天神南駅より徒歩3分
地下鉄空港線 天神駅より徒歩5分












