ホワイトニングサロンReflet福岡天神店の症例です。
主訴
20代男性
職場の同僚がホワイトニングをしてて、自分もやってみたいと思ってこられました。
白ければ白いほどいいとのことで、ブリーチシェードを目指して頑張るとのこと。
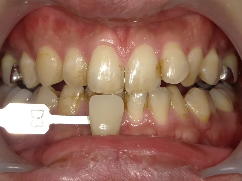
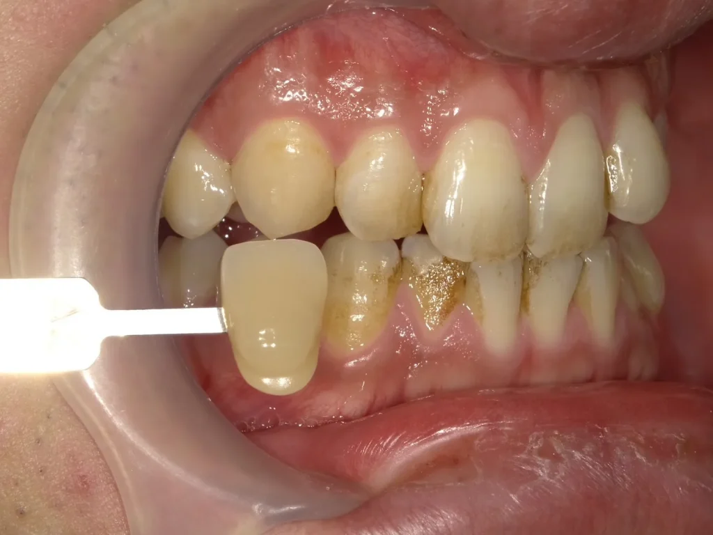
着色も多い。
ホワイトニング施術内容
初回プレミアムホワイトニング 7400円
デュアルホワイトニング(スタンダードコース)
69000円
(プレミアムホワイトニング3回・ホームホワイトニング上下セット・ホームジェル6本・トリートメントペースト1本)
ホワイトニング期間
約1ヶ月半
術前術後写真
歯科衛生士からのコメント
着色か多かったので、エアフローだけでもかなり変化し、初回でかなりの効果を実感していただけたので、期間中もモチベーションを保ったまま進めることができました。
左上の1.2番の隣接部の詰め物は色の差が気になるようなら、詰め替えをお勧めしました。
福岡天神でホワイトニング・クリーニングなら歯科医院のRefletへ
ホワイトニングサロンReflet歯科天神店【医療ホワイトニング&咬筋ボツリヌス】
〒810-0001 福岡市中央区天神2丁目2-12
T&Jビルディング9F
西鉄福岡(天神)駅より徒歩1分
地下鉄七隈線 天神南駅より徒歩3分
地下鉄空港線 天神駅より徒歩5分












