ホワイトニングサロンReflet福岡天神店の症例です。
主訴
30代女性
併設の歯科医院からの紹介。
矯正も検討中とのことですが、まずはホワイトニングから始めたい。とのこと
ホワイトニング施術内容
初回プレミアムホワイトニング 7400円
デュアルホワイトニング(スタンダードコース)
69000円
(プレミアムホワイトニング3回・ホームホワイトニング上下セット・ホームジェル6本・トリートメントペースト1本)
ホワイトニング期間
約1ヶ月半
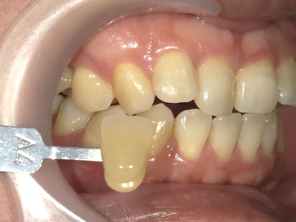
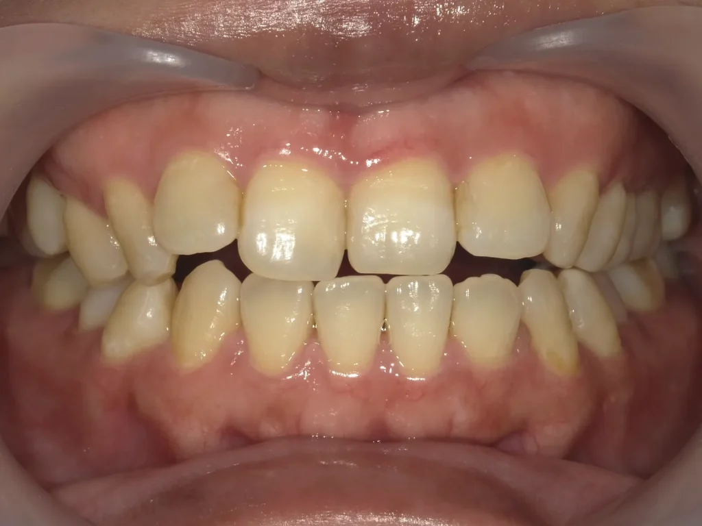
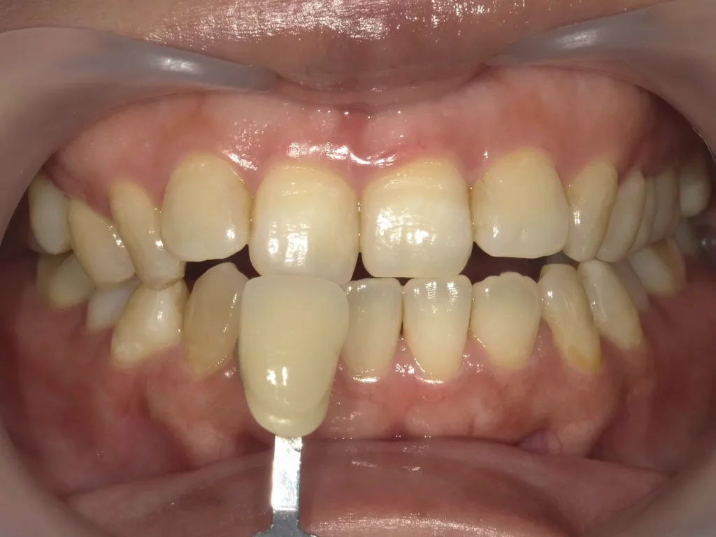
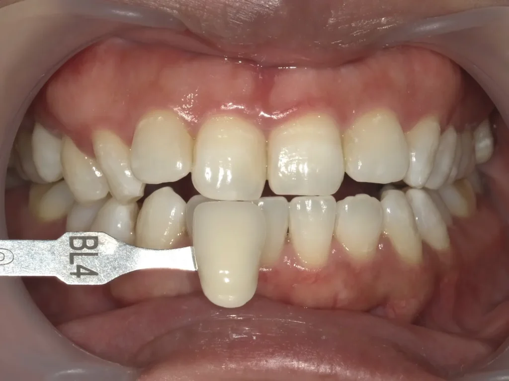
術前術後写真
歯科衛生士からのコメント
期間中はホームホワイトニングをだいたい毎日できました。途中ホワイトスポットが少し気になりましたが、最終的には黄ばみがなくなり、ほぼわからなくなって大満足です!
福岡天神でホワイトニング・クリーニングなら歯科医院のRefletへ
ホワイトニングサロンReflet歯科天神店【医療ホワイトニング&咬筋ボツリヌス】
〒810-0001 福岡市中央区天神2丁目2-12
T&Jビルディング9F
西鉄福岡(天神)駅より徒歩1分
地下鉄七隈線 天神南駅より徒歩3分
地下鉄空港線 天神駅より徒歩5分












