ホワイトニングサロンReflet福岡天神店の症例です。
主訴
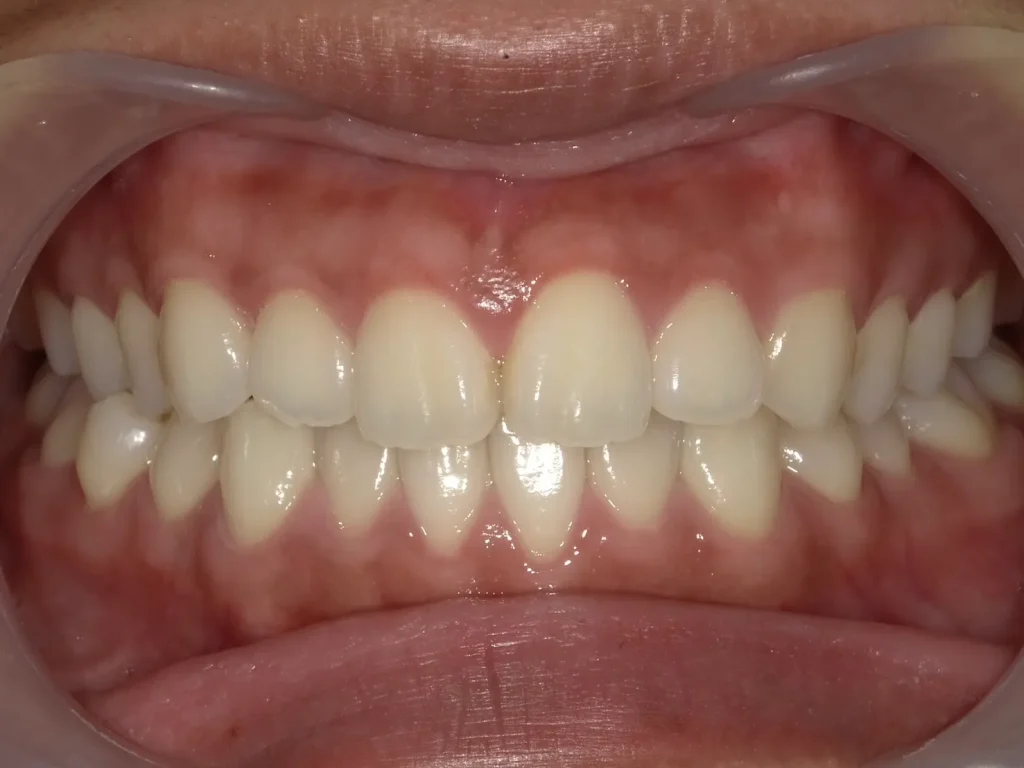
20代女性
喫煙歴はなし。
歯はある程度白くなったけど
歯茎の色をピンク色にしたい!
施術内容
歯茎ピーリング(一回)・・・¥12,000
ホワイトニングはスタンダードコース69000円
期間
3週間後にに見比べています
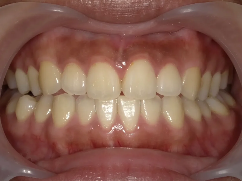
術前術後写真
歯科衛生士からのコメント
周りの人から、歯も白く笑顔も綺麗って褒められるようになったそうです。すごく変わって嬉しい!と喜ばれました。
福岡天神でホワイトニング・クリーニングなら歯科医院のRefletへ
ホワイトニングサロンReflet歯科天神店【医療ホワイトニング&咬筋ボツリヌス】
〒810-0001 福岡市中央区天神2丁目2-12
T&Jビルディング9F
西鉄福岡(天神)駅より徒歩1分
地下鉄七隈線 天神南駅より徒歩3分
地下鉄空港線 天神駅より徒歩5分












