ホワイトニングサロンReflet福岡天神店の症例です。
主訴
30代女性
もともといろんな美容に興味がある方。矯正もしたし、ホワイトニングも以前から興味があった!
ホワイトニング施術内容
初回プレミアムホワイトニング 7400円
デュアルホワイトニング(スタンダードコース)
69000円
(プレミアムホワイトニング3回・ホームホワイトニング上下セット・ホームジェル6本・トリートメントペースト1本)
ホワイトニング期間
約1ヶ月半
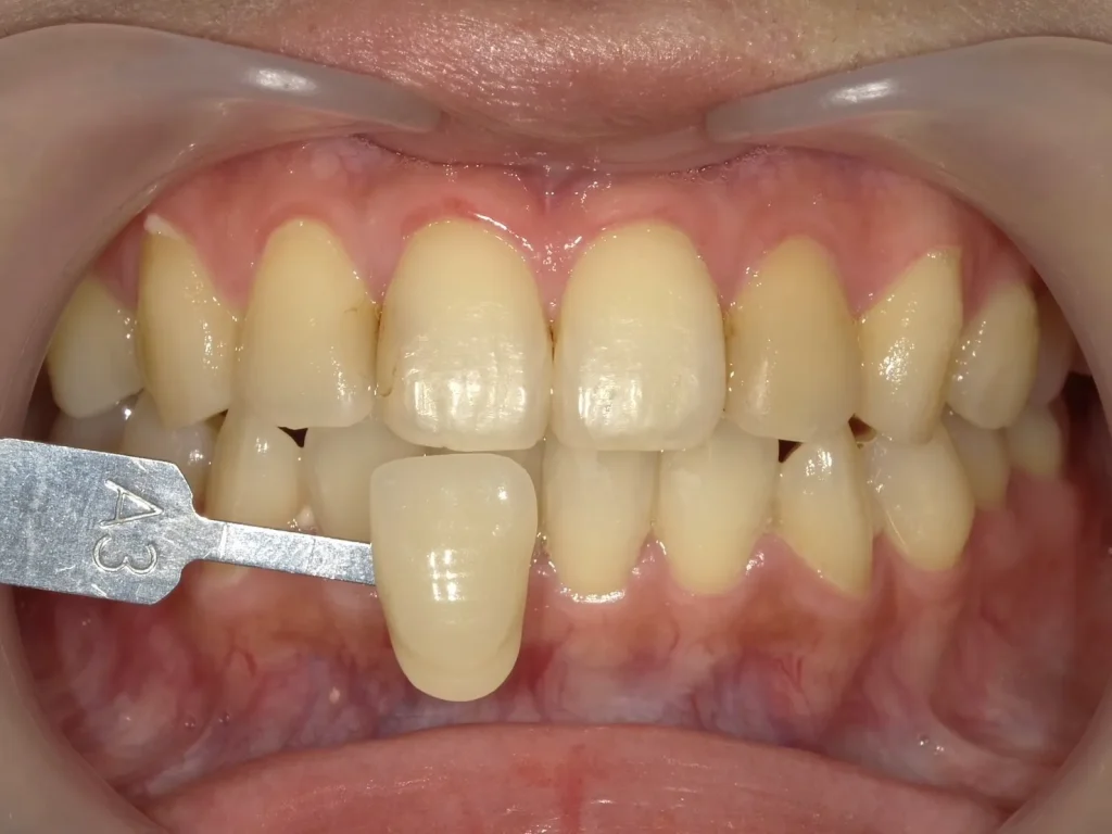
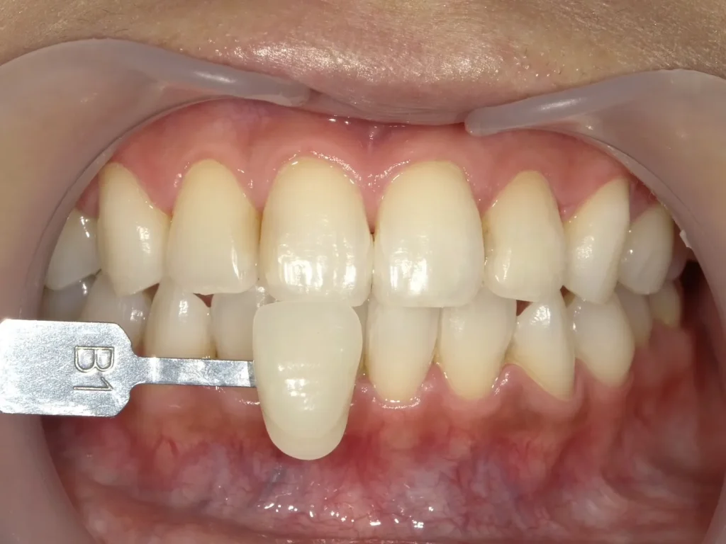
術前術後写真
歯科衛生士からのコメント
左上1番の失活歯との色のコントラストも気にいっていましたが、ほとんどわからなくなるレベルで白くなりました。
終了後に、もともと歯と歯の間の隣接の詰め物のやりかえをお勧めしました。
福岡天神でホワイトニング・クリーニングなら歯科医院のRefletへ
ホワイトニングサロンReflet歯科天神店【医療ホワイトニング&咬筋ボツリヌス】
〒810-0001 福岡市中央区天神2丁目2-12
T&Jビルディング9F
西鉄福岡(天神)駅より徒歩1分
地下鉄七隈線 天神南駅より徒歩3分
地下鉄空港線 天神駅より徒歩5分












