30代男性 知覚過敏の症状がありホワイトニング後にセラミック歯にしたい症例

                                       
ホワイトニングサロンReflet福岡天神店の症例です。

主訴

30代男性
右上2番の補綴物はかなり昔に入れたが、ホワイトニングをしてもっと白いセラミックに変えたい。
もともと、小臼歯に知覚過敏の症状がある。

ホワイトニング施術内容

初回プレミアムホワイトニング 7400円
デュアルホワイトニング(スタンダードコース)
69000円
(プレミアムホワイトニング3回・ホームホワイトニング上下セット・ホームジェル6本・トリートメントペースト1本)
 

ホワイトニング期間

約1ヶ月半

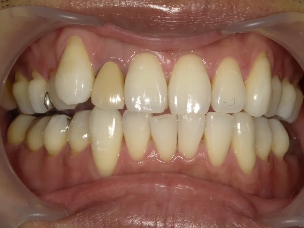
術前術後写真

歯科衛生士からのコメント

もともと知覚過敏の症状があるので、ホワイトニングでのシミを気にされていましたが、問題なく進めることができました。
最初は毎日ホームホワイトニングができましたが、途中からは2日に一回1時間程度のホームホワイトニングをしていただきました。
右上の2番をセラミックに変えて統一感が出ると更に綺麗になると思います。

福岡天神でホワイトニング・クリーニングなら歯科医院のRefletへ

ホワイトニングサロンReflet歯科天神店
【医療ホワイトニング&咬筋ボツリヌス】
〒810-0001 福岡市中央区天神2丁目2-12
T&Jビルディング9F
西鉄福岡(天神)駅より徒歩1分
地下鉄七隈線 天神南駅より徒歩3分
地下鉄空港線 天神駅より徒歩5分