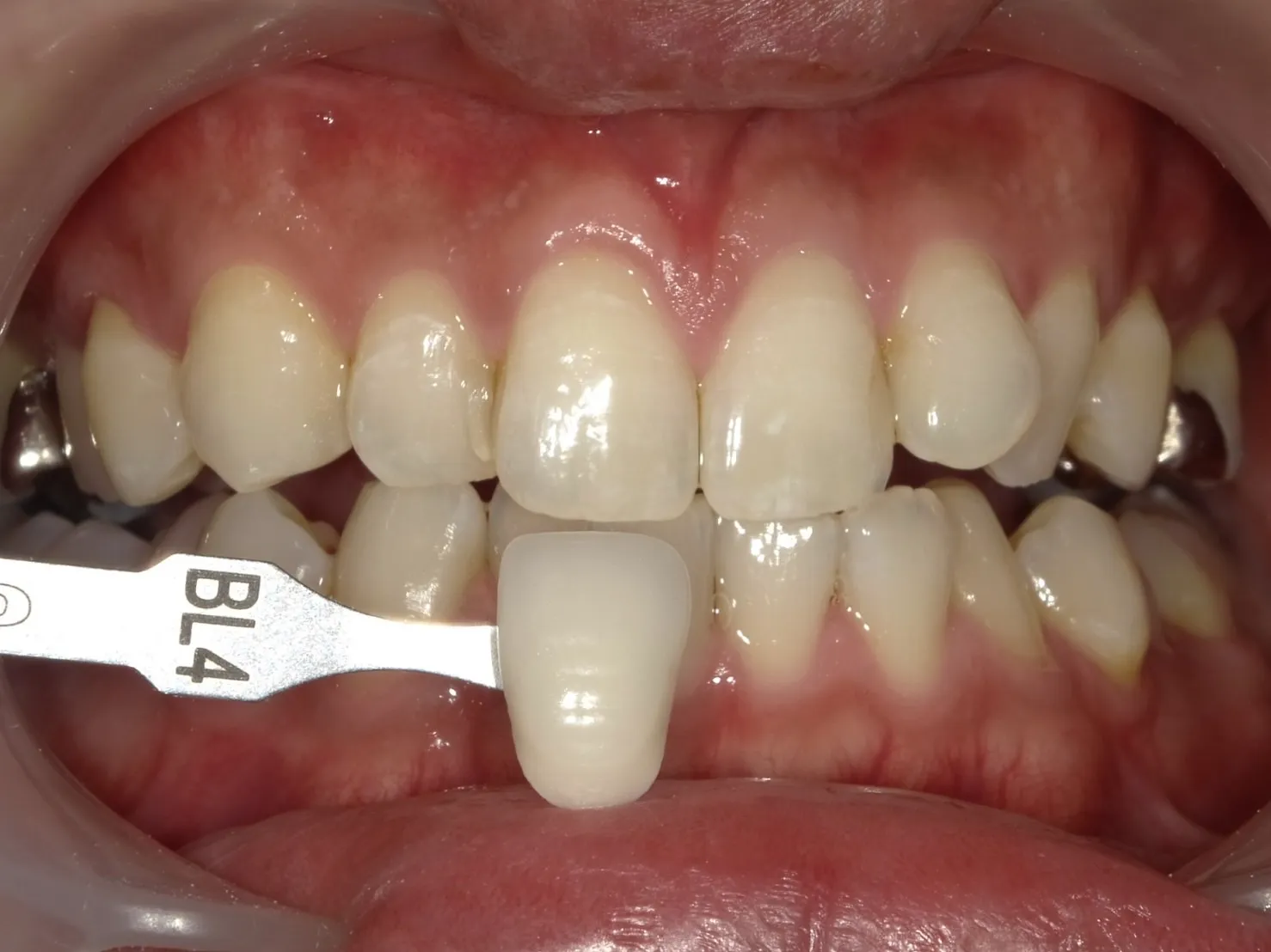
20代男性 着色が多いがブリーチシェードを目指しデュアルホワイトニングした症例

主訴 20代男性 職場の同僚がホワイトニングをしてて、自分もやってみたいと思ってこられました。 白ければ白いほ […]