ホワイトニングサロンReflet福岡天神店の症例です。
主訴
30代女性
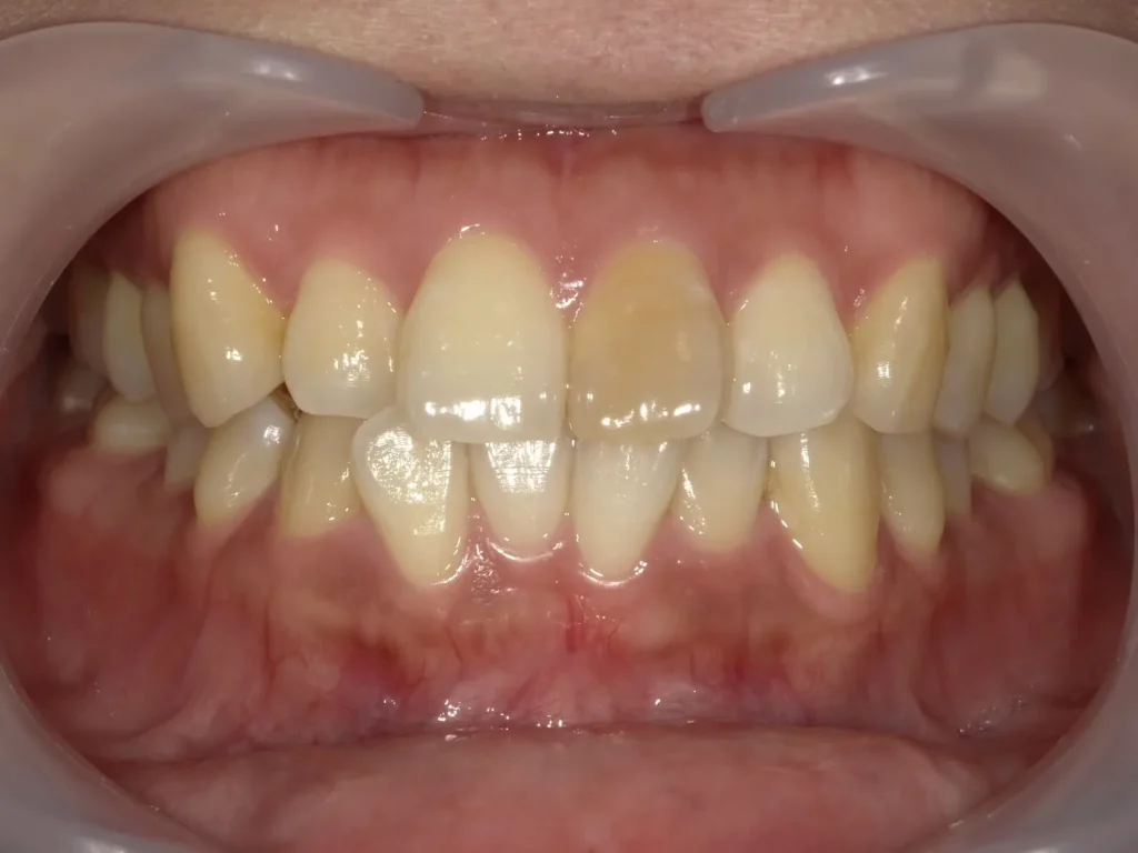
昔、前歯を強く打ったことがある。
神経の治療はしていないがどんどん変色してきて以前から歯の変色が気になっていた。
いづれは被せ物にしようと思うが、その前にホワイトニングをして白くしておきたい。
ホワイトニング施術内容
初回プレミアムホワイトニング 7400円
デュアルホワイトニング(スタンダードコース)
69,000円
(プレミアムホワイトニング3回・ホームホワイトニング上下セット・ホームジェル6本・トリートメントペースト1本)
ホワイトニング期間
約1ヶ月半
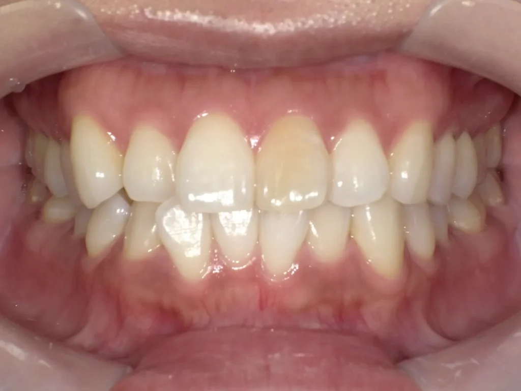
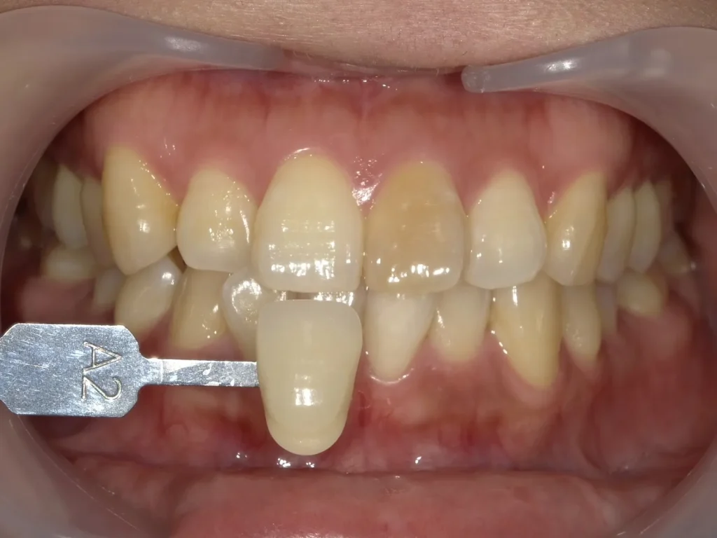
術前術後写真
歯科衛生士からのコメント
失活歯(神経がない歯)は健康な歯に比べると白くなりにくく、完全に同じ色にするのは難しいが、ある程度色の差がなくなり目立たなくなるのでオススメです。
最終的に補綴治療になった場合も、周りの歯が白くなってからそこに色を合わせるほうが白くて綺麗に仕上がるので、前歯のセラミック治療などを検討中の方も、先にホワイトニングすることをお勧めします。
福岡天神でホワイトニング・クリーニングなら歯科医院のRefletへ
ホワイトニングサロンReflet歯科天神店【医療ホワイトニング&咬筋ボツリヌス】
〒810-0001 福岡市中央区天神2丁目2-12
T&Jビルディング9F
西鉄福岡(天神)駅より徒歩1分
地下鉄七隈線 天神南駅より徒歩3分
地下鉄空港線 天神駅より徒歩5分












