ホワイトニングサロンReflet福岡天神店の症例です。
主訴
30代女性
5週間後に結婚式を控えて来院
ワインが好きでステインがつきやすく着色も気なされている。
自然な白さをご希望
ホワイトニング施術内容
初回プレミアムホワイトニング 7400円
デュアルホワイトニング(スタンダードコース)
69000円
(プレミアムホワイトニング3回・ホームホワイトニング上下セット・ホームジェル6本・トリートメントペースト1本)
ホワイトニング期間
約5週間
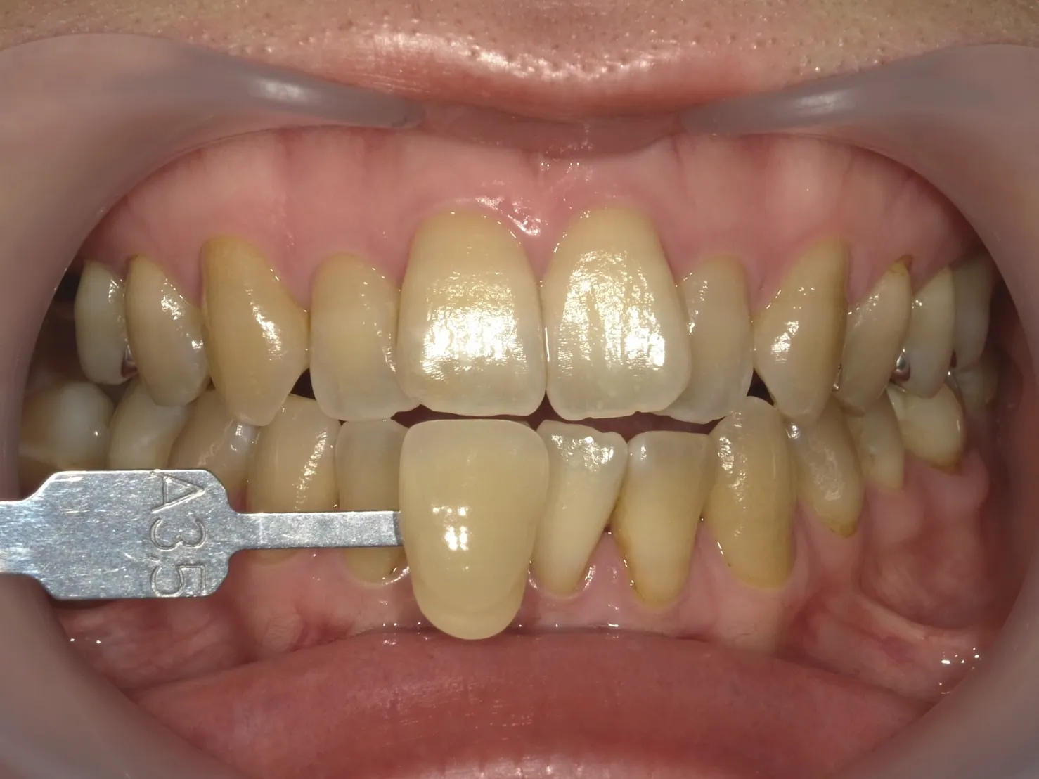
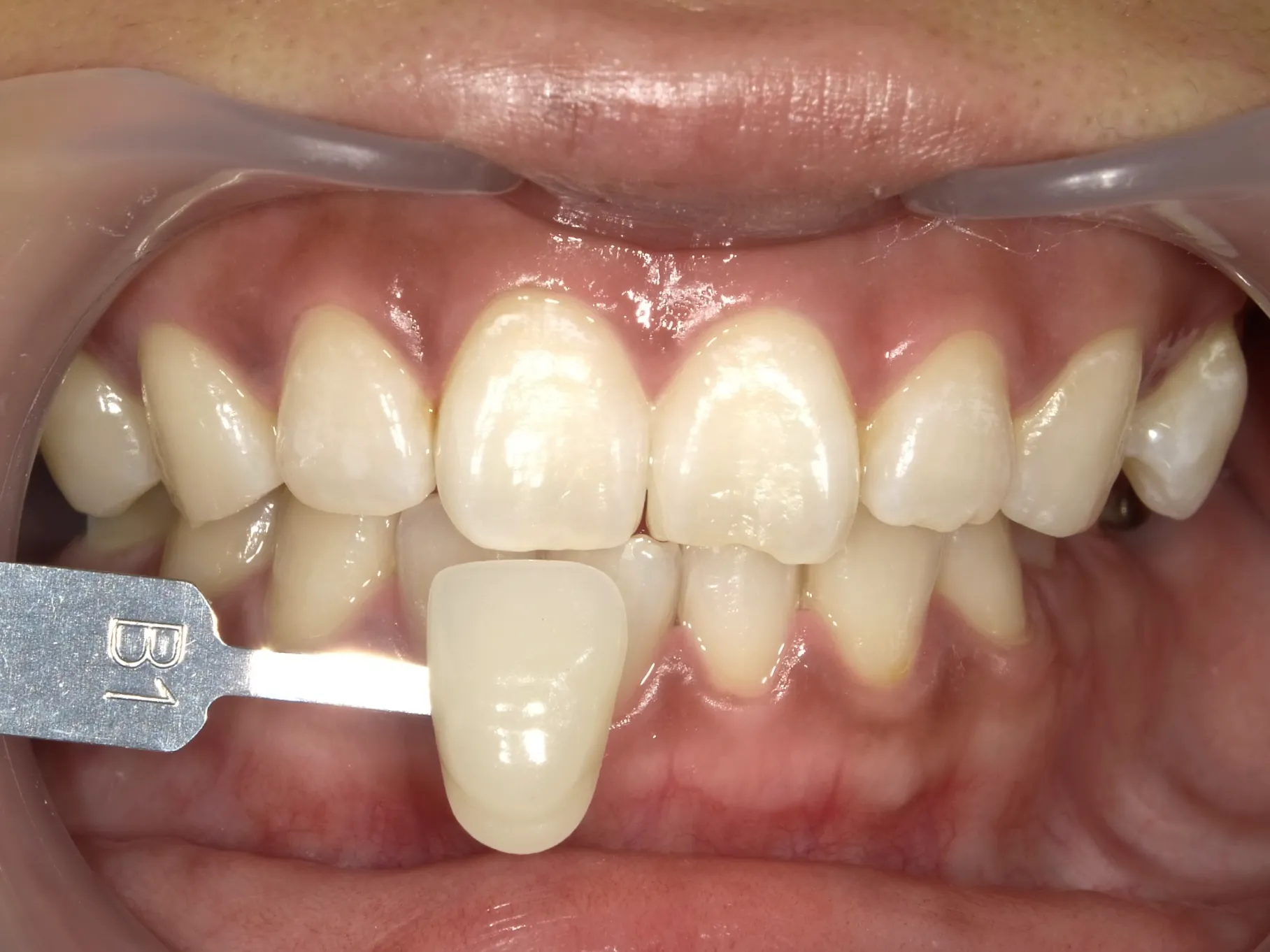
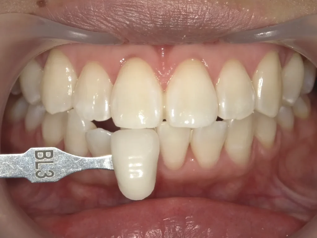
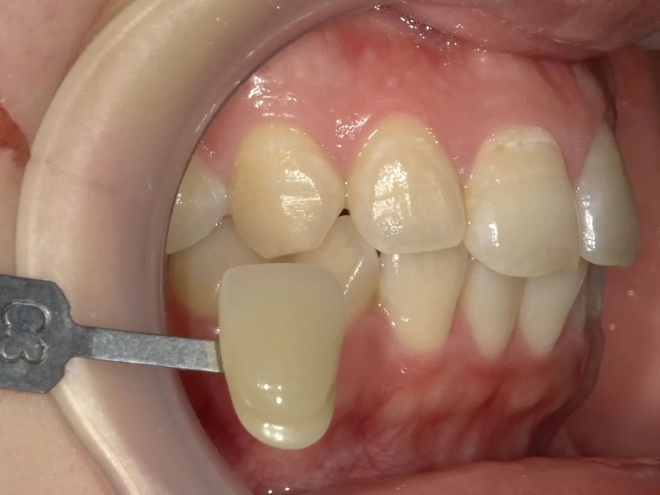
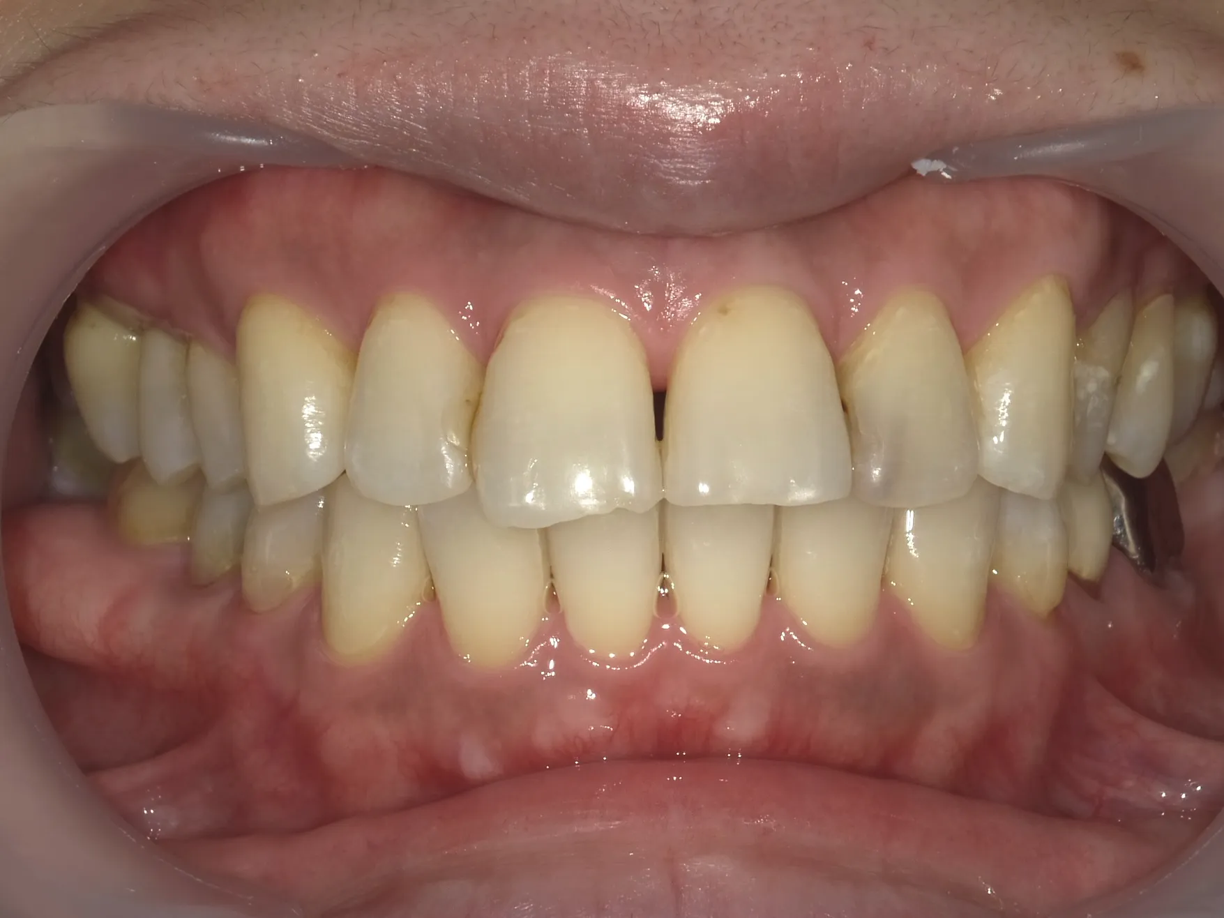
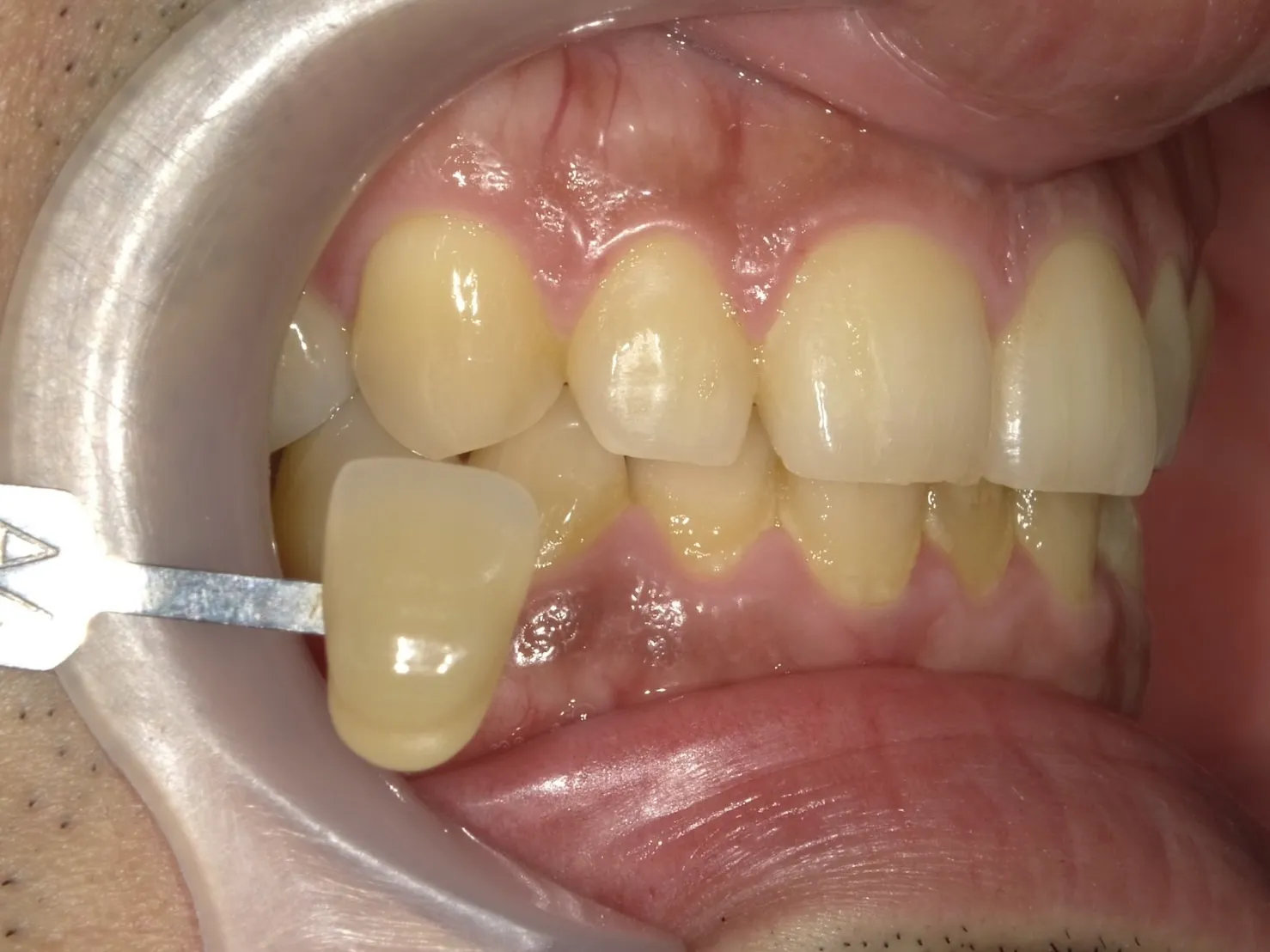
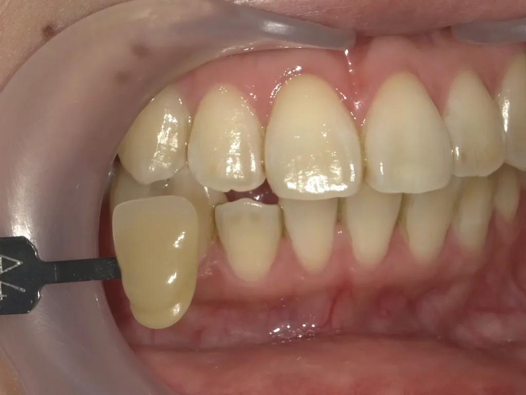
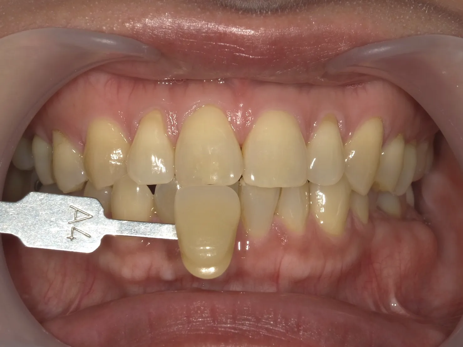
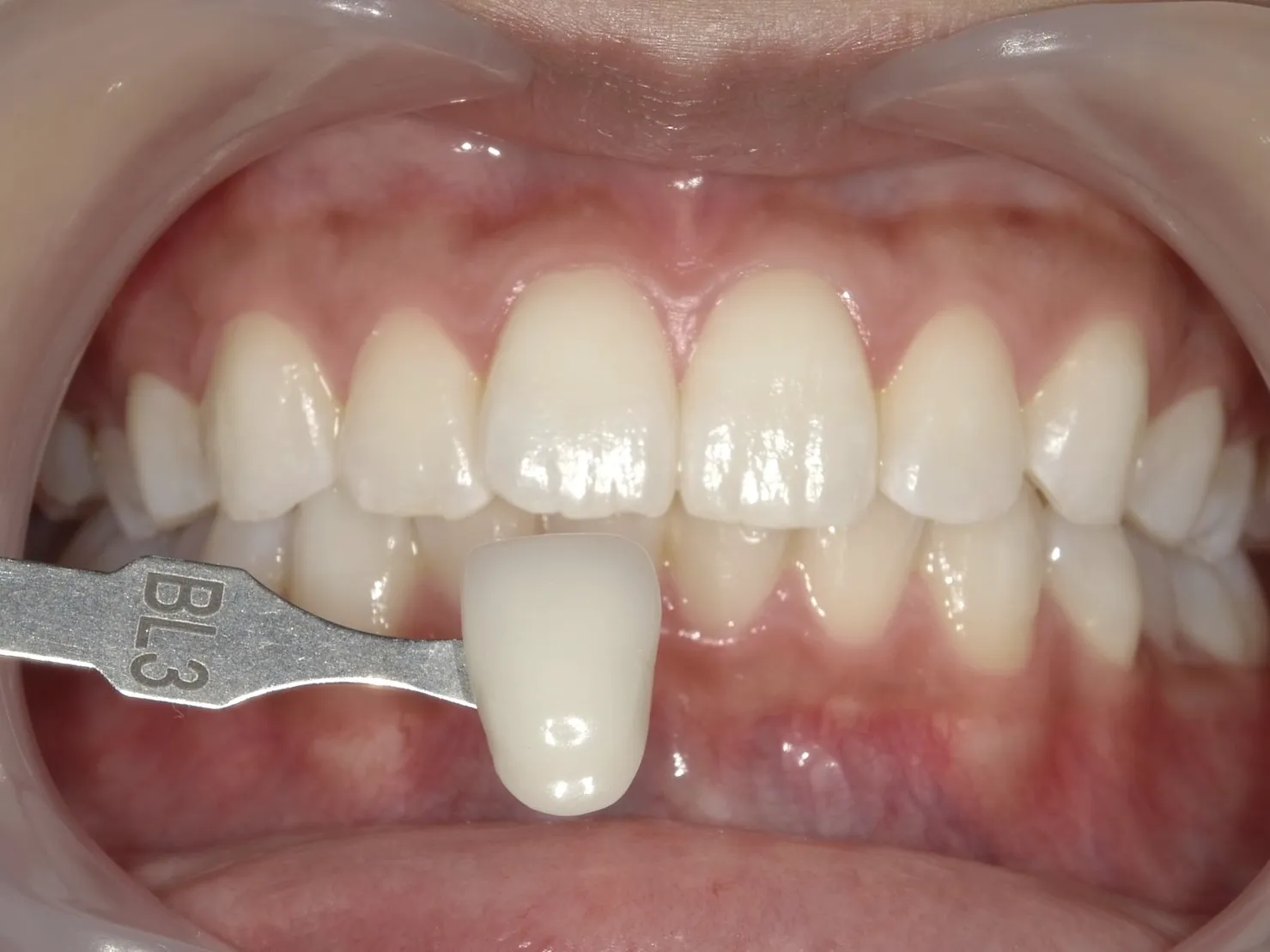
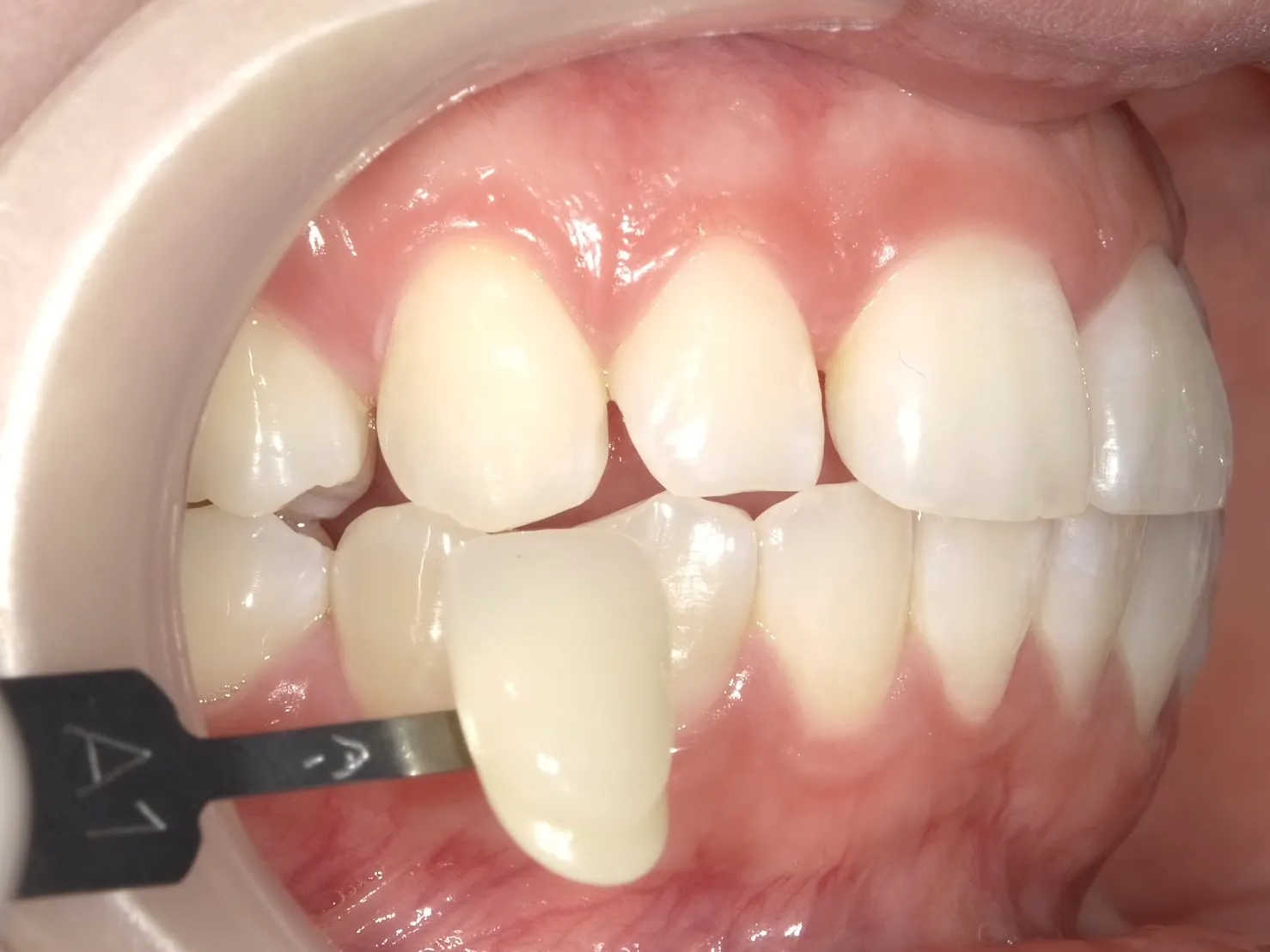
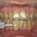
術前術後写真
歯科衛生士からのコメント
結婚式までに白くしたいとのことで、急ぎでホームホワイトニングのトレーをお作りしてスタートしました。だいたい毎日1〜2時間のホームホワイトニングもできました。
結婚式でみんなに歯が白いって褒められてとても喜んでいただきました。
福岡天神でホワイトニング・クリーニングなら歯科医院のRefletへ
ホワイトニングサロンReflet歯科天神店【医療ホワイトニング&咬筋ボツリヌス】
〒810-0001 福岡市中央区天神2丁目2-12
T&Jビルディング9F
西鉄福岡(天神)駅より徒歩1分
地下鉄七隈線 天神南駅より徒歩3分
地下鉄空港線 天神駅より徒歩5分












